Rabbit anti-Human Angiotensin Converting Enzyme 1 Polyclonal Antibody | anti-ACE antibody
Anti-Angiotensin Converting Enzyme 1 antibody
WB (Western Blot)
(Anti- ACE antibody, AAA45715, Western blottingAll lanes: Anti Angiotensin Converting Enzyme 1 (AAA45715) at 0.5ug/mlLane 1: HELA Whole Cell Lysate at 40ugLane 2: A549 Whole Cell Lysate at 40ugLane 3: 22RV1 Whole Cell Lysate at 40ugPredicted bind size: 150KDObserved bind size: 150KD)
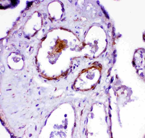
IHC (Immunohiostchemistry)
(Anti- ACE antibody, AAA45715, IHC(P)IHC(P): Human Prostatic Cancer Tissue)
Background: Angiotensin I converting enzyme(ACE), also called DCP or CD143, is a zinc-containing dipeptidyl carboxypeptidase widely distributed in mammalian tissues and is though to play a critical role in blood pressure regulation. ACE gene is mapped to 17q23.3. This gene encodes an enzyme involved in catalyzing the conversion of angiotensin I into a physiologically active peptide angiotensin II. Angiotensin II is a potent vasopressor and aldosterone-stimulating peptide that controls blood pressure and fluid-electrolyte balance. This enzyme plays a key role in the renin-angiotensin system. Many studies have associated the presence or absence of a 287 bp Alu repeat element in this gene with the levels of circulating enzyme or cardiovascular pathophysiologies.
NCBI and Uniprot Product Information
Customer Reviews
Loading reviews...
Share Your Experience
Similar Products
Product Notes
The ACE ace (Catalog #AAA45715) is an Antibody produced from Rabbit and is intended for research purposes only. The product is available for immediate purchase. The Anti-Angiotensin Converting Enzyme 1 antibody reacts with Human and may cross-react with other species as described in the data sheet. AAA Biotech's Angiotensin Converting Enzyme 1 can be used in a range of immunoassay formats including, but not limited to, IHC (Immunohistochemistry), WB (Western Blot). Researchers should empirically determine the suitability of the ACE ace for an application not listed in the data sheet. Researchers commonly develop new applications and it is an integral, important part of the investigative research process. It is sometimes possible for the material contained within the vial of "Angiotensin Converting Enzyme 1, Polyclonal Antibody" to become dispersed throughout the inside of the vial, particularly around the seal of said vial, during shipment and storage. We always suggest centrifuging these vials to consolidate all of the liquid away from the lid and to the bottom of the vial prior to opening. Please be advised that certain products may require dry ice for shipping and that, if this is the case, an additional dry ice fee may also be required.Precautions
All products in the AAA Biotech catalog are strictly for research-use only, and are absolutely not suitable for use in any sort of medical, therapeutic, prophylactic, in-vivo, or diagnostic capacity. By purchasing a product from AAA Biotech, you are explicitly certifying that said products will be properly tested and used in line with industry standard. AAA Biotech and its authorized distribution partners reserve the right to refuse to fulfill any order if we have any indication that a purchaser may be intending to use a product outside of our accepted criteria.Disclaimer
Though we do strive to guarantee the information represented in this datasheet, AAA Biotech cannot be held responsible for any oversights or imprecisions. AAA Biotech reserves the right to adjust any aspect of this datasheet at any time and without notice. It is the responsibility of the customer to inform AAA Biotech of any product performance issues observed or experienced within 30 days of receipt of said product. To see additional details on this or any of our other policies, please see our Terms & Conditions page.Item has been added to Shopping Cart
If you are ready to order, navigate to Shopping Cart and get ready to checkout.
