Rabbit anti-Human, Pig Alpha-1-Antitrypsin (a1AT) Polyclonal Antibody | anti-a1AT antibody
Polyclonal Antibody to Alpha-1-Antitrypsin (a1AT)
Gene Names
SERPINA1; PI; A1A; AAT; PI1; A1AT; nNIF; PRO2275; alpha1AT
Reactivity
Human, Pig
Applications
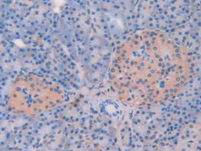
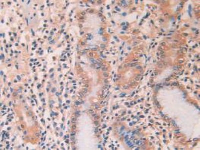
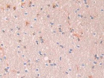
Western Blot, ELISA, Immunohistochemistry, Immunocytochemistry
Purity
Affinity Chromatography
Synonyms
Alpha-1-Antitrypsin (a1AT), Antibody; Polyclonal Antibody to Alpha-1-Antitrypsin (a1AT); anti-a1AT antibody
Host
Rabbit
Reactivity
Human, Pig
Clonality
Polyclonal
Specificity
The antibody is a rabbit polyclonal antibody raised against a1AT. It has been selected for its ability to recognize a1AT in immunohistochemical staining andwestern blotting.
Purity/Purification
Affinity Chromatography
Form/Format
Supplied as solution form in PBS, pH7.4, containing 0.02% NaN3,50% glycerol.
Concentration
500ug/mL (varies by lot)
Sequence Length
418
Applicable Applications for anti-a1AT antibody
WB (Western Blot), ELISA, IHC (Immunohistochemistry), ICC (Immunocytochemistry)
Immunogen Information
Alpha 1-Antitrypsin (A1AT) is a protease inhibitor belonging to the serpin superfamily. It is generally known as serum trypsin inhibitor. It protects tissues from enzymes of inflammatory cells, especially neutrophil elastase, and has a reference range in blood of 1.5~3.5 gram/liter. In its absence, neutrophil elastase is free to break down elastin, which contributes to the elasticity of the lungs, resulting in respiratory complications such as emphysema, or COPD in adults and cirrhosis in adults or children. A1AT is a 52-kDa serpin and, in medicine, it is considered the most prominent serpin; the terms α1-antitrypsin and protease inhibitor (Pi) are often used interchangeably.
Cross Reactivity
Human
Conjugated Antibody
The APC conjugated antibody version of this item is also available as
Preparation and Storage
Store at 4 degree C for frequent use. Stored at -20 degree C to -80 degree C in a manual defrost freezer for one year without detectable loss of activity. Avoid repeated freeze-thaw cycles.
NCBI and Uniprot Product Information
NCBI GI #
NCBI GeneID
NCBI Accession #
NCBI GenBank Nucleotide #
UniProt Accession #
Molecular Weight
34,755 Da
NCBI Official Full Name
alpha-1-antitrypsin
NCBI Official Synonym Full Names
serpin family A member 1
NCBI Official Symbol
SERPINA1
NCBI Official Synonym Symbols
PI; A1A; AAT; PI1; A1AT; nNIF; PRO2275; alpha1AT
NCBI Protein Information
alpha-1-antitrypsin
UniProt Protein Name
Alpha-1-antitrypsin
UniProt Gene Name
SERPINA1
UniProt Synonym Gene Names
AAT; PI; SPAAT
Customer Reviews
Loading reviews...
Share Your Experience
Similar Products
Product Notes
The a1AT serpina1 (Catalog #AAA130970) is an Antibody produced from Rabbit and is intended for research purposes only. The product is available for immediate purchase. The Polyclonal Antibody to Alpha-1-Antitrypsin (a1AT) reacts with Human, Pig and may cross-react with other species as described in the data sheet. AAA Biotech's Alpha-1-Antitrypsin (a1AT) can be used in a range of immunoassay formats including, but not limited to, WB (Western Blot), ELISA, IHC (Immunohistochemistry), ICC (Immunocytochemistry). Researchers should empirically determine the suitability of the a1AT serpina1 for an application not listed in the data sheet. Researchers commonly develop new applications and it is an integral, important part of the investigative research process. It is sometimes possible for the material contained within the vial of "Alpha-1-Antitrypsin (a1AT), Polyclonal Antibody" to become dispersed throughout the inside of the vial, particularly around the seal of said vial, during shipment and storage. We always suggest centrifuging these vials to consolidate all of the liquid away from the lid and to the bottom of the vial prior to opening. Please be advised that certain products may require dry ice for shipping and that, if this is the case, an additional dry ice fee may also be required.Precautions
All products in the AAA Biotech catalog are strictly for research-use only, and are absolutely not suitable for use in any sort of medical, therapeutic, prophylactic, in-vivo, or diagnostic capacity. By purchasing a product from AAA Biotech, you are explicitly certifying that said products will be properly tested and used in line with industry standard. AAA Biotech and its authorized distribution partners reserve the right to refuse to fulfill any order if we have any indication that a purchaser may be intending to use a product outside of our accepted criteria.Disclaimer
Though we do strive to guarantee the information represented in this datasheet, AAA Biotech cannot be held responsible for any oversights or imprecisions. AAA Biotech reserves the right to adjust any aspect of this datasheet at any time and without notice. It is the responsibility of the customer to inform AAA Biotech of any product performance issues observed or experienced within 30 days of receipt of said product. To see additional details on this or any of our other policies, please see our Terms & Conditions page.Item has been added to Shopping Cart
If you are ready to order, navigate to Shopping Cart and get ready to checkout.
