Rabbit AGR3 Polyclonal Antibody | anti-AGR3 antibody
AGR3 Polyclonal Antibody
Gene Names
AGR3; AG3; AG-3; HAG3; hAG-3; BCMP11; PDIA18
Reactivity
Human, Mouse, Rat
Applications
Immunohistochemistry, ELISA
Purity
Antigen affinity purification
Synonyms
AGR3, Antibody; AGR3 Polyclonal Antibody; AG3; HAG3; hAG-3; BCMP11; PDIA18; anti-AGR3 antibody
Host
Rabbit
Reactivity
Human, Mouse, Rat
Clonality
Polyclonal
Isotype
IgG
Purity/Purification
Antigen affinity purification
Concentration
0.4mg/mL (varies by lot)
Sequence Length
166
Applicable Applications for anti-AGR3 antibody
IHC (Immunohistochemistry), ELISA
Immunogen
Recombinant protein of human AGR3
Buffer
PBS with 0.05% sodium azide, 50% glycerol, pH7.3
Preparation and Storage
Store at -20 degree C (regular) and -80 degree C (long term). Avoid freeze / thaw cycles.
Related Product Information for anti-AGR3 antibody
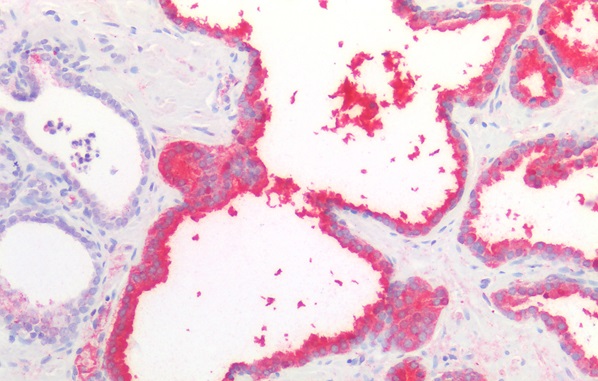
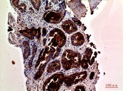
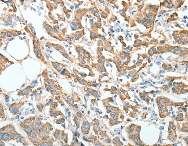
Anterior gradient protein 3 homolog is a protein that in humans is encoded by the AGR3 gene. The deduced 166-amino acid protein has an N-terminal signal sequence. Fluorescence-tagged BCMP11 localized in secretory or endosome-like organelles in transfected breast carcinoma cell lines. Immunohistochemical analysis showed that expression of BCMP11 was restricted in normal tissues, with significant staining of only the epithelial lining of colonic mucosa. However, BCMP11 was detected in 43 of 58 (74%) breast cancer tissues tested, but not in normal breast ductal epithelial cells. In cancerous epithelial cells, BCMP11 localized to the cytoplasm.
NCBI and Uniprot Product Information
NCBI GI #
NCBI GeneID
NCBI Accession #
NCBI GenBank Nucleotide #
Molecular Weight
19,171 Da
NCBI Official Full Name
anterior gradient protein 3 homolog
NCBI Official Synonym Full Names
anterior gradient 3
NCBI Official Symbol
AGR3
NCBI Official Synonym Symbols
AG3; AG-3; HAG3; hAG-3; BCMP11; PDIA18
NCBI Protein Information
anterior gradient protein 3 homolog; anterior gradient homolog 3; breast cancer membrane protein 11; protein disulfide isomerase family A, member 18
UniProt Protein Name
Anterior gradient protein 3 homolog
UniProt Gene Name
AGR3
UniProt Synonym Gene Names
BCMP11; AG-3; AG3; hAG-3
UniProt Entry Name
AGR3_HUMAN
Customer Reviews
Loading reviews...
Share Your Experience
Similar Products
Product Notes
The AGR3 agr3 (Catalog #AAA169307) is an Antibody produced from Rabbit and is intended for research purposes only. The product is available for immediate purchase. The AGR3 Polyclonal Antibody reacts with Human, Mouse, Rat and may cross-react with other species as described in the data sheet. AAA Biotech's AGR3 can be used in a range of immunoassay formats including, but not limited to, IHC (Immunohistochemistry), ELISA. Researchers should empirically determine the suitability of the AGR3 agr3 for an application not listed in the data sheet. Researchers commonly develop new applications and it is an integral, important part of the investigative research process. It is sometimes possible for the material contained within the vial of "AGR3, Polyclonal Antibody" to become dispersed throughout the inside of the vial, particularly around the seal of said vial, during shipment and storage. We always suggest centrifuging these vials to consolidate all of the liquid away from the lid and to the bottom of the vial prior to opening. Please be advised that certain products may require dry ice for shipping and that, if this is the case, an additional dry ice fee may also be required.Precautions
All products in the AAA Biotech catalog are strictly for research-use only, and are absolutely not suitable for use in any sort of medical, therapeutic, prophylactic, in-vivo, or diagnostic capacity. By purchasing a product from AAA Biotech, you are explicitly certifying that said products will be properly tested and used in line with industry standard. AAA Biotech and its authorized distribution partners reserve the right to refuse to fulfill any order if we have any indication that a purchaser may be intending to use a product outside of our accepted criteria.Disclaimer
Though we do strive to guarantee the information represented in this datasheet, AAA Biotech cannot be held responsible for any oversights or imprecisions. AAA Biotech reserves the right to adjust any aspect of this datasheet at any time and without notice. It is the responsibility of the customer to inform AAA Biotech of any product performance issues observed or experienced within 30 days of receipt of said product. To see additional details on this or any of our other policies, please see our Terms & Conditions page.Item has been added to Shopping Cart
If you are ready to order, navigate to Shopping Cart and get ready to checkout.
