Rabbit anti-Human APCDD1 Polyclonal Antibody | anti-APCDD1 antibody
APCDD1 Antibody
Gene Names
APCDD1; HHS; HTS; B7323; HYPT1; DRAPC1; FP7019
Reactivity
Human
Applications
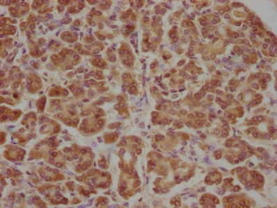
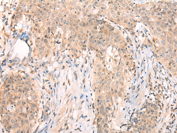
Immunohistochemistry
Purity
Antigen Affinity Purification
Synonyms
APCDD1, Antibody; APCDD1 Antibody; HHS; HTS; B7323; HYPT1; DRAPC1; FP7019; anti-APCDD1 antibody
Host
Rabbit
Reactivity
Human
Clonality
Polyclonal
Specificity
The antibody detects endogenous levels of total APCDD1 protein.
Purity/Purification
Antigen Affinity Purification
Form/Format
Rabbit IgG in pH7.4 PBS, 0.05% NaN3, 40% Glycerol.
Concentration
1.2 mg/ml (varies by lot)
Sequence Length
514
Applicable Applications for anti-APCDD1 antibody
IHC (Immunohistochemistry)
Immunogen
Synthetic peptide of human APCDD1
Immunogen Type
Peptide
Preparation and Storage
Store at -20 degree C
Related Product Information for anti-APCDD1 antibody
This locus encodes an inhibitor of the Wnt signaling pathway.Mutations at this locus have been associated with hereditary hypotrichosis simplex. Increased expression of this gene may also be associated with colorectal carcinogenesis.
Product Categories/Family for anti-APCDD1 antibody
NCBI and Uniprot Product Information
NCBI GI #
NCBI GeneID
NCBI Accession #
NCBI GenBank Nucleotide #
Molecular Weight
58,797 Da
NCBI Official Full Name
protein APCDD1
NCBI Official Synonym Full Names
adenomatosis polyposis coli down-regulated 1
NCBI Official Symbol
APCDD1
NCBI Official Synonym Symbols
HHS; HTS; B7323; HYPT1; DRAPC1; FP7019
NCBI Protein Information
protein APCDD1
UniProt Protein Name
Protein APCDD1
UniProt Gene Name
APCDD1
UniProt Entry Name
APCD1_HUMAN
Customer Reviews
Loading reviews...
Share Your Experience
Similar Products
Product Notes
The APCDD1 apcdd1 (Catalog #AAA308963) is an Antibody produced from Rabbit and is intended for research purposes only. The product is available for immediate purchase. The APCDD1 Antibody reacts with Human and may cross-react with other species as described in the data sheet. AAA Biotech's APCDD1 can be used in a range of immunoassay formats including, but not limited to, IHC (Immunohistochemistry). Researchers should empirically determine the suitability of the APCDD1 apcdd1 for an application not listed in the data sheet. Researchers commonly develop new applications and it is an integral, important part of the investigative research process. It is sometimes possible for the material contained within the vial of "APCDD1, Polyclonal Antibody" to become dispersed throughout the inside of the vial, particularly around the seal of said vial, during shipment and storage. We always suggest centrifuging these vials to consolidate all of the liquid away from the lid and to the bottom of the vial prior to opening. Please be advised that certain products may require dry ice for shipping and that, if this is the case, an additional dry ice fee may also be required.Precautions
All products in the AAA Biotech catalog are strictly for research-use only, and are absolutely not suitable for use in any sort of medical, therapeutic, prophylactic, in-vivo, or diagnostic capacity. By purchasing a product from AAA Biotech, you are explicitly certifying that said products will be properly tested and used in line with industry standard. AAA Biotech and its authorized distribution partners reserve the right to refuse to fulfill any order if we have any indication that a purchaser may be intending to use a product outside of our accepted criteria.Disclaimer
Though we do strive to guarantee the information represented in this datasheet, AAA Biotech cannot be held responsible for any oversights or imprecisions. AAA Biotech reserves the right to adjust any aspect of this datasheet at any time and without notice. It is the responsibility of the customer to inform AAA Biotech of any product performance issues observed or experienced within 30 days of receipt of said product. To see additional details on this or any of our other policies, please see our Terms & Conditions page.Item has been added to Shopping Cart
If you are ready to order, navigate to Shopping Cart and get ready to checkout.
