Rabbit AQP3 Polyclonal Antibody | anti-AQP3 antibody
AQP3 Antibody
Gene Names
AQP3; GIL; AQP-3
Applications
Immunocytochemistry, Immunohistochemistry, Western Blot
Purity
Affinity Chromatography
Synonyms
AQP3, Antibody; AQP3 Antibody; Affinity Purified Rabbit Polyclonal AQP3 Antibody; Polyclonal AQP3 antibody; Anti-AQP3 antibody; AQP3; AQP 3; AQP 3 antibody; Aquaporin 3 antibody; AQP-3 antibody; AQP-3; anti-AQP3 antibody
Host
Rabbit
Clonality
Polyclonal
Isotype
IgG
Purity/Purification
Affinity Chromatography
Form/Format
Lyophilized Form
Sequence Length
292
Applicable Applications for anti-AQP3 antibody
ICC (Immunocytochemistry), IHC (Immunohistochemistry), WB (Western Blot)
Immunogen
AQP3 antibody was raised in Rabbit using a synthetic peptide corresponding to a sequence at the C-terminal of human AQP3, different from the related rat and Rabbit sequences by one amino acid, as the immunogen
Preparation and Storage
Store at 4 degree C for short term storage. For long term storage aliquot and store at -20 degree C. Avoid repeated freeze/thaw cycles.
Related Product Information for anti-AQP3 antibody
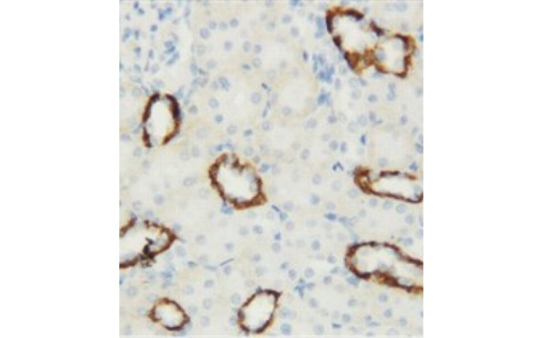
AQP3, Aquaporin 3, is the third member of the major intrinsic protein family from rat kidney. AQP3 is localized at the basal lateral membranes of collecting duct cells in the kidney. AQP3 appears to exist as a single copy and to comprise 6 exons distributed over 7 kb. The AQP3 gene is mapped to 9p21-p12 by fluorescence in situ hybridization. AQP3 works as water-channel. And it facilitates the transport of nonionic small solutes such as urea and glycerol, albeit to a smaller degree. The results suggested that water channels can be functionally heterogeneous and possess water and solute permeation mechanisms.
Product Categories/Family for anti-AQP3 antibody
NCBI and Uniprot Product Information
NCBI GI #
NCBI GeneID
NCBI Accession #
NCBI GenBank Nucleotide #
UniProt Accession #
NCBI Official Full Name
aquaporin-3 isoform 1
NCBI Official Synonym Full Names
aquaporin 3 (Gill blood group)
NCBI Official Symbol
AQP3
NCBI Official Synonym Symbols
GIL; AQP-3
NCBI Protein Information
aquaporin-3
UniProt Protein Name
Aquaporin-3
UniProt Gene Name
AQP3
UniProt Synonym Gene Names
AQP-3
UniProt Entry Name
AQP3_HUMAN
Customer Reviews
Loading reviews...
Share Your Experience
Similar Products
Product Notes
The AQP3 aqp3 (Catalog #AAA225756) is an Antibody produced from Rabbit and is intended for research purposes only. The product is available for immediate purchase. AAA Biotech's AQP3 can be used in a range of immunoassay formats including, but not limited to, ICC (Immunocytochemistry), IHC (Immunohistochemistry), WB (Western Blot). Researchers should empirically determine the suitability of the AQP3 aqp3 for an application not listed in the data sheet. Researchers commonly develop new applications and it is an integral, important part of the investigative research process. It is sometimes possible for the material contained within the vial of "AQP3, Polyclonal Antibody" to become dispersed throughout the inside of the vial, particularly around the seal of said vial, during shipment and storage. We always suggest centrifuging these vials to consolidate all of the liquid away from the lid and to the bottom of the vial prior to opening. Please be advised that certain products may require dry ice for shipping and that, if this is the case, an additional dry ice fee may also be required.Precautions
All products in the AAA Biotech catalog are strictly for research-use only, and are absolutely not suitable for use in any sort of medical, therapeutic, prophylactic, in-vivo, or diagnostic capacity. By purchasing a product from AAA Biotech, you are explicitly certifying that said products will be properly tested and used in line with industry standard. AAA Biotech and its authorized distribution partners reserve the right to refuse to fulfill any order if we have any indication that a purchaser may be intending to use a product outside of our accepted criteria.Disclaimer
Though we do strive to guarantee the information represented in this datasheet, AAA Biotech cannot be held responsible for any oversights or imprecisions. AAA Biotech reserves the right to adjust any aspect of this datasheet at any time and without notice. It is the responsibility of the customer to inform AAA Biotech of any product performance issues observed or experienced within 30 days of receipt of said product. To see additional details on this or any of our other policies, please see our Terms & Conditions page.Item has been added to Shopping Cart
If you are ready to order, navigate to Shopping Cart and get ready to checkout.
