Rabbit APLP1 Polyclonal Antibody | anti-APLP1 antibody
APLP1 Antibody
Phosphate buffered saline, pH 7.4, 150mM NaCl, 0.02% sodium azide and 50% glycerol.
WB (Western Blot)
(Western blot analysis of extracts of Mouse brain, using APLP1 antibody. The lane on the left is treated with the antigen-specific peptide.)
IHC (Immunohistochemistry)
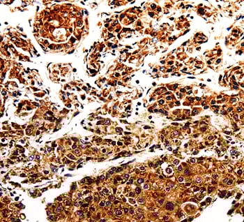
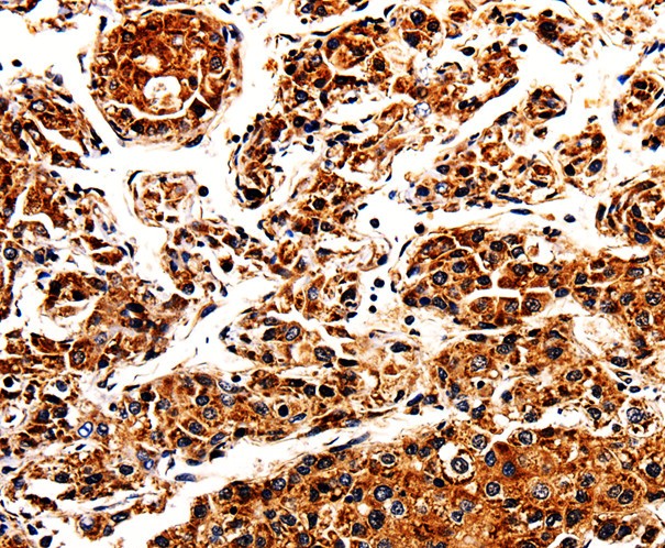
(AAA326796 at 1/100 staining Human liver cancer tissue by IHC-P. The sample was formaldehyde fixed and a heat mediated antigen retrieval step in citrate buffer was performed. The sample was then blocked and incubated with the antibody for 1.5 hours at 22 degree C. An HRP conjugated goat anti-rabbit antibody was used as the secondary.)
Function: May play a role in postsynaptic function. The C-terminal gamma-secretase processed fragment, ALID1, activates transcription activation through APBB1 (Fe65) binding (By similarity). Couples to JIP signal transduction through C-terminal binding. May interact with cellular G-protein signaling pathways. Can regulate neurite outgrowth through binding to components of the extracellular matrix such as heparin and collagen I.
Subunit Structure: Monomer and homodimer. Heparin binding promotes homodimerization. Binds, via its C-terminus, to the PID domain of several cytoplasmic proteins, including APBB and APBA family members, MAPK8IP1 and Dab1 (By similarity). Binding to Dab1 inhibits its serine phosphorylation (By similarity). Interacts with CPEB1. Interacts (via NPXY motif) with DAB2 (via PID domain); the interaction is impaired by tyrosine phosphorylation of the NPXY motif. Interacts (via NPXY motif) with DAB1 (By similarity).
Post-translational Modifications: Proteolytically cleaved by caspases during neuronal apoptosis. Cleaved, in vitro, at Asp-620 by caspase-3 (By similarity). N-and O-glycosylated. O-glycosylation with core 1 or possibly core 8 glycans. Glycosylation on Ser-227 is the preferred site to Thr-228.
Similarity: The NPXY sequence motif found in many tyrosine-phosphorylated proteins is required for the specific binding of the PID domain. However, additional amino acids either N-or C-terminal to the NPXY motif are often required for complete interaction. The NPXY site is also involved in clathrin-mediated endocytosis. Belongs to the APP family.
NCBI and Uniprot Product Information
Predicted: 73 kDa
Customer Reviews
Loading reviews...
Share Your Experience
Similar Products
Product Notes
The APLP1 aplp1 (Catalog #AAA326796) is an Antibody produced from Rabbit and is intended for research purposes only. The product is available for immediate purchase. The APLP1 Antibody reacts with Human, Mouse, Rat and may cross-react with other species as described in the data sheet. AAA Biotech's APLP1 can be used in a range of immunoassay formats including, but not limited to, ELISA, IHC (Immunohistochemistry), WB (Western Blot). Researchers should empirically determine the suitability of the APLP1 aplp1 for an application not listed in the data sheet. Researchers commonly develop new applications and it is an integral, important part of the investigative research process. It is sometimes possible for the material contained within the vial of "APLP1, Polyclonal Antibody" to become dispersed throughout the inside of the vial, particularly around the seal of said vial, during shipment and storage. We always suggest centrifuging these vials to consolidate all of the liquid away from the lid and to the bottom of the vial prior to opening. Please be advised that certain products may require dry ice for shipping and that, if this is the case, an additional dry ice fee may also be required.Precautions
All products in the AAA Biotech catalog are strictly for research-use only, and are absolutely not suitable for use in any sort of medical, therapeutic, prophylactic, in-vivo, or diagnostic capacity. By purchasing a product from AAA Biotech, you are explicitly certifying that said products will be properly tested and used in line with industry standard. AAA Biotech and its authorized distribution partners reserve the right to refuse to fulfill any order if we have any indication that a purchaser may be intending to use a product outside of our accepted criteria.Disclaimer
Though we do strive to guarantee the information represented in this datasheet, AAA Biotech cannot be held responsible for any oversights or imprecisions. AAA Biotech reserves the right to adjust any aspect of this datasheet at any time and without notice. It is the responsibility of the customer to inform AAA Biotech of any product performance issues observed or experienced within 30 days of receipt of said product. To see additional details on this or any of our other policies, please see our Terms & Conditions page.Item has been added to Shopping Cart
If you are ready to order, navigate to Shopping Cart and get ready to checkout.
