Rabbit APLNR Polyclonal Antibody | anti-APLNR antibody
APLNR Polyclonal Antibody
Gene Names
APLNR; APJ; APJR; HG11; AGTRL1
Reactivity
Human, Mouse, Rat
Applications
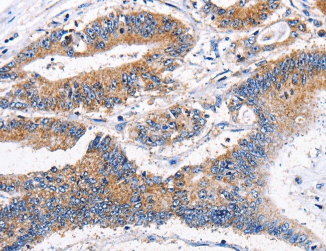
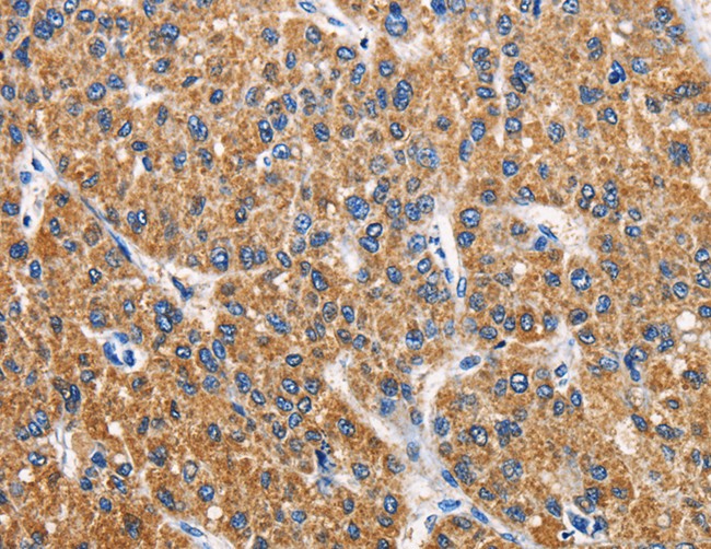
Immunohistochemistry, ELISA
Purity
Antigen affinity purification
Synonyms
APLNR, Antibody; APLNR Polyclonal Antibody; APJ; APJR; HG11; AGTRL1; anti-APLNR antibody
Host
Rabbit
Reactivity
Human, Mouse, Rat
Clonality
Polyclonal
Isotype
IgG
Purity/Purification
Antigen affinity purification
Concentration
1.8mg/mL (varies by lot)
Sequence Length
380
Applicable Applications for anti-APLNR antibody
IHC (Immunohistochemistry), ELISA
Immunogen
Recombinant protein of human APLNR
Buffer
PBS with 0.05% sodium azide, 50% glycerol, pH7.3
Preparation and Storage
Store at -20 degree C (regular) and -80 degree C (long term). Avoid freeze / thaw cycles.
Related Product Information for anti-APLNR antibody
This gene encodes a member of the G protein-coupled receptor gene family. The encoded protein is related to the angiotensin receptor, but is actually an apelin receptor that inhibits adenylate cyclase activity and plays a counter-regulatory role against the pressure action of angiotensin II by exerting hypertensive effect. It functions in the cardiovascular and central nervous systems, in glucose metabolism, in embryonic and tumor angiogenesis and as a human immunodeficiency virus (HIV-1) coreceptor. Two transcript variants resulting from alternative splicing have been identified.
NCBI and Uniprot Product Information
NCBI GI #
NCBI GeneID
Molecular Weight
42,660 Da
NCBI Official Full Name
APLNR protein
NCBI Official Synonym Full Names
apelin receptor
NCBI Official Symbol
APLNR
NCBI Official Synonym Symbols
APJ; APJR; HG11; AGTRL1
NCBI Protein Information
apelin receptor; APJ (apelin) receptor; APJ receptor; G protein-coupled receptor APJ; G-protein coupled receptor APJ; G-protein coupled receptor HG11; HG11 orphan receptor; angiotensin II receptor-like 1; angiotensin receptor-like 1
UniProt Protein Name
Apelin receptor
UniProt Gene Name
APLNR
UniProt Synonym Gene Names
AGTRL1; APJ
UniProt Entry Name
APJ_HUMAN
Similar Products
Product Notes
The APLNR aplnr (Catalog #AAA169318) is an Antibody produced from Rabbit and is intended for research purposes only. The product is available for immediate purchase. The APLNR Polyclonal Antibody reacts with Human, Mouse, Rat and may cross-react with other species as described in the data sheet. AAA Biotech's APLNR can be used in a range of immunoassay formats including, but not limited to, IHC (Immunohistochemistry), ELISA. Researchers should empirically determine the suitability of the APLNR aplnr for an application not listed in the data sheet. Researchers commonly develop new applications and it is an integral, important part of the investigative research process. It is sometimes possible for the material contained within the vial of "APLNR, Polyclonal Antibody" to become dispersed throughout the inside of the vial, particularly around the seal of said vial, during shipment and storage. We always suggest centrifuging these vials to consolidate all of the liquid away from the lid and to the bottom of the vial prior to opening. Please be advised that certain products may require dry ice for shipping and that, if this is the case, an additional dry ice fee may also be required.Precautions
All products in the AAA Biotech catalog are strictly for research-use only, and are absolutely not suitable for use in any sort of medical, therapeutic, prophylactic, in-vivo, or diagnostic capacity. By purchasing a product from AAA Biotech, you are explicitly certifying that said products will be properly tested and used in line with industry standard. AAA Biotech and its authorized distribution partners reserve the right to refuse to fulfill any order if we have any indication that a purchaser may be intending to use a product outside of our accepted criteria.Disclaimer
Though we do strive to guarantee the information represented in this datasheet, AAA Biotech cannot be held responsible for any oversights or imprecisions. AAA Biotech reserves the right to adjust any aspect of this datasheet at any time and without notice. It is the responsibility of the customer to inform AAA Biotech of any product performance issues observed or experienced within 30 days of receipt of said product. To see additional details on this or any of our other policies, please see our Terms & Conditions page.Item has been added to Shopping Cart
If you are ready to order, navigate to Shopping Cart and get ready to checkout.
