ALOX5 Polyclonal Antibody | anti-ALOX5 antibody
Anti-ALOX5 Antibody
WB (Western Blot)
(Anti-ALOX5 Picoband antibody, -5.jpgAll lanes: Anti-ALOX5 at 0.5ug/mlWB: SGC Whole Cell Lysate at 40ugPredicted bind size: 78KDObserved bind size: 78KD)
IHC (Immunohistochemistry)
(Anti-ALOX5 Picoband antibody, -4.JPGIHC(P): Human Mammary Cancer Tissue)
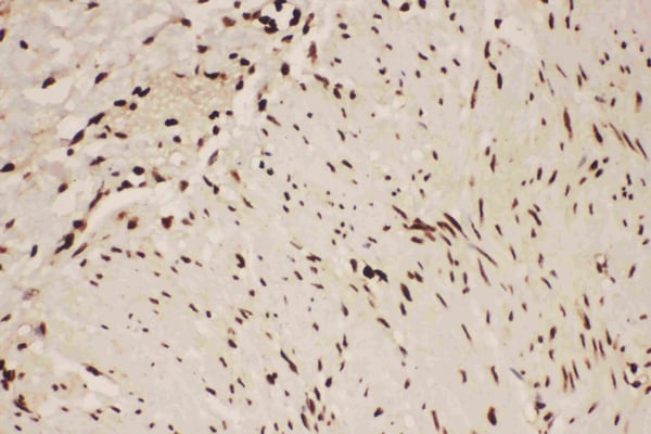
IHC (Immunohistochemisry)
(Anti-ALOX5 Picoband antibody, -3.JPGIHC(P): Human Intestinal Cancer Tissue)
Background: Arachidonate 5-lipoxygenase, also known as 5-LOX or 5-LO, is an enzyme that in humans is encoded by the ALOX5 gene. ALOX5 is a member of the lipoxygenase family of enzymes. It is mapped to 10q11.21. ALOX5 plays a dual role in the synthesis of leukotrienes from arachidonic acid. The position of ALOX5 within the nucleus of resting cells determines the capacity to generate LTB4 upon subsequent activation. It is involved in lung vascular tone regulation and in the development of chronic pulmonary hypertension in hypoxic rodent models. ALOX5 also transforms EFAs into leukotrienes and is a current target for pharmaceutical intervention in a number of diseases.
NCBI and Uniprot Product Information
Customer Reviews
Loading reviews...
Share Your Experience
Similar Products
Product Notes
The ALOX5 alox5 (Catalog #AAA46465) is an Antibody and is intended for research purposes only. The product is available for immediate purchase. The Anti-ALOX5 Antibody reacts with Human, Mouse, Rat and may cross-react with other species as described in the data sheet. AAA Biotech's ALOX5 can be used in a range of immunoassay formats including, but not limited to, IHC (Immunohistochemistry), WB (Western Blot). Researchers should empirically determine the suitability of the ALOX5 alox5 for an application not listed in the data sheet. Researchers commonly develop new applications and it is an integral, important part of the investigative research process. It is sometimes possible for the material contained within the vial of "ALOX5, Polyclonal Antibody" to become dispersed throughout the inside of the vial, particularly around the seal of said vial, during shipment and storage. We always suggest centrifuging these vials to consolidate all of the liquid away from the lid and to the bottom of the vial prior to opening. Please be advised that certain products may require dry ice for shipping and that, if this is the case, an additional dry ice fee may also be required.Precautions
All products in the AAA Biotech catalog are strictly for research-use only, and are absolutely not suitable for use in any sort of medical, therapeutic, prophylactic, in-vivo, or diagnostic capacity. By purchasing a product from AAA Biotech, you are explicitly certifying that said products will be properly tested and used in line with industry standard. AAA Biotech and its authorized distribution partners reserve the right to refuse to fulfill any order if we have any indication that a purchaser may be intending to use a product outside of our accepted criteria.Disclaimer
Though we do strive to guarantee the information represented in this datasheet, AAA Biotech cannot be held responsible for any oversights or imprecisions. AAA Biotech reserves the right to adjust any aspect of this datasheet at any time and without notice. It is the responsibility of the customer to inform AAA Biotech of any product performance issues observed or experienced within 30 days of receipt of said product. To see additional details on this or any of our other policies, please see our Terms & Conditions page.Item has been added to Shopping Cart
If you are ready to order, navigate to Shopping Cart and get ready to checkout.
