Rabbit ANGPTL2 Polyclonal Antibody | anti-ANGPTL2 antibody
Anti-ANGPTL2 Antibody
Each vial contains 5mg BSA, 0.9mg NaCl, 0.2mg Na2HPO4, 0.05mg NaN3.
IHC (Immunohistochemistry)
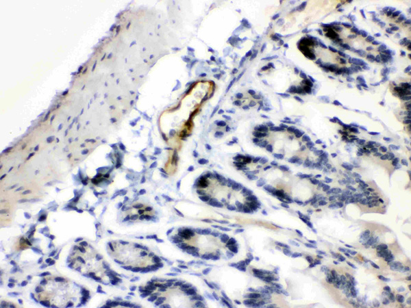
(ANGPTL2 was detected in paraffin-embedded sections of human intetsinal cancer tissues using rabbit anti- ANGPTL2 Antigen Affinity purified polyclonal antibody at 1ug/mL. The immunohistochemical section was developed using SABC method.)
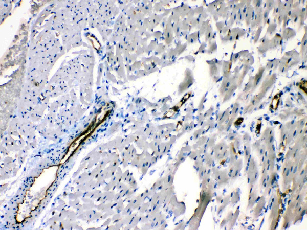
IHC (Immunohistochemistry)
(ANGPTL2 was detected in paraffin-embedded sections of rat cardiac muscle tissues using rabbit anti- ANGPTL2 Antigen Affinity purified polyclonal antibody at 1ug/mL. The immunohistochemical section was developed using SABC method.)
IHC (Immunohistochemisry)
(ANGPTL2 was detected in paraffin-embedded sections of rat intestine tissues using rabbit anti- ANGPTL2 Antigen Affinity purified polyclonal antibody at 1ug/mL. The immunohistochemical section was developed using SABC method.)
IHC (Immunohiostchemistry)
(ANGPTL2 was detected in paraffin-embedded sections of mouse intestine tissues using rabbit anti- ANGPTL2 Antigen Affinity purified polyclonal antibody at 1ug/mL. The immunohistochemical section was developed using SABC method.)
WB (Western Blot)
(Western blot analysis of ANGPTL2 expression in rat stomach extract (lane 1) and mouse ovary extract (lane 2). ANGPTL2 at 57KD was detected using rabbit anti- ANGPTL2 Antigen Affinity purified polyclonal antibody at 0.5ug/mL. The blot was developed using chemiluminescence (ECL) method.)
Background: Angiopoietin-related protein 2, also known as angiopoietin-like protein 2, is a protein that in humans is encoded by the ANGPTL2 gene. Angiopoietins are members of the vascular endothelial growth factor family and the only known growth factors largely specific for vascular endothelium. Angiopoietin-1, angiopoietin-2, and angiopoietin-4 participate in the formation of blood vessels. ANGPTL2 protein is a secreted glycoprotein with homology to the angiopoietins and may exert a function on endothelial cells through autocrine or paracrine action.
2. Kim I, Moon SO, Koh KN, Kim H, Uhm CS, Kwak HJ, Kim NG, Koh GY (Oct 1999). "Molecular cloning, expression, and characterization of angiopoietin-related protein. angiopoietin-related protein induces endothelial cell sprouting". J Biol Chem. 274 (37): 26523-8.
3. Sun H, Zheng JM, Chen S, et al. (2007). "Enhanced expression of ANGPTL2 in the microvascular lesions of diabetic glomerulopathy". Nephron Exp. Nephrol.105 (4): e117-23.
NCBI and Uniprot Product Information
Customer Reviews
Loading reviews...
Share Your Experience
Similar Products
Product Notes
The ANGPTL2 angptl2 (Catalog #AAA46753) is an Antibody produced from Rabbit and is intended for research purposes only. The product is available for immediate purchase. The Anti-ANGPTL2 Antibody reacts with Human, Mouse, Rat and may cross-react with other species as described in the data sheet. AAA Biotech's ANGPTL2 can be used in a range of immunoassay formats including, but not limited to, IHC (Immunohistochemistry), WB (Western Blot). Researchers should empirically determine the suitability of the ANGPTL2 angptl2 for an application not listed in the data sheet. Researchers commonly develop new applications and it is an integral, important part of the investigative research process. It is sometimes possible for the material contained within the vial of "ANGPTL2, Polyclonal Antibody" to become dispersed throughout the inside of the vial, particularly around the seal of said vial, during shipment and storage. We always suggest centrifuging these vials to consolidate all of the liquid away from the lid and to the bottom of the vial prior to opening. Please be advised that certain products may require dry ice for shipping and that, if this is the case, an additional dry ice fee may also be required.Precautions
All products in the AAA Biotech catalog are strictly for research-use only, and are absolutely not suitable for use in any sort of medical, therapeutic, prophylactic, in-vivo, or diagnostic capacity. By purchasing a product from AAA Biotech, you are explicitly certifying that said products will be properly tested and used in line with industry standard. AAA Biotech and its authorized distribution partners reserve the right to refuse to fulfill any order if we have any indication that a purchaser may be intending to use a product outside of our accepted criteria.Disclaimer
Though we do strive to guarantee the information represented in this datasheet, AAA Biotech cannot be held responsible for any oversights or imprecisions. AAA Biotech reserves the right to adjust any aspect of this datasheet at any time and without notice. It is the responsibility of the customer to inform AAA Biotech of any product performance issues observed or experienced within 30 days of receipt of said product. To see additional details on this or any of our other policies, please see our Terms & Conditions page.Item has been added to Shopping Cart
If you are ready to order, navigate to Shopping Cart and get ready to checkout.
