Rabbit AQP2 Polyclonal Antibody | anti-AQP2 antibody
AQP2 Polyclonal Antibody
Gene Names
AQP2; AQP-CD; WCH-CD
Reactivity
Human, Mouse, Rat
Applications
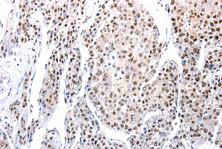
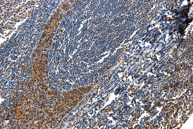
Immunohistochemistry, ELISA
Purity
Antigen affinity purification
Synonyms
AQP2, Antibody; AQP2 Polyclonal Antibody; anti-AQP2 antibody
Host
Rabbit
Reactivity
Human, Mouse, Rat
Clonality
Polyclonal
Isotype
IgG
Purity/Purification
Antigen affinity purification
Concentration
2.5mg/mL (varies by lot)
Sequence Length
271
Applicable Applications for anti-AQP2 antibody
IHC (Immunohistochemistry), ELISA
Immunogen
Synthetic peptide of human AQP2
Buffer
PBS with 0.05% sodium azide, 50% glycerol, pH7.3
Preparation and Storage
Store at -20 degree C (regular) and -80 degree C (long term). Avoid freeze / thaw cycles.
Related Product Information for anti-AQP2 antibody
The basic job of aquaporin 2 is to reabsorb water from the urine while its being removed from the blood by the kidney. Aquaporin 2 is in kidney epithelial cells and usually lies dormant in intracellular vesicle membranes, but when it is needed vasopressin binds to the cell surface vasopressin receptor, activating a signaling pathway that causes the aquaporin 2 containing vesicles to fuse with the plasma membrane so the aquaporin 2 can be used by the cell.
NCBI and Uniprot Product Information
NCBI GI #
NCBI GeneID
NCBI Accession #
NCBI GenBank Nucleotide #
Molecular Weight
28,837 Da
NCBI Official Full Name
aquaporin-2
NCBI Official Synonym Full Names
aquaporin 2 (collecting duct)
NCBI Official Symbol
AQP2
NCBI Official Synonym Symbols
AQP-CD; WCH-CD
NCBI Protein Information
aquaporin-2; ADH water channel; AQP-2; aquaporin-CD; collecting duct water channel protein; water channel protein for renal collecting duct; water-channel aquaporin 2
UniProt Protein Name
Aquaporin-2
UniProt Gene Name
AQP2
UniProt Synonym Gene Names
AQP-2; AQP-CD
UniProt Entry Name
AQP2_HUMAN
Similar Products
Product Notes
The AQP2 aqp2 (Catalog #AAA167123) is an Antibody produced from Rabbit and is intended for research purposes only. The product is available for immediate purchase. The AQP2 Polyclonal Antibody reacts with Human, Mouse, Rat and may cross-react with other species as described in the data sheet. AAA Biotech's AQP2 can be used in a range of immunoassay formats including, but not limited to, IHC (Immunohistochemistry), ELISA. Researchers should empirically determine the suitability of the AQP2 aqp2 for an application not listed in the data sheet. Researchers commonly develop new applications and it is an integral, important part of the investigative research process. It is sometimes possible for the material contained within the vial of "AQP2, Polyclonal Antibody" to become dispersed throughout the inside of the vial, particularly around the seal of said vial, during shipment and storage. We always suggest centrifuging these vials to consolidate all of the liquid away from the lid and to the bottom of the vial prior to opening. Please be advised that certain products may require dry ice for shipping and that, if this is the case, an additional dry ice fee may also be required.Precautions
All products in the AAA Biotech catalog are strictly for research-use only, and are absolutely not suitable for use in any sort of medical, therapeutic, prophylactic, in-vivo, or diagnostic capacity. By purchasing a product from AAA Biotech, you are explicitly certifying that said products will be properly tested and used in line with industry standard. AAA Biotech and its authorized distribution partners reserve the right to refuse to fulfill any order if we have any indication that a purchaser may be intending to use a product outside of our accepted criteria.Disclaimer
Though we do strive to guarantee the information represented in this datasheet, AAA Biotech cannot be held responsible for any oversights or imprecisions. AAA Biotech reserves the right to adjust any aspect of this datasheet at any time and without notice. It is the responsibility of the customer to inform AAA Biotech of any product performance issues observed or experienced within 30 days of receipt of said product. To see additional details on this or any of our other policies, please see our Terms & Conditions page.Item has been added to Shopping Cart
If you are ready to order, navigate to Shopping Cart and get ready to checkout.
