Rabbit anti-Human AKAP7 Polyclonal Antibody | anti-AKAP7 antibody
AKAP7 Antibody
Gene Names
AKAP7; AKAP15; AKAP18
Reactivity
Human
Applications
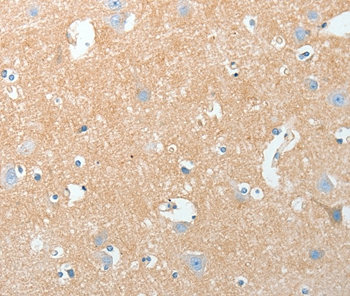
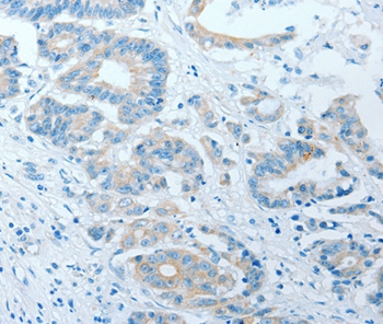
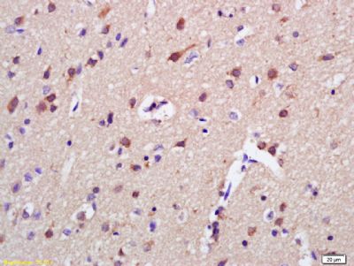
Immunohistochemistry
Purity
Antigen affinity purification.
Synonyms
AKAP7, Antibody; AKAP7 Antibody; AKAP18; 18-kD; AKA7G; anti-AKAP7 antibody
Host
Rabbit
Reactivity
Human
Clonality
Polyclonal
Specificity
The antibody detects endogenous levels of total AKAP7 protein.
Purity/Purification
Antigen affinity purification.
Form/Format
Rabbit IgG in pH7.3 PBS, 0.05% NaN3, 50% Glycerol.
Concentration
0.6 mg/ml (varies by lot)
Sequence Length
348
Applicable Applications for anti-AKAP7 antibody
IHC (Immunohistochemistry)
Immunogen Type
Recombinant Protein
Immunogen Description
Fusion protein corresponding to residues near the N terminal of human A kinase (PRKA) anchor protein 7
Target Name
AKAP7
Preparation and Storage
Store at -20 degree C
Related Product Information for anti-AKAP7 antibody
This gene encodes a member of the A-kinase anchoring protein (AKAP) family, a group of functionally related proteins that bind to a regulatory subunit (RII) of cAMP-dependent protein kinase A (PKA) and target the enzyme to specific subcellular compartments. AKAPs have a common RII-binding domain, but contain different targeting motifs responsible for directing PKA to distinct intracellular locations. Three alternatively spliced transcript variants encoding different isoforms have been described.[
Product Categories/Family for anti-AKAP7 antibody
NCBI and Uniprot Product Information
NCBI GI #
NCBI GeneID
NCBI Accession #
NCBI GenBank Nucleotide #
Molecular Weight
8,969 Da
NCBI Official Full Name
A-kinase anchor protein 7 isoform gamma isoform gamma
NCBI Official Synonym Full Names
A kinase (PRKA) anchor protein 7
NCBI Official Symbol
AKAP7
NCBI Official Synonym Symbols
AKAP15; AKAP18
NCBI Protein Information
A-kinase anchor protein 7 isoform gamma
UniProt Protein Name
A-kinase anchor protein 7 isoform gamma
UniProt Gene Name
AKAP7
UniProt Synonym Gene Names
AKAP18; AKAP-7 isoform gamma; AKAP 18; PRKA7 isoform gamma
UniProt Entry Name
AKA7G_HUMAN
Customer Reviews
Loading reviews...
Share Your Experience
Similar Products
Product Notes
The AKAP7 akap7 (Catalog #AAA304620) is an Antibody produced from Rabbit and is intended for research purposes only. The product is available for immediate purchase. The AKAP7 Antibody reacts with Human and may cross-react with other species as described in the data sheet. AAA Biotech's AKAP7 can be used in a range of immunoassay formats including, but not limited to, IHC (Immunohistochemistry). Researchers should empirically determine the suitability of the AKAP7 akap7 for an application not listed in the data sheet. Researchers commonly develop new applications and it is an integral, important part of the investigative research process. It is sometimes possible for the material contained within the vial of "AKAP7, Polyclonal Antibody" to become dispersed throughout the inside of the vial, particularly around the seal of said vial, during shipment and storage. We always suggest centrifuging these vials to consolidate all of the liquid away from the lid and to the bottom of the vial prior to opening. Please be advised that certain products may require dry ice for shipping and that, if this is the case, an additional dry ice fee may also be required.Precautions
All products in the AAA Biotech catalog are strictly for research-use only, and are absolutely not suitable for use in any sort of medical, therapeutic, prophylactic, in-vivo, or diagnostic capacity. By purchasing a product from AAA Biotech, you are explicitly certifying that said products will be properly tested and used in line with industry standard. AAA Biotech and its authorized distribution partners reserve the right to refuse to fulfill any order if we have any indication that a purchaser may be intending to use a product outside of our accepted criteria.Disclaimer
Though we do strive to guarantee the information represented in this datasheet, AAA Biotech cannot be held responsible for any oversights or imprecisions. AAA Biotech reserves the right to adjust any aspect of this datasheet at any time and without notice. It is the responsibility of the customer to inform AAA Biotech of any product performance issues observed or experienced within 30 days of receipt of said product. To see additional details on this or any of our other policies, please see our Terms & Conditions page.Item has been added to Shopping Cart
If you are ready to order, navigate to Shopping Cart and get ready to checkout.
