Rabbit anti-Human AGTR2 Polyclonal Antibody | anti-AGTR2 antibody
AGTR2 Antibody
Gene Names
AGTR2; AT2; ATGR2; MRX88
Reactivity
Human
Applications
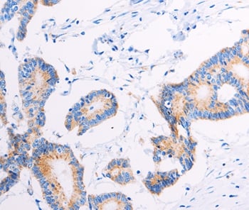
Immunohistochemistry
Purity
Antigen affinity purification.
Synonyms
AGTR2, Antibody; AGTR2 Antibody; AT2; ATGR2; MRX88; anti-AGTR2 antibody
Host
Rabbit
Reactivity
Human
Clonality
Polyclonal
Specificity
The antibody detects endogenous levels of total AGTR2 protein.
Purity/Purification
Antigen affinity purification.
Form/Format
Rabbit IgG in pH7.3 PBS, 0.05% NaN3, 40% Glycerol.
Concentration
0.7 mg/ml (varies by lot)
Sequence Length
363
Applicable Applications for anti-AGTR2 antibody
IHC (Immunohistochemistry)
Immunogen Type
Peptide
Immunogen Description
Synthetic peptide corresponding to residues near the C terminal of human angiotensin II receptor, type 2
Target Name
AGTR2
Preparation and Storage
Store at -20°C.
Related Product Information for anti-AGTR2 antibody
The protein encoded by this gene belongs to the G-protein coupled receptor 1 family, and functions as a receptor for angiotensin II. It is an intergral membrane protein that is highly expressed in fetus, but scantily in adult tissues, except brain, adrenal medulla, and atretic ovary. This receptor has been shown to mediate programmed cell death and this apoptotic function may play an important role in developmental biology and pathophysiology. Mutations in this gene are been associated with X-linked mental retardation.
Product Categories/Family for anti-AGTR2 antibody
NCBI and Uniprot Product Information
NCBI GI #
NCBI GeneID
NCBI Accession #
NCBI GenBank Nucleotide #
NCBI Official Full Name
type-2 angiotensin II receptor
NCBI Official Synonym Full Names
angiotensin II receptor, type 2
NCBI Official Symbol
AGTR2
NCBI Official Synonym Symbols
AT2; ATGR2; MRX88
NCBI Protein Information
type-2 angiotensin II receptor
UniProt Protein Name
Type-2 angiotensin II receptor
UniProt Gene Name
AGTR2
UniProt Synonym Gene Names
AT2
UniProt Entry Name
AGTR2_HUMAN
Customer Reviews
Loading reviews...
Share Your Experience
Similar Products
Product Notes
The AGTR2 agtr2 (Catalog #AAA303959) is an Antibody produced from Rabbit and is intended for research purposes only. The product is available for immediate purchase. The AGTR2 Antibody reacts with Human and may cross-react with other species as described in the data sheet. AAA Biotech's AGTR2 can be used in a range of immunoassay formats including, but not limited to, IHC (Immunohistochemistry). Researchers should empirically determine the suitability of the AGTR2 agtr2 for an application not listed in the data sheet. Researchers commonly develop new applications and it is an integral, important part of the investigative research process. It is sometimes possible for the material contained within the vial of "AGTR2, Polyclonal Antibody" to become dispersed throughout the inside of the vial, particularly around the seal of said vial, during shipment and storage. We always suggest centrifuging these vials to consolidate all of the liquid away from the lid and to the bottom of the vial prior to opening. Please be advised that certain products may require dry ice for shipping and that, if this is the case, an additional dry ice fee may also be required.Precautions
All products in the AAA Biotech catalog are strictly for research-use only, and are absolutely not suitable for use in any sort of medical, therapeutic, prophylactic, in-vivo, or diagnostic capacity. By purchasing a product from AAA Biotech, you are explicitly certifying that said products will be properly tested and used in line with industry standard. AAA Biotech and its authorized distribution partners reserve the right to refuse to fulfill any order if we have any indication that a purchaser may be intending to use a product outside of our accepted criteria.Disclaimer
Though we do strive to guarantee the information represented in this datasheet, AAA Biotech cannot be held responsible for any oversights or imprecisions. AAA Biotech reserves the right to adjust any aspect of this datasheet at any time and without notice. It is the responsibility of the customer to inform AAA Biotech of any product performance issues observed or experienced within 30 days of receipt of said product. To see additional details on this or any of our other policies, please see our Terms & Conditions page.Item has been added to Shopping Cart
If you are ready to order, navigate to Shopping Cart and get ready to checkout.
