Rabbit anti-Human Antileukoproteinase Polyclonal Antibody | anti-SLPI antibody
Antileukoproteinase Polyclonal Antibody
Gene Names
SLPI; ALP; MPI; ALK1; BLPI; HUSI; WAP4; WFDC4; HUSI-I
Reactivity
Human
Applications
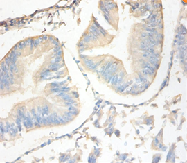
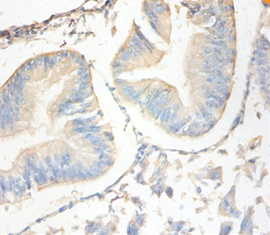
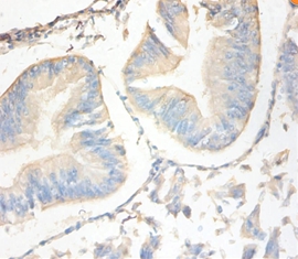
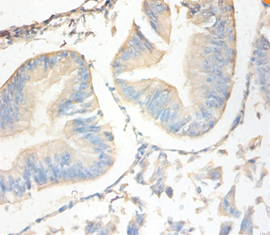
Immunohistochemistry
Purity
Caprylic Acid Ammonium Sulfate Precipitation purified
Synonyms
Antileukoproteinase, Antibody; Antileukoproteinase Polyclonal Antibody; SLPI; anti-SLPI antibody
Host
Rabbit
Reactivity
Human
Clonality
Polyclonal
Specificity
The antibody detects endogenous level of total Antileukoproteinase polyclonal antibody.
Purity/Purification
Caprylic Acid Ammonium Sulfate Precipitation purified
Form/Format
Preservative: 0.03% Proclin 300 Constituents: 50% Glycerol, 0.01M PBS, PH 7.4
Concentration
1.0 mg/ml (varies by lot)
Sequence Length
132
Applicable Applications for anti-SLPI antibody
IHC (Immunohistochemistry)
Immunogen
Recombinant Human Antileukoproteinase protein
Immunogen Type
Protein
Preparation and Storage
Store at -20 degree C
Related Product Information for anti-SLPI antibody
Acid-stable proteinase inhibitor with strong affinities for trypsin, chymotrypsin, elastase, and cathepsin G. May prevent elastase-mediated damage to oral and possibly other mucosal tissues.
Product Categories/Family for anti-SLPI antibody
NCBI and Uniprot Product Information
NCBI GI #
NCBI GeneID
NCBI Accession #
NCBI GenBank Nucleotide #
Molecular Weight
14,326 Da
NCBI Official Full Name
antileukoproteinase
NCBI Official Synonym Full Names
secretory leukocyte peptidase inhibitor
NCBI Official Symbol
SLPI
NCBI Official Synonym Symbols
ALP; MPI; ALK1; BLPI; HUSI; WAP4; WFDC4; HUSI-I
NCBI Protein Information
antileukoproteinase
UniProt Protein Name
Antileukoproteinase
UniProt Gene Name
SLPI
UniProt Synonym Gene Names
WAP4; WFDC4; MPI
UniProt Entry Name
SLPI_HUMAN
Customer Reviews
Loading reviews...
Share Your Experience
Similar Products
Product Notes
The SLPI slpi (Catalog #AAA308892) is an Antibody produced from Rabbit and is intended for research purposes only. The product is available for immediate purchase. The Antileukoproteinase Polyclonal Antibody reacts with Human and may cross-react with other species as described in the data sheet. AAA Biotech's Antileukoproteinase can be used in a range of immunoassay formats including, but not limited to, IHC (Immunohistochemistry). Researchers should empirically determine the suitability of the SLPI slpi for an application not listed in the data sheet. Researchers commonly develop new applications and it is an integral, important part of the investigative research process. It is sometimes possible for the material contained within the vial of "Antileukoproteinase, Polyclonal Antibody" to become dispersed throughout the inside of the vial, particularly around the seal of said vial, during shipment and storage. We always suggest centrifuging these vials to consolidate all of the liquid away from the lid and to the bottom of the vial prior to opening. Please be advised that certain products may require dry ice for shipping and that, if this is the case, an additional dry ice fee may also be required.Precautions
All products in the AAA Biotech catalog are strictly for research-use only, and are absolutely not suitable for use in any sort of medical, therapeutic, prophylactic, in-vivo, or diagnostic capacity. By purchasing a product from AAA Biotech, you are explicitly certifying that said products will be properly tested and used in line with industry standard. AAA Biotech and its authorized distribution partners reserve the right to refuse to fulfill any order if we have any indication that a purchaser may be intending to use a product outside of our accepted criteria.Disclaimer
Though we do strive to guarantee the information represented in this datasheet, AAA Biotech cannot be held responsible for any oversights or imprecisions. AAA Biotech reserves the right to adjust any aspect of this datasheet at any time and without notice. It is the responsibility of the customer to inform AAA Biotech of any product performance issues observed or experienced within 30 days of receipt of said product. To see additional details on this or any of our other policies, please see our Terms & Conditions page.Item has been added to Shopping Cart
If you are ready to order, navigate to Shopping Cart and get ready to checkout.
