Rabbit AKAP8 Polyclonal Antibody | anti-AKAP8 antibody
AKAP8 Antibody
Phosphate buffered saline, pH 7.4, 150mM NaCl, 0.02% sodium azide and 50% glycerol.
WB (Western Blot)
(Western blot analysis on Jurkat cell lysate using AKAP8 Antibody, The lane on the left is treated with the antigen-specific peptide.)
IF (Immunofluorescence)
(AAA320968 staining Daudi cells by IF/ICC. The sample were fixed with PFA and permeabilized in 0.1% Triton X-100, then blocked in 10% serum for 45 minutes at 25 degree C. The primary antibody was diluted at 1/200 and incubated with the sample for 1 hour at 37 degree C. An Alexa Fluor 594 conjugated goat anti-rabbit IgG (H+L) antibody, diluted at 1/600, was used as secondary antibody.)
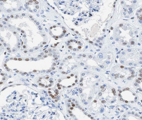
IHC (Immunohiostchemistry)
(AAA320968 at 1/100 staining human kidney tissue sections by IHC-P. The tissue was formaldehyde fixed and a heat mediated antigen retrieval step in citrate buffer was performed. The tissue was then blocked and incubated with the antibody for 1.5 hours at 22 degree C. An HRP conjugated goat anti-rabbit antibody was used as the secondary.)
IF (Immunofluorescence)
(AAA320968 staining Hela by IF/ICC. The sample were fixed with PFA and permeabilized in 0.1% Triton X-100, then blocked in 10% serum for 45 minutes at 25 degree C. The primary antibody was diluted at 1/200 and incubated with the sample for 1 hour at 37 degree C. An Alexa Fluor 594 conjugated goat anti-rabbit IgG (H+L) Ab, diluted at 1/600, was used as the secondary antibody.)
Function: Anchoring protein that mediates the subcellular compartmentation of cAMP-dependent protein kinase (PKA type II) (PubMed:9473338). Acts as an anchor for a PKA-signaling complex onto mitotic chromosomes, which is required for maintenance of chromosomes in a condensed form throughout mitosis. Recruits condensin complex subunit NCAPD2 to chromosomes required for chromatin condensation; the function appears to be independent from PKA-anchoring (PubMed:10601332, PubMed:10791967, PubMed:11964380). May help to deliver cyclin D/E to CDK4 to facilitate cell cycle progression (PubMed:14641107). Required for cell cycle G2/M transition and histone deacetylation during mitosis. In mitotic cells recruits HDAC3 to the vicinity of chromatin leading to deacetylation and subsequent phosphorylation at 'Ser-10' of histone H3; in this function may act redundantly with AKAP8L (PubMed:16980585). Involved in nuclear retention of RPS6KA1 upon ERK activation thus inducing cell proliferation (PubMed:22130794). May be involved in regulation of DNA replication by acting as scaffold for MCM2 (PubMed:12740381). Enhances HMT activity of the KMT2 family MLL4/WBP7 complex and is involved in transcriptional regulation. In a teratocarcinoma cell line is involved in retinoic acid-mediated induction of developmental genes implicating H3 'Lys-4' methylation (PubMed:23995757). May be involved in recruitment of active CASP3 to the nucleus in apoptotic cells (PubMed:16227597). May act as a carrier protein of GJA1 for its transport to the nucleus (PubMed:26880274). Seems to involved in modulation of rDNA transcription. Preferentially binds GC-rich DNA in vitro and associates to GC-rich ribosomal RNA promoters (PubMed:26683827). Involved in modulation of Toll-like receptor signaling. Required for the cAMP-dependent suppression of TNF-alpha in early stages of LPS-induced macrophage activation; the function probably implicates targeting of PKA to NFKB1 (By similarity).
Subunit Structure: Binds to the PKA RII-alpha regulatory subunit PRKAR2A (phosphorylated at 'Thr-54') during mitosis (PubMed:9473338, PubMed:10601332, PubMed:10764601, PubMed:11591814). Interacts (via C-terminus) with FIGN (By similarity). Interacts with NCAPD2, CCND1, MCM2, RPS6KA1, PDE4A (PubMed:10601332, PubMed:11964380, PubMed:11591814, PubMed:12740381, PubMed:14641107, PubMed:15470020, PubMed:22130794). Interacts with CCND3, CCNE1, DDX5, CASP3. Interacts with NFKB1; detetcted in the cytoplasm. Interacts with MYCBP; MYCBP is translocated to the nucleus and the interaction prevents the association of the PKA catalytic subunit leading to suppression of PKA activity (By similarity). Interacts with DPY30; mediating AKAP8 association with at least the MLL4/WBP7 HMT complex (PubMed:23995757). Interacts with HDAC3; increased during mitosis (PubMed:16980585). Interacts with GJA1; in the nucleus and in the nuclear membrane; the nuclear association increases with progress of cell cycle G1, S and G2 phase and decreases in M phase (PubMed:26880274).
Post-translational Modifications: Phosphorylated on tyrosine residues probably by SRC subfamily protein kinases; multiple phosphorylation is leading to dissociation from nuclear structures implicated in chromatin structural changes.
Similarity: Belongs to the AKAP95 family.
NCBI and Uniprot Product Information
Predicted: 77 kDa
Customer Reviews
Loading reviews...
Share Your Experience
Similar Products
Product Notes
The AKAP8 akap8 (Catalog #AAA320968) is an Antibody produced from Rabbit and is intended for research purposes only. The product is available for immediate purchase. The AKAP8 Antibody reacts with Human, Mouse, Rat and may cross-react with other species as described in the data sheet. AAA Biotech's AKAP8 can be used in a range of immunoassay formats including, but not limited to, ELISA, ICC (Immunocytochemistry), IF (Immunofluorescence), IHC (Immunohistochemistry), WB (Western Blot). Researchers should empirically determine the suitability of the AKAP8 akap8 for an application not listed in the data sheet. Researchers commonly develop new applications and it is an integral, important part of the investigative research process. It is sometimes possible for the material contained within the vial of "AKAP8, Polyclonal Antibody" to become dispersed throughout the inside of the vial, particularly around the seal of said vial, during shipment and storage. We always suggest centrifuging these vials to consolidate all of the liquid away from the lid and to the bottom of the vial prior to opening. Please be advised that certain products may require dry ice for shipping and that, if this is the case, an additional dry ice fee may also be required.Precautions
All products in the AAA Biotech catalog are strictly for research-use only, and are absolutely not suitable for use in any sort of medical, therapeutic, prophylactic, in-vivo, or diagnostic capacity. By purchasing a product from AAA Biotech, you are explicitly certifying that said products will be properly tested and used in line with industry standard. AAA Biotech and its authorized distribution partners reserve the right to refuse to fulfill any order if we have any indication that a purchaser may be intending to use a product outside of our accepted criteria.Disclaimer
Though we do strive to guarantee the information represented in this datasheet, AAA Biotech cannot be held responsible for any oversights or imprecisions. AAA Biotech reserves the right to adjust any aspect of this datasheet at any time and without notice. It is the responsibility of the customer to inform AAA Biotech of any product performance issues observed or experienced within 30 days of receipt of said product. To see additional details on this or any of our other policies, please see our Terms & Conditions page.Item has been added to Shopping Cart
If you are ready to order, navigate to Shopping Cart and get ready to checkout.
