Rabbit ALDH1A1 Polyclonal Antibody | anti-ALDH1A1 antibody
ALDH1A1 Antibody (Center)
IHC (Immunohistochemistry)
(Immunohistochemical analysis of paraffin-embedded Human testis tissue using AAA285731 performed on the Leica® BOND RXm. Tissue was fixed with formaldehyde at room temperature, antigen retrieval was by heat mediation with a EDTA buffer (pH9. 0). Samples were incubated with primary antibody(1:500) for 1 hours at room temperature. A undiluted biotinylated CRF Anti-Polyvalent HRP Polymer antibody was used as the secondary antibody.)
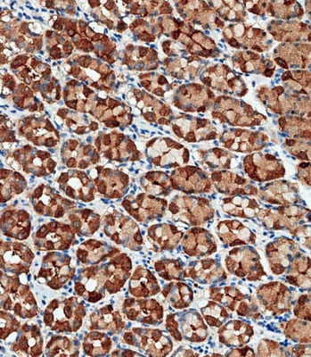
IHC (Immunohistochemisry)
(Immunohistochemical analysis of paraffin-embedded Human stomach tissue using AAA285731 performed on the Leica® BOND RXm. Tissue was fixed with formaldehyde at room temperature, antigen retrieval was by heat mediation with a EDTA buffer (pH9. 0). Samples were incubated with primary antibody(1:500) for 1 hours at room temperature. A undiluted biotinylated CRF Anti-Polyvalent HRP Polymer antibody was used as the secondary antibody.)
WB (Western Blot)
(All lanes: Anti-ALDH1A1 Antibody (Center) at 1:1000 dilutionLane 1: A549 whole cell lysateLane 2: HepG2 whole cell lysateLane 3: HT-29 whole cell lysateLane 4: Mouse lung lysateLane 5: Mouse liver lysate Lysates/proteins at 20 ug per lane.Secondary Goat Anti-Rabbit IgG, (H+L), Peroxidase conjugated at 1/10000 dilution.Predicted band size : 55 kDaBlocking/Dilution buffer: 5% NFDM/TBST.)
IF (Immunofluorescence)
(Fluorescent image of A549 cells stained with ALDH1A1 Antibody (Center)(Cat#AAA285731). AAA285731 was diluted at 1:25 dilution. An Alexa Fluor 488-conjugated goat anti-rabbit lgG at 1:400 dilution was used as the secondary antibody (green). Cytoplasmic actin was counterstained with Alexa Fluor® 555 conjugated with Phalloidin (red).)
Zheng C.F.,et al.Alcohol. Clin. Exp. Res. 17:828-831(1993).
Ramana K.V.,et al.Submitted (SEP-2003) to the EMBL/GenBank/DDBJ databases.
Kalnine N.,et al.Submitted (MAY-2003) to the EMBL/GenBank/DDBJ databases.
Humphray S.J.,et al.Nature 429:369-374(2004).
NCBI and Uniprot Product Information
Customer Reviews
Loading reviews...
Share Your Experience
Similar Products
Product Notes
The ALDH1A1 aldh1a1 (Catalog #AAA285731) is an Antibody produced from Rabbit and is intended for research purposes only. The product is available for immediate purchase. The ALDH1A1 Antibody (Center) reacts with Human, rat (Predicted Reactivity: Monkey) and may cross-react with other species as described in the data sheet. AAA Biotech's ALDH1A1 can be used in a range of immunoassay formats including, but not limited to, WB (Western Blot), ELISA, IF (Immunofluorescence). Researchers should empirically determine the suitability of the ALDH1A1 aldh1a1 for an application not listed in the data sheet. Researchers commonly develop new applications and it is an integral, important part of the investigative research process. It is sometimes possible for the material contained within the vial of "ALDH1A1, Polyclonal Antibody" to become dispersed throughout the inside of the vial, particularly around the seal of said vial, during shipment and storage. We always suggest centrifuging these vials to consolidate all of the liquid away from the lid and to the bottom of the vial prior to opening. Please be advised that certain products may require dry ice for shipping and that, if this is the case, an additional dry ice fee may also be required.Precautions
All products in the AAA Biotech catalog are strictly for research-use only, and are absolutely not suitable for use in any sort of medical, therapeutic, prophylactic, in-vivo, or diagnostic capacity. By purchasing a product from AAA Biotech, you are explicitly certifying that said products will be properly tested and used in line with industry standard. AAA Biotech and its authorized distribution partners reserve the right to refuse to fulfill any order if we have any indication that a purchaser may be intending to use a product outside of our accepted criteria.Disclaimer
Though we do strive to guarantee the information represented in this datasheet, AAA Biotech cannot be held responsible for any oversights or imprecisions. AAA Biotech reserves the right to adjust any aspect of this datasheet at any time and without notice. It is the responsibility of the customer to inform AAA Biotech of any product performance issues observed or experienced within 30 days of receipt of said product. To see additional details on this or any of our other policies, please see our Terms & Conditions page.Item has been added to Shopping Cart
If you are ready to order, navigate to Shopping Cart and get ready to checkout.
