Rabbit anti-Human ANGPT1 Polyclonal Antibody | anti-ANGPT1 antibody
ANGPT1 Antibody
Gene Names
ANGPT1; AGP1; AGPT; ANG1
Reactivity
Human
Applications
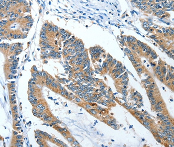
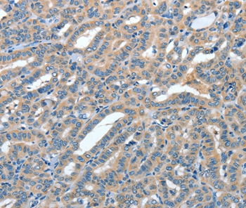
Immunohistochemistry
Purity
Antigen affinity purification.
Synonyms
ANGPT1, Antibody; ANGPT1 Antibody; AGP1; AGPT; ANG1; anti-ANGPT1 antibody
Host
Rabbit
Reactivity
Human
Clonality
Polyclonal
Specificity
The antibody detects endogenous levels of total ANGPT1 protein.
Purity/Purification
Antigen affinity purification.
Form/Format
Rabbit IgG in pH7.3 PBS, 0.05% NaN3, 50% Glycerol.
Concentration
1.8 mg/ml (varies by lot)
Sequence Length
498
Applicable Applications for anti-ANGPT1 antibody
IHC (Immunohistochemistry)
Immunogen Type
Recombinant Protein
Immunogen Description
Full length fusion protein
Target Name
ANGPT1
Preparation and Storage
Store at -20 degree C
Related Product Information for anti-ANGPT1 antibody
Angiopoietins are proteins with important roles in vascular development and angiogenesis. All angiopoietins bind with similar affinity to an endothelial cell-specific tyrosine-protein kinase receptor. The protein encoded by this gene is a secreted glycoprotein that activates the receptor by inducing its tyrosine phosphorylation. It plays a critical role in mediating reciprocal interactions between the endothelium and surrounding matrix and mesenchyme and inhibits endothelial permeability. The protein also contributes to blood vessel maturation and stability, and may be involved in early development of the heart. Alternative splicing results in multiple transcript variants encoding distinct isoforms.
Product Categories/Family for anti-ANGPT1 antibody
NCBI and Uniprot Product Information
NCBI GI #
NCBI GeneID
NCBI Accession #
NCBI GenBank Nucleotide #
Molecular Weight
57,456 Da
NCBI Official Full Name
angiopoietin-1 isoform 1
NCBI Official Synonym Full Names
angiopoietin 1
NCBI Official Symbol
ANGPT1
NCBI Official Synonym Symbols
AGP1; AGPT; ANG1
NCBI Protein Information
angiopoietin-1
UniProt Protein Name
Angiopoietin-1
UniProt Gene Name
ANGPT1
UniProt Synonym Gene Names
KIAA0003; ANG-1
UniProt Entry Name
ANGP1_HUMAN
Customer Reviews
Loading reviews...
Share Your Experience
Similar Products
Product Notes
The ANGPT1 angpt1 (Catalog #AAA301673) is an Antibody produced from Rabbit and is intended for research purposes only. The product is available for immediate purchase. The ANGPT1 Antibody reacts with Human and may cross-react with other species as described in the data sheet. AAA Biotech's ANGPT1 can be used in a range of immunoassay formats including, but not limited to, IHC (Immunohistochemistry). Researchers should empirically determine the suitability of the ANGPT1 angpt1 for an application not listed in the data sheet. Researchers commonly develop new applications and it is an integral, important part of the investigative research process. It is sometimes possible for the material contained within the vial of "ANGPT1, Polyclonal Antibody" to become dispersed throughout the inside of the vial, particularly around the seal of said vial, during shipment and storage. We always suggest centrifuging these vials to consolidate all of the liquid away from the lid and to the bottom of the vial prior to opening. Please be advised that certain products may require dry ice for shipping and that, if this is the case, an additional dry ice fee may also be required.Precautions
All products in the AAA Biotech catalog are strictly for research-use only, and are absolutely not suitable for use in any sort of medical, therapeutic, prophylactic, in-vivo, or diagnostic capacity. By purchasing a product from AAA Biotech, you are explicitly certifying that said products will be properly tested and used in line with industry standard. AAA Biotech and its authorized distribution partners reserve the right to refuse to fulfill any order if we have any indication that a purchaser may be intending to use a product outside of our accepted criteria.Disclaimer
Though we do strive to guarantee the information represented in this datasheet, AAA Biotech cannot be held responsible for any oversights or imprecisions. AAA Biotech reserves the right to adjust any aspect of this datasheet at any time and without notice. It is the responsibility of the customer to inform AAA Biotech of any product performance issues observed or experienced within 30 days of receipt of said product. To see additional details on this or any of our other policies, please see our Terms & Conditions page.Item has been added to Shopping Cart
If you are ready to order, navigate to Shopping Cart and get ready to checkout.
