Rabbit AHCYL1 Polyclonal Antibody | anti-AHCYL1 antibody
AHCYL1 Antibody
Phosphate buffered saline, pH 7.4, 150mM NaCl, 0.02% sodium azide and 50% glycerol.
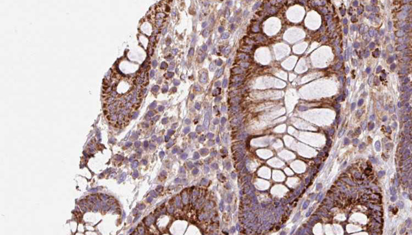
IHC (Immunohiostchemistry)
(AAA322917 at 1/100 staining Mouse colon tissue by IHC-P. The sample was formaldehyde fixed and a heat mediated antigen retrieval step in citrate buffer was performed. The sample was then blocked and incubated with the antibody for 1.5 hours at 22 degree C. An HRP conjugated goat anti-rabbit antibody was used as the secondary.)
WB (Western Blot)
(Western blot analysis of extracts from rat spleen, using AHCYL1 antibody. Lane 1 was treated with the blocking peptide.)
Subunit Structure: Forms multimers (PubMed:16793548). Forms heteromultimers with AHCYL2 (via the C-terminal region) (PubMed:19220705). Interacts (when phosphorylated) with ITPR1 (when not phosphorylated); the interaction suppresses inositol 1, 4, 5-trisphosphate binding to ITPR1 (PubMed:16793548). Interacts with CFTR and SLC26A6; the interactions take place once AHCYL1 is released from ITPR1 and increase CFTR and SLC26A6 activities (By similarity). Interacts with RRM1; in a phosphorylation-and (dATP)-dependent manner. Interacts (via PEST domain when phosphorylated) with SLC4A4 isoform 1 but not isoform 2; the interaction increases SLC4A4 isoform 1 activity (PubMed:16769890). Interacts (when phosphorylated) with SLC9A3; the interaction is required for SLC9A3 apical location and activity (PubMed:18829453, PubMed:20584908). Interacts (when phosphorylated) with FIP1L1; the interaction is direct and associates AHCYL1 with the CPSF complex and RNA (PubMed:19224921). Interacts with PAPOLA (PubMed:19224921).
Post-translational Modifications: Phosphorylated at Ser/Thr residues between Ser-68 and Thr-72 in the PEST region: required for interaction with dATP-bound RRM1 and ITPR1. Phosphorylation at Ser-68 by PRKD1 and CAMK4 is required for further phosphorylations by CSNK1A1 (PubMed:16793548). Phosphorylation is induced by oxidative stress (PubMed:19224921). Probably phosphorylated by CAMK2A; phosphorylation at Ser-68 may be required for interaction with SLC9A3 (PubMed:20584908).
Similarity: The PEST region is essential for the interaction with ITPR1, and, when phosphorylated, is also the RRM1-binding region. The PDZ-binding region is required for maximal interaction with ITPR1 and is also responsible for the IP3-insensitive interaction with ITPR1 (By similarity). Belongs to the adenosylhomocysteinase family.
NCBI and Uniprot Product Information
Predicted: 59 kDa
Customer Reviews
Loading reviews...
Share Your Experience
Similar Products
Product Notes
The AHCYL1 ahcyl1 (Catalog #AAA322917) is an Antibody produced from Rabbit and is intended for research purposes only. The product is available for immediate purchase. The AHCYL1 Antibody reacts with Human, Mouse, Rat and may cross-react with other species as described in the data sheet. AAA Biotech's AHCYL1 can be used in a range of immunoassay formats including, but not limited to, IHC (Immunohistochemistry), WB (Western Blot). Researchers should empirically determine the suitability of the AHCYL1 ahcyl1 for an application not listed in the data sheet. Researchers commonly develop new applications and it is an integral, important part of the investigative research process. It is sometimes possible for the material contained within the vial of "AHCYL1, Polyclonal Antibody" to become dispersed throughout the inside of the vial, particularly around the seal of said vial, during shipment and storage. We always suggest centrifuging these vials to consolidate all of the liquid away from the lid and to the bottom of the vial prior to opening. Please be advised that certain products may require dry ice for shipping and that, if this is the case, an additional dry ice fee may also be required.Precautions
All products in the AAA Biotech catalog are strictly for research-use only, and are absolutely not suitable for use in any sort of medical, therapeutic, prophylactic, in-vivo, or diagnostic capacity. By purchasing a product from AAA Biotech, you are explicitly certifying that said products will be properly tested and used in line with industry standard. AAA Biotech and its authorized distribution partners reserve the right to refuse to fulfill any order if we have any indication that a purchaser may be intending to use a product outside of our accepted criteria.Disclaimer
Though we do strive to guarantee the information represented in this datasheet, AAA Biotech cannot be held responsible for any oversights or imprecisions. AAA Biotech reserves the right to adjust any aspect of this datasheet at any time and without notice. It is the responsibility of the customer to inform AAA Biotech of any product performance issues observed or experienced within 30 days of receipt of said product. To see additional details on this or any of our other policies, please see our Terms & Conditions page.Item has been added to Shopping Cart
If you are ready to order, navigate to Shopping Cart and get ready to checkout.
