Angiopoietin 2 Polyclonal Antibody | anti-ANGPT2 antibody
Anti-Angiopoietin 2 Antibody
Gene Names
ANGPT2; ANG2; AGPT2
Reactivity
Human, Mouse, Rat
Applications
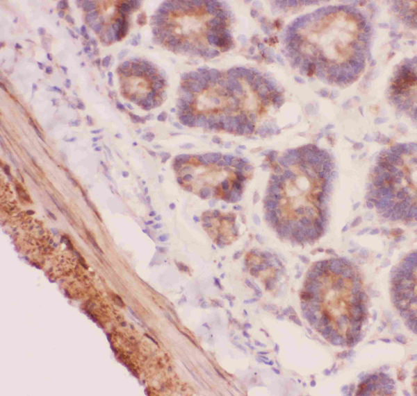
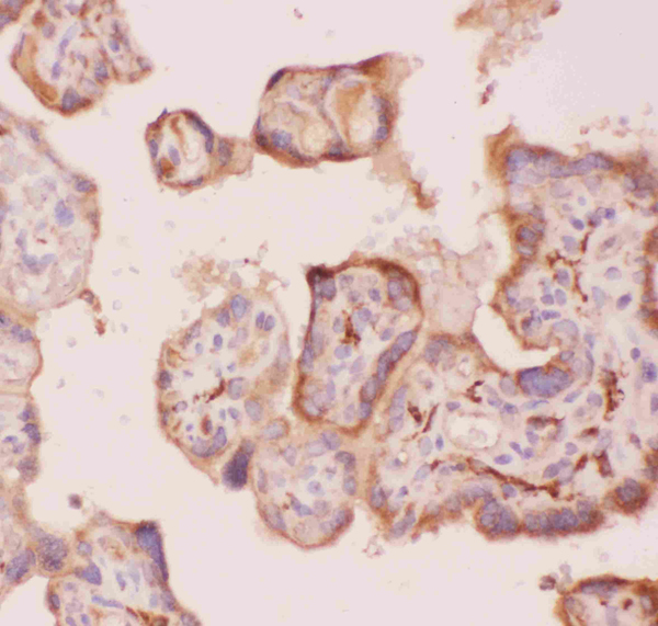
Immunohistochemistry
Purity
Immunogen Affinity Purified
Synonyms
Angiopoietin 2, Antibody; Anti-Angiopoietin 2 Antibody; Angiopoietin-2; AGPT 2; Agpt2; ANG 2; ANG-2; ANG2; Angiopoietin 2a; Angiopoietin 2B; Angiopoietin2; ANGP2_HUMAN; ANGPT 2; ANGPT2; Tie2 ligand; angiopoietin 2; anti-ANGPT2 antibody
Reactivity
Human, Mouse, Rat
Clonality
Polyclonal
Purity/Purification
Immunogen Affinity Purified
Form/Format
Lyophilized. Each vial contains 5mg BSA, 0.9mg NaCl, 0.2mg Na2HPO4, 0.05mg NaN3.
Sequence Length
495
Applicable Applications for anti-ANGPT2 antibody
IHC (Immunohistochemistry)
Immunogen
E Coli-derived human Angiopoietin 2 recombinant protein (Position: Y19-N348). Human Angiopoietin 2 shares 84% and 85% amino acid (aa) sequences identity with mouse and rat Angiopoietin 2, respectively.
Ig Type
Rabbit IgG
Reconstitution
Add 0.2ml of distilled water will yield a concentration of 500ug/ml.
Preparation and Storage
At -20 degree C for one year. After reconstitution, at 4 degree C for one month. It can also be aliquoted and stored frozen at -20 degree C for a longer time. Avoid repeated freezing and thawing.
Related Product Information for anti-ANGPT2 antibody
Description: Rabbit IgG polyclonal antibody for Angiopoietin-2(ANGPT2) detection. Tested with IHC-P in Human;Mouse;Rat.
Background: ANGPT2, also known as ANG2 or Angiopoietin 2, is a protein that in humans is encoded by the ANGPT2 gene. It is mapped to 8p23.1. ANGPT2 is a naturally occurring antagonist of ANG1 that competes for binding to the TIE2 receptor and blocks ANGPT1-induced TIE2 autophosphorylation during vasculogenesis. The encoded protein disrupts the vascular remodeling ability of ANGPT1 and may induce endothelial cell apoptosis. ANGPT2 was significantly increased in plasma and alveolar edema fluid in adults with acute lung injury compared to controls or patients with hydrostatic pulmonary edema, tracheal. ANGPT2 was also significantly increased in neonates with respiratory distress syndrome who developed bronchopulmonary edema. It is also a mediator of epithelial necrosis with an important role in hyperoxic acute lung injury and pulmonary edema.
Background: ANGPT2, also known as ANG2 or Angiopoietin 2, is a protein that in humans is encoded by the ANGPT2 gene. It is mapped to 8p23.1. ANGPT2 is a naturally occurring antagonist of ANG1 that competes for binding to the TIE2 receptor and blocks ANGPT1-induced TIE2 autophosphorylation during vasculogenesis. The encoded protein disrupts the vascular remodeling ability of ANGPT1 and may induce endothelial cell apoptosis. ANGPT2 was significantly increased in plasma and alveolar edema fluid in adults with acute lung injury compared to controls or patients with hydrostatic pulmonary edema, tracheal. ANGPT2 was also significantly increased in neonates with respiratory distress syndrome who developed bronchopulmonary edema. It is also a mediator of epithelial necrosis with an important role in hyperoxic acute lung injury and pulmonary edema.
References
1. Bhandari, V., Choo-Wing, R., Lee, C. G., Zhu, Z., Nedrelow, J. H., Chupp, G. L., Zhang, X., Matthay, M. A., Ware, L. B., Homer, R. J., Lee, P. J., Geick, A., de Fougerolles, A. R., Elias, J. A. Hyperoxia causes angiopoietin 2-mediated acute lung injury and necrotic cell death. Nature Med. 12: 1286-1293, 2006. 2. Kim, I., Kim, J.-H., Ryu, Y. S., Jung, S. H., Nah, J. J., Koh, G. Y. Characterization and expression of a novel alternatively spliced human angiopoietin-2. J. Biol. Chem. 275: 18550-18556, 2000. 3. Cheung AH, Stewart RJ, Marsden PA (Jun 1998). "Endothelial Tie2/Tek ligands angiopoietin-1 (ANGPT1) and angiopoietin-2 (ANGPT2): regional localization of the human genes to 8q22.3-q23 and 8p23". Genomics 48 (3): 389-91. 4. Fiedler, Ulrike; Krissl Tanja, Koidl Stefanie, Weiss Cornelia, Koblizek Thomas, Deutsch Urban, Martiny-Baron Georg, Marmé Dieter, Augustin Hellmut G (Jan 2003). "Angiopoietin-1 and angiopoietin-2 share the same binding domains in the Tie-2 receptor involving the first Ig-like loop and the epidermal growth factor-like repeats". J. Biol. Chem. (United States) 278 (3): 1721-7.
NCBI and Uniprot Product Information
NCBI GI #
NCBI GeneID
NCBI Accession #
NCBI GenBank Nucleotide #
Molecular Weight
56,848 Da
NCBI Official Full Name
angiopoietin-2 isoform b
NCBI Official Synonym Full Names
angiopoietin 2
NCBI Official Symbol
ANGPT2
NCBI Official Synonym Symbols
ANG2; AGPT2
NCBI Protein Information
angiopoietin-2
UniProt Protein Name
Angiopoietin-2
UniProt Gene Name
ANGPT2
UniProt Synonym Gene Names
ANG-2
UniProt Entry Name
ANGP2_HUMAN
Customer Reviews
Loading reviews...
Share Your Experience
Similar Products
Product Notes
The ANGPT2 angpt2 (Catalog #AAA46236) is an Antibody and is intended for research purposes only. The product is available for immediate purchase. The Anti-Angiopoietin 2 Antibody reacts with Human, Mouse, Rat and may cross-react with other species as described in the data sheet. AAA Biotech's Angiopoietin 2 can be used in a range of immunoassay formats including, but not limited to, IHC (Immunohistochemistry). Researchers should empirically determine the suitability of the ANGPT2 angpt2 for an application not listed in the data sheet. Researchers commonly develop new applications and it is an integral, important part of the investigative research process. It is sometimes possible for the material contained within the vial of "Angiopoietin 2, Polyclonal Antibody" to become dispersed throughout the inside of the vial, particularly around the seal of said vial, during shipment and storage. We always suggest centrifuging these vials to consolidate all of the liquid away from the lid and to the bottom of the vial prior to opening. Please be advised that certain products may require dry ice for shipping and that, if this is the case, an additional dry ice fee may also be required.Precautions
All products in the AAA Biotech catalog are strictly for research-use only, and are absolutely not suitable for use in any sort of medical, therapeutic, prophylactic, in-vivo, or diagnostic capacity. By purchasing a product from AAA Biotech, you are explicitly certifying that said products will be properly tested and used in line with industry standard. AAA Biotech and its authorized distribution partners reserve the right to refuse to fulfill any order if we have any indication that a purchaser may be intending to use a product outside of our accepted criteria.Disclaimer
Though we do strive to guarantee the information represented in this datasheet, AAA Biotech cannot be held responsible for any oversights or imprecisions. AAA Biotech reserves the right to adjust any aspect of this datasheet at any time and without notice. It is the responsibility of the customer to inform AAA Biotech of any product performance issues observed or experienced within 30 days of receipt of said product. To see additional details on this or any of our other policies, please see our Terms & Conditions page.Item has been added to Shopping Cart
If you are ready to order, navigate to Shopping Cart and get ready to checkout.
