Rabbit Anterior Gradient 2 Polyclonal Antibody | anti-AGR2 antibody
Anti-Anterior Gradient 2 Antibody
Each vial contains 5mg BSA, 0.9mg NaCl, 0.2mg Na2HPO4, 0.05mg NaN3.
By Heat: Boiling the paraffin sections in 10mM citrate buffer, pH6.0, for 20mins is required for the staining of formalin/paraffin sections.
Other applications have not been tested.
IHC (Immunohistochemistry)
(Anterior Gradient 2 was detected in paraffin-embedded sections of human lung cancer tissues using rabbit anti- Anterior Gradient 2 Antigen Affinity purified polyclonal antibody at 1ug/mL. The immunohistochemical section was developed using SABC method.)
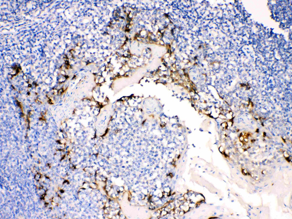
IHC (Immunohistochemistry)
(Anterior Gradient 2 was detected in paraffin-embedded sections of human tonsil tissues using rabbit anti- Anterior Gradient 2 Antigen Affinity purified polyclonal antibody at 1ug/mL. The immunohistochemical section was developed using SABC method.)
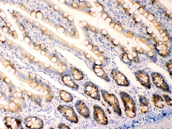
IHC (Immunohistochemisry)
(Anterior Gradient 2 was detected in paraffin-embedded sections of rat intestine tissues using rabbit anti- Anterior Gradient 2 Antigen Affinity purified polyclonal antibody at 1ug/mL. The immunohistochemical section was developed using SABC method.)
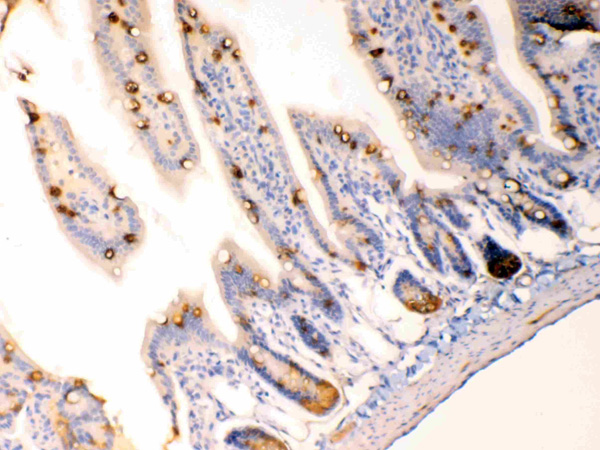
IHC (Immunohiostchemistry)
(Anterior Gradient 2 was detected in paraffin-embedded sections of mouse intestine tissues using rabbit anti- Anterior Gradient 2 Antigen Affinity purified polyclonal antibody at 1ug/mL. The immunohistochemical section was developed using SABC method.)
WB (Western Blot)
(Western blot analysis of Anterior Gradient 2 expression in rat lung extract (lane 1), mouse liver extract (lane 2) and MCF-7 whole cell lysates (lane 3). Anterior Gradient 2 at 20KD was detected using rabbit anti- Anterior Gradient 2 Antigen Affinity purified polyclonal antibody at 0.5ug/mL. The blot was developed using chemiluminescence (ECL) method.)
Background: Anterior gradient protein 2 homolog (AGR-2), also known as secreted cement gland protein XAG-2 homolog, is a protein that in humans is encoded by the AGR2 gene. Anterior gradient homolog 2 was originally discovered in Xenopus laevis. In Xenopus AGR2 plays a role in cement gland differentiation, but in human cancer cell lines high levels of AGR2 correlate with downregulation of the p53 response, cell migration, and cell transformation. However, there have been other observations that AGR2 can repress growth and proliferation.
2. Bu H, Bormann S, Schäfer G, Horninger W, Massoner P, Neeb A, Lakshmanan VK, Maddalo D, Nestl A, Sültmann H, Cato AC, Klocker H (May 2011). "The anterior gradient 2 (AGR2) gene is overexpressed in prostate cancer and may be useful as a urine sediment marker for prostate cancer detection". Prostate. 71 (6): 575-87.
3. Vanderlaag KE, Hudak S, Bald L, Fayadat-Dilman L, Sathe M, Grein J, Janatpour MJ (2010). "Anterior gradient-2 plays a critical role in breast cancer cell growth and survival by modulating cyclin D1, estrogen receptor-alpha and survivin". Breast Cancer Res. 12 (3): R32.
NCBI and Uniprot Product Information
Customer Reviews
Loading reviews...
Share Your Experience
Similar Products
Product Notes
The AGR2 agr2 (Catalog #AAA46745) is an Antibody produced from Rabbit and is intended for research purposes only. The product is available for immediate purchase. The Anti-Anterior Gradient 2 Antibody reacts with Human, Mouse, Rat and may cross-react with other species as described in the data sheet. AAA Biotech's Anterior Gradient 2 can be used in a range of immunoassay formats including, but not limited to, IHC (Immunohistochemistry), WB (Western Blot). Researchers should empirically determine the suitability of the AGR2 agr2 for an application not listed in the data sheet. Researchers commonly develop new applications and it is an integral, important part of the investigative research process. It is sometimes possible for the material contained within the vial of "Anterior Gradient 2, Polyclonal Antibody" to become dispersed throughout the inside of the vial, particularly around the seal of said vial, during shipment and storage. We always suggest centrifuging these vials to consolidate all of the liquid away from the lid and to the bottom of the vial prior to opening. Please be advised that certain products may require dry ice for shipping and that, if this is the case, an additional dry ice fee may also be required.Precautions
All products in the AAA Biotech catalog are strictly for research-use only, and are absolutely not suitable for use in any sort of medical, therapeutic, prophylactic, in-vivo, or diagnostic capacity. By purchasing a product from AAA Biotech, you are explicitly certifying that said products will be properly tested and used in line with industry standard. AAA Biotech and its authorized distribution partners reserve the right to refuse to fulfill any order if we have any indication that a purchaser may be intending to use a product outside of our accepted criteria.Disclaimer
Though we do strive to guarantee the information represented in this datasheet, AAA Biotech cannot be held responsible for any oversights or imprecisions. AAA Biotech reserves the right to adjust any aspect of this datasheet at any time and without notice. It is the responsibility of the customer to inform AAA Biotech of any product performance issues observed or experienced within 30 days of receipt of said product. To see additional details on this or any of our other policies, please see our Terms & Conditions page.Item has been added to Shopping Cart
If you are ready to order, navigate to Shopping Cart and get ready to checkout.
