Rabbit anti-Human ALKBH8 Polyclonal Antibody | anti-ALKBH8 antibody
ALKBH8 Antibody
Gene Names
ALKBH8; ABH8; TRM9; TRMT9
Reactivity
Human
Applications
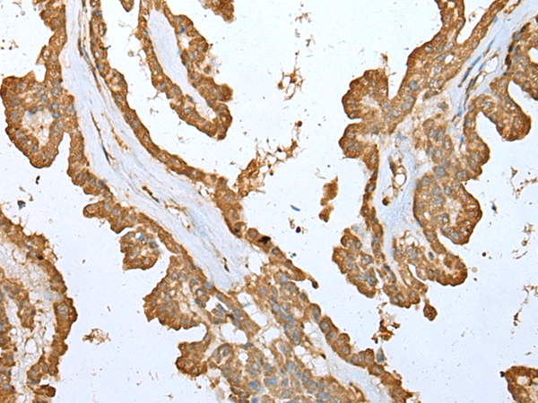
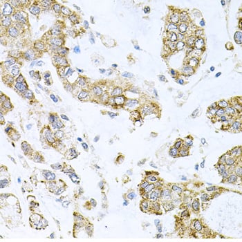
Immunohistochemistry
Purity
Antigen Affinity Purification
Synonyms
ALKBH8, Antibody; ALKBH8 Antibody; ABH8; TRM9; TRMT9; anti-ALKBH8 antibody
Host
Rabbit
Reactivity
Human
Clonality
Polyclonal
Specificity
The antibody detects endogenous levels of total ALKBH8 protein.
Purity/Purification
Antigen Affinity Purification
Form/Format
Rabbit IgG in pH7.4 PBS, 0.05% NaN3, 40% Glycerol.
Concentration
1.2 mg/ml (varies by lot)
Sequence Length
667
Applicable Applications for anti-ALKBH8 antibody
IHC (Immunohistochemistry)
Immunogen
Full length fusion protein of human ALKBH8
Immunogen Type
Protein
Preparation and Storage
Store at -20 degree C
Related Product Information for anti-ALKBH8 antibody
ALKBH8 (alkylated DNA repair protein AlkB homolog 8) is a 664 amino acid protein that is encoded by a gene located on chromosome 11. ALKBH8 contains one RRM (RNA recognition motif) domain and belongs to the AlkB family of proteins. ALKBH8 is one of many homologs of the Escherichia coli protein AlkB. AlkB functions to protect DNA and RNA against damage from environmental methylating compounds by directly reversing 1-methyladenine (1-meA) and 3-methylcytosine (3-meC) cytotoxic alkylation lesions in DNA and RNA. The enzyme acts by oxidative demethylation, utilizing ferrous iron and alpha-ketoglutarate as cofactors, 2-oxoglutarate as a co-substrate and molecular oxygen as the oxidizing agent. Three isoformsexist for ALKBH8 due alternative splicing of the gene.
Product Categories/Family for anti-ALKBH8 antibody
NCBI and Uniprot Product Information
NCBI GI #
NCBI GeneID
NCBI Accession #
NCBI GenBank Nucleotide #
Molecular Weight
75,558 Da
NCBI Official Full Name
alkylated DNA repair protein alkB homolog 8 isoform 1
NCBI Official Synonym Full Names
alkB homolog 8, tRNA methyltransferase
NCBI Official Symbol
ALKBH8
NCBI Official Synonym Symbols
ABH8; TRM9; TRMT9
NCBI Protein Information
alkylated DNA repair protein alkB homolog 8
UniProt Protein Name
Alkylated DNA repair protein alkB homolog 8
UniProt Gene Name
ALKBH8
UniProt Synonym Gene Names
ABH8
UniProt Entry Name
ALKB8_HUMAN
Customer Reviews
Loading reviews...
Share Your Experience
Similar Products
Product Notes
The ALKBH8 alkbh8 (Catalog #AAA309071) is an Antibody produced from Rabbit and is intended for research purposes only. The product is available for immediate purchase. The ALKBH8 Antibody reacts with Human and may cross-react with other species as described in the data sheet. AAA Biotech's ALKBH8 can be used in a range of immunoassay formats including, but not limited to, IHC (Immunohistochemistry). Researchers should empirically determine the suitability of the ALKBH8 alkbh8 for an application not listed in the data sheet. Researchers commonly develop new applications and it is an integral, important part of the investigative research process. It is sometimes possible for the material contained within the vial of "ALKBH8, Polyclonal Antibody" to become dispersed throughout the inside of the vial, particularly around the seal of said vial, during shipment and storage. We always suggest centrifuging these vials to consolidate all of the liquid away from the lid and to the bottom of the vial prior to opening. Please be advised that certain products may require dry ice for shipping and that, if this is the case, an additional dry ice fee may also be required.Precautions
All products in the AAA Biotech catalog are strictly for research-use only, and are absolutely not suitable for use in any sort of medical, therapeutic, prophylactic, in-vivo, or diagnostic capacity. By purchasing a product from AAA Biotech, you are explicitly certifying that said products will be properly tested and used in line with industry standard. AAA Biotech and its authorized distribution partners reserve the right to refuse to fulfill any order if we have any indication that a purchaser may be intending to use a product outside of our accepted criteria.Disclaimer
Though we do strive to guarantee the information represented in this datasheet, AAA Biotech cannot be held responsible for any oversights or imprecisions. AAA Biotech reserves the right to adjust any aspect of this datasheet at any time and without notice. It is the responsibility of the customer to inform AAA Biotech of any product performance issues observed or experienced within 30 days of receipt of said product. To see additional details on this or any of our other policies, please see our Terms & Conditions page.Item has been added to Shopping Cart
If you are ready to order, navigate to Shopping Cart and get ready to checkout.
