Rabbit anti-Human, Mouse AIM Polyclonal Antibody | anti-AIM antibody
AIM Antibody
Reactivity
Human, Mouse
Applications
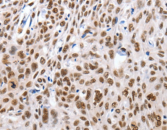
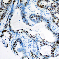
Immunohistochemistry, Western Blot, ELISA
Purity
Affinity chromatography purified via peptide column
Synonyms
AIM, Antibody; AIM Antibody; Apoptosis inhibitor of macrophages, API6, SP alpha, CD5L; anti-AIM antibody
Host
Rabbit
Reactivity
Human, Mouse
Clonality
Polyclonal
Purity/Purification
Affinity chromatography purified via peptide column
Form/Format
Supplied in PBS containing 0.02% sodium azide.
Sequence Length
347
Applicable Applications for anti-AIM antibody
IHC (Immunohistochemistry), WB (Western Blot), ELISA
Immunogen Type
Peptide
Immunogen Description
Raised against a 13 amino acid peptide near the carboxy terminus of human AIM.
Target Name
AIM
Preparation and Storage
Can be stored at -20 degree C, stable for one year. As with all antibodies care should be taken to avoid repeated freeze thaw cycles. Antibodies should not be exposed to prolonged high temperatures.
Related Product Information for anti-AIM antibody
Apoptosis inhibitor of macrophages (AIM) is a member of the scavenger receptor cysteine-rich domain superfamily (SRCR-SF) initially identified as an inducible cell surface ligand of CD5. It was shown that AIM functions in the thymus as the inducer of resistance to apoptosis within CD4+/CD8+ thymocytes and as the supporter of the viability of these cells before thymic selection. AIM was also shown to support macrophage survival and enhance their phagocytic function. More recent experiments using recombinant AIM significantly inhibited apoptosis of NKT and T cells obtained from C. parvum-stimulated livers in vitro, suggesting that AIM functions to induce resistance to apoptosis in these cells and supports host defense against inflammation during infection.
Product Categories/Family for anti-AIM antibody
NCBI and Uniprot Product Information
NCBI GI #
Molecular Weight
38,088 Da
NCBI Official Full Name
AIM
UniProt Protein Name
CD5 antigen-like
UniProt Gene Name
CD5L
UniProt Synonym Gene Names
API6
UniProt Entry Name
CD5L_HUMAN
Customer Reviews
Loading reviews...
Share Your Experience
Similar Products
Product Notes
The AIM cd5l (Catalog #AAA302380) is an Antibody produced from Rabbit and is intended for research purposes only. The product is available for immediate purchase. The AIM Antibody reacts with Human, Mouse and may cross-react with other species as described in the data sheet. AAA Biotech's AIM can be used in a range of immunoassay formats including, but not limited to, IHC (Immunohistochemistry), WB (Western Blot), ELISA. Researchers should empirically determine the suitability of the AIM cd5l for an application not listed in the data sheet. Researchers commonly develop new applications and it is an integral, important part of the investigative research process. It is sometimes possible for the material contained within the vial of "AIM, Polyclonal Antibody" to become dispersed throughout the inside of the vial, particularly around the seal of said vial, during shipment and storage. We always suggest centrifuging these vials to consolidate all of the liquid away from the lid and to the bottom of the vial prior to opening. Please be advised that certain products may require dry ice for shipping and that, if this is the case, an additional dry ice fee may also be required.Precautions
All products in the AAA Biotech catalog are strictly for research-use only, and are absolutely not suitable for use in any sort of medical, therapeutic, prophylactic, in-vivo, or diagnostic capacity. By purchasing a product from AAA Biotech, you are explicitly certifying that said products will be properly tested and used in line with industry standard. AAA Biotech and its authorized distribution partners reserve the right to refuse to fulfill any order if we have any indication that a purchaser may be intending to use a product outside of our accepted criteria.Disclaimer
Though we do strive to guarantee the information represented in this datasheet, AAA Biotech cannot be held responsible for any oversights or imprecisions. AAA Biotech reserves the right to adjust any aspect of this datasheet at any time and without notice. It is the responsibility of the customer to inform AAA Biotech of any product performance issues observed or experienced within 30 days of receipt of said product. To see additional details on this or any of our other policies, please see our Terms & Conditions page.Item has been added to Shopping Cart
If you are ready to order, navigate to Shopping Cart and get ready to checkout.
