Rabbit AMPK alpha2 Polyclonal Antibody | anti-AMPKa2 antibody
AMPK alpha2 Polyclonal Antibody
Gene Names
PRKAA2; AMPK; AMPK2; PRKAA; AMPKa2
Reactivity
Human, Mouse, Rat
Applications
Immunofluorescence, Western Blot
Purity
Affinity Purification
Synonyms
AMPK alpha2, Antibody; AMPK alpha2 Polyclonal Antibody; 5'-AMP-activated protein kinase catalytic subunit alpha-2; AAPK2; ACACA kinase; Acetyl-CoA carboxylase kinase; AMPK alpha 2 chain; AMPK subunit alpha-2; AMPK2; AMPKalpha2; HMGCR kinase; Hydroxymethylglutaryl-CoA reductase kinase; PRKAA; PRKAA2; Protein kinase AMP activated alpha 2 catalytic subunit; Protein kinase AMP activated catalytic subunit alpha 2; anti-AMPKa2 antibody
Host
Rabbit
Reactivity
Human, Mouse, Rat
Clonality
Polyclonal
Isotype
IgG
Purity/Purification
Affinity Purification
Form/Format
PBS with 0.02% sodium azide, 50% glycerol, pH7.3.
Concentration
1 mg/mL (varies by lot)
Sequence Length
552
Applicable Applications for anti-AMPKa2 antibody
IF (Immunofluorescence), WB (Western Blot)
Immunogen
Recombinant protein of human PRKAA2
Conjugation
Unconjugated
Preparation and Storage
Store at -20 degree C. Avoid freeze/thaw cycles.
Related Product Information for anti-AMPKa2 antibody
The protein encoded by this gene is a catalytic subunit of the AMP-activated protein kinase (AMPK). AMPK is a heterotrimer consisting of an alpha catalytic subunit, and non-catalytic beta and gamma subunits. AMPK is an important energy-sensing enzyme that monitors cellular energy status. In response to cellular metabolic stresses, AMPK is activated, and thus phosphorylates and inactivates acetyl-CoA carboxylase (ACC) and beta-hydroxy beta-methylglutaryl-CoA reductase (HMGCR), key enzymes involved in regulating de novo biosynthesis of fatty acid and cholesterol. Studies of the mouse counterpart suggest that this catalytic subunit may control whole-body insulin sensitivity and is necessary for maintaining myocardial energy homeostasis during ischemia.
Product Categories/Family for anti-AMPKa2 antibody
NCBI and Uniprot Product Information
NCBI GI #
NCBI GeneID
NCBI Accession #
NCBI GenBank Nucleotide #
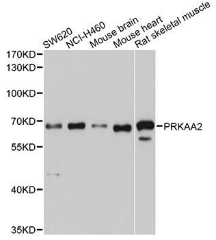
Molecular Weight
Calculated: 62kDa
Observed: 69kDa
Observed: 69kDa
NCBI Official Full Name
5'-AMP-activated protein kinase catalytic subunit alpha-2
NCBI Official Synonym Full Names
protein kinase AMP-activated catalytic subunit alpha 2
NCBI Official Symbol
PRKAA2
NCBI Official Synonym Symbols
AMPK; AMPK2; PRKAA; AMPKa2
NCBI Protein Information
5'-AMP-activated protein kinase catalytic subunit alpha-2
UniProt Protein Name
5'-AMP-activated protein kinase catalytic subunit alpha-2
UniProt Gene Name
PRKAA2
UniProt Synonym Gene Names
AMPK; AMPK2; AMPK subunit alpha-2; ACACA kinase; HMGCR kinase
Similar Products
AMPK Recombinant Protein
Host: Sf9 insect cells using baculovirus
Reactivity: n/a
Apps: Western Blot
AMPK Recombinant Protein
Host: Sf9 insect cells using baculovirus
Reactivity: n/a
Apps: Western Blot
AMPK Recombinant Protein
Host: Sf9 insect cells using baculovirus
Reactivity: n/a
Apps: Western Blot
AMPK Recombinant Protein
Host: Sf9 insect cells using baculovirus
Reactivity: n/a
Apps: Western Blot
Product Notes
The AMPKa2 prkaa2 (Catalog #AAA174140) is an Antibody produced from Rabbit and is intended for research purposes only. The product is available for immediate purchase. The AMPK alpha2 Polyclonal Antibody reacts with Human, Mouse, Rat and may cross-react with other species as described in the data sheet. AAA Biotech's AMPK alpha2 can be used in a range of immunoassay formats including, but not limited to, IF (Immunofluorescence), WB (Western Blot). Researchers should empirically determine the suitability of the AMPKa2 prkaa2 for an application not listed in the data sheet. Researchers commonly develop new applications and it is an integral, important part of the investigative research process. It is sometimes possible for the material contained within the vial of "AMPK alpha2, Polyclonal Antibody" to become dispersed throughout the inside of the vial, particularly around the seal of said vial, during shipment and storage. We always suggest centrifuging these vials to consolidate all of the liquid away from the lid and to the bottom of the vial prior to opening. Please be advised that certain products may require dry ice for shipping and that, if this is the case, an additional dry ice fee may also be required.Precautions
All products in the AAA Biotech catalog are strictly for research-use only, and are absolutely not suitable for use in any sort of medical, therapeutic, prophylactic, in-vivo, or diagnostic capacity. By purchasing a product from AAA Biotech, you are explicitly certifying that said products will be properly tested and used in line with industry standard. AAA Biotech and its authorized distribution partners reserve the right to refuse to fulfill any order if we have any indication that a purchaser may be intending to use a product outside of our accepted criteria.Disclaimer
Though we do strive to guarantee the information represented in this datasheet, AAA Biotech cannot be held responsible for any oversights or imprecisions. AAA Biotech reserves the right to adjust any aspect of this datasheet at any time and without notice. It is the responsibility of the customer to inform AAA Biotech of any product performance issues observed or experienced within 30 days of receipt of said product. To see additional details on this or any of our other policies, please see our Terms & Conditions page.Item has been added to Shopping Cart
If you are ready to order, navigate to Shopping Cart and get ready to checkout.
