Rabbit anti-Human Apoptosis Associated Tyrosine Kinase Polyclonal Antibody | anti-AATK antibody
Polyclonal Antibody to Apoptosis Associated Tyrosine Kinase (AATK)
Gene Names
AATK; LMR1; AATYK; LMTK1; p35BP; AATYK1; PPP1R77
Reactivity
Human
Applications
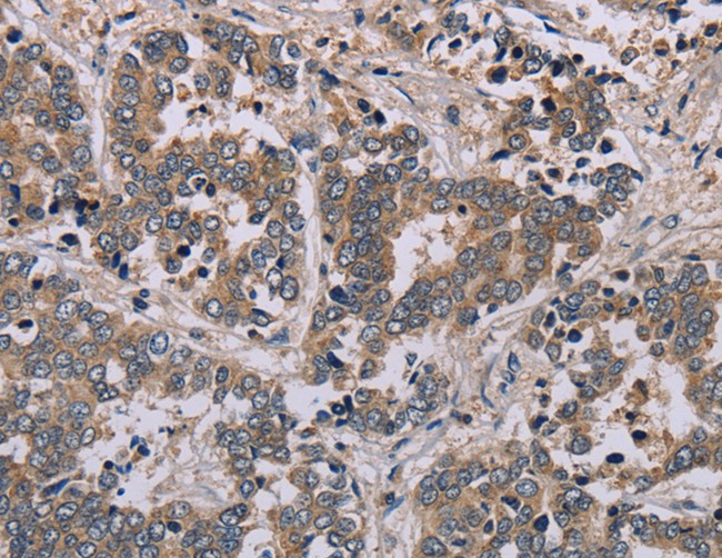
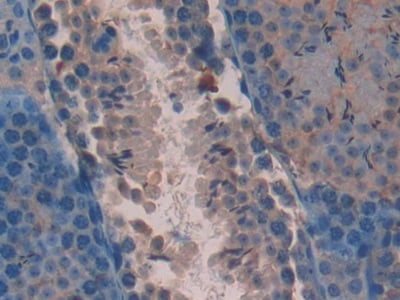
ELISA, Immunohistochemistry, Immunocytochemistry, Western Blot
Purity
Affinity Chromatography
Synonyms
Apoptosis Associated Tyrosine Kinase, Antibody; Polyclonal Antibody to Apoptosis Associated Tyrosine Kinase (AATK); anti-AATK antibody
Host
Rabbit
Reactivity
Human
Clonality
Polyclonal
Specificity
The antibody is a rabbit polyclonal antibody raised against AATK. It has beenselected for its ability to recognize AATK in immunohistochemical staining andwestern blotting.
Purity/Purification
Affinity Chromatography
Form/Format
Liquid
Concentration
500ug/mL (varies by lot)
Sequence
Antigen: The target protein is fused with two N-terminal Tags, His-tag and T7-tag and its sequence is listed below.
MGSSHHHHHH SSGLVPRGSH MASMTGGQQM GRGSEF- LLSET FCEDLERKKK AVSFFDDVTV YLFDQESPTR ELGEPFPGAK ESPPTFLRGS PGSPSAPNRP QQADGSPNGS TAEEGGGFAW DDDFPLMTAK AAFAMALDPA APAPAAPTPT PAPFSRFTVS PAPTSRFSIT
MGSSHHHHHH SSGLVPRGSH MASMTGGQQM GRGSEF- LLSET FCEDLERKKK AVSFFDDVTV YLFDQESPTR ELGEPFPGAK ESPPTFLRGS PGSPSAPNRP QQADGSPNGS TAEEGGGFAW DDDFPLMTAK AAFAMALDPA APAPAAPTPT PAPFSRFTVS PAPTSRFSIT
Applicable Applications for anti-AATK antibody
ELISA, IHC (Immunohistochemistry), ICC (Immunocytochemistry), WB (Western Blot)
Fragment
AATK (Leu1216~Ala1374)
Organism Species
Homo sapiens (Human)
Cross Reactivity
Human, Mouse, Rat, Pig
Conjugate
No Conjugate
Immunogen
Recombinant AATK (Leu1216~Ala1374) expressed in E Coli.
Conjugated Antibody
The APC conjugated antibody version of this item is also available as
Preparation and Storage
Store at 4 degree C for frequent use. Stored at -20 degree C to -80 degree C in a manual defrost freezer for one year without detectable loss of activity. Avoid repeated freeze-thaw cycles.
WB (Western Blot)
(Western Blot: Sample: Lane1: Mouse Brain Tissue; Lane2: Rat Brain Tissue; Lane3: Porcine Brain Tissue.)
NCBI and Uniprot Product Information
NCBI GI #
NCBI GeneID
NCBI Accession #
NCBI GenBank Nucleotide #
Molecular Weight
93,226 Da
NCBI Official Full Name
serine/threonine-protein kinase LMTK1 isoform 1
NCBI Official Synonym Full Names
apoptosis associated tyrosine kinase
NCBI Official Symbol
AATK
NCBI Official Synonym Symbols
LMR1; AATYK; LMTK1; p35BP; AATYK1; PPP1R77
NCBI Protein Information
serine/threonine-protein kinase LMTK1
UniProt Protein Name
Serine/threonine-protein kinase LMTK1
UniProt Gene Name
AATK
UniProt Synonym Gene Names
AATYK; KIAA0641; LMR1; LMTK1; AATYK; p35BP
Similar Products
Product Notes
The AATK aatk (Catalog #AAA143310) is an Antibody produced from Rabbit and is intended for research purposes only. The product is available for immediate purchase. The Polyclonal Antibody to Apoptosis Associated Tyrosine Kinase (AATK) reacts with Human and may cross-react with other species as described in the data sheet. AAA Biotech's Apoptosis Associated Tyrosine Kinase can be used in a range of immunoassay formats including, but not limited to, ELISA, IHC (Immunohistochemistry), ICC (Immunocytochemistry), WB (Western Blot). Researchers should empirically determine the suitability of the AATK aatk for an application not listed in the data sheet. Researchers commonly develop new applications and it is an integral, important part of the investigative research process. The amino acid sequence is listed below: Antigen: The target protein is fused with two N-terminal Tags, His-tag and T7-tag and its sequence is listed below. MGSSHHHHHH SSGLVPRGSH MASMTGGQQM GRGSEF- LLSET FCEDLERKKK AVSFFDDVTV YLFDQESPTR ELGEPFPGAK ESPPTFLRGS PGSPSAPNRP QQADGSPNGS TAEEGGGFAW DDDFPLMTAK AAFAMALDPA APAPAAPTPT PAPFSRFTVS PAPTSRFSIT. It is sometimes possible for the material contained within the vial of "Apoptosis Associated Tyrosine Kinase, Polyclonal Antibody" to become dispersed throughout the inside of the vial, particularly around the seal of said vial, during shipment and storage. We always suggest centrifuging these vials to consolidate all of the liquid away from the lid and to the bottom of the vial prior to opening. Please be advised that certain products may require dry ice for shipping and that, if this is the case, an additional dry ice fee may also be required.Precautions
All products in the AAA Biotech catalog are strictly for research-use only, and are absolutely not suitable for use in any sort of medical, therapeutic, prophylactic, in-vivo, or diagnostic capacity. By purchasing a product from AAA Biotech, you are explicitly certifying that said products will be properly tested and used in line with industry standard. AAA Biotech and its authorized distribution partners reserve the right to refuse to fulfill any order if we have any indication that a purchaser may be intending to use a product outside of our accepted criteria.Disclaimer
Though we do strive to guarantee the information represented in this datasheet, AAA Biotech cannot be held responsible for any oversights or imprecisions. AAA Biotech reserves the right to adjust any aspect of this datasheet at any time and without notice. It is the responsibility of the customer to inform AAA Biotech of any product performance issues observed or experienced within 30 days of receipt of said product. To see additional details on this or any of our other policies, please see our Terms & Conditions page.Item has been added to Shopping Cart
If you are ready to order, navigate to Shopping Cart and get ready to checkout.
