Aquaporin 2 Polyclonal Antibody | anti-AQP2 antibody
Anti-Aquaporin 2 Antibody
IHC (Immunohistochemistry)
(Anti- Aquaporin 2 Picoband antibody, AAA46421, IHC(P)IHC(P): Human Kidney Cancer Tissue)
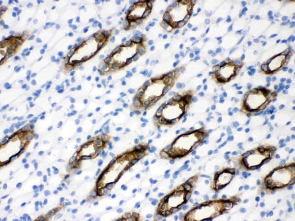
IHC (Immunohistochemisry)
(Anti- Aquaporin 2 Picoband antibody, AAA46421, IHC(P)IHC(P): Rat Kidney Tissue)
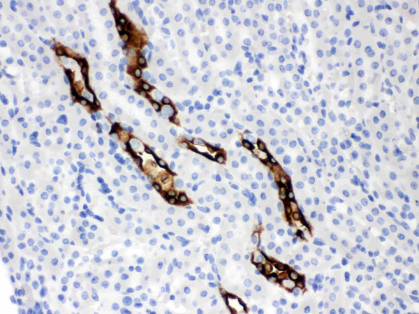
IHC (Immunohiostchemistry)
(Anti- Aquaporin 2 Picoband antibody, AAA46421, IHC(P)IHC(P): Mouse Kidney Tissue)
WB (Western Blot)
(Anti- Aquaporin 2 Picoband antibody, AAA46421, Western blottingAll lanes: Anti Aquaporin 2 (AAA46421) at 0.5ug/mlLane 1: Rat Kidney Tissue Lysate at 50ugLane 2: Mouse Kidney Tissue Lysate at 50ugLane 3: HELA Whole Cell Lysate at 40ugLane 4: A549 Whole Cell Lysate at 40ugLane 5: PANC Whole Cell Lysate at 40ugPredicted bind size: 29KDObserved bind size: 50KD)
Background: AQP2 (Aquaporin 2), also called AQUAPORIN-CD, is found in the apical cell membranes of the kidney's collecting duct principal cells and in intracellular vesicles located throughout the cell. The AQP2 gene is mapped to chromosome 12q13, very close to the site of major intrinsic protein by situ hybridization. The investigators suggested that a defect in the AQP2 gene is the basis of the autosomal form of nephrogenic diabetes insipidus. The functional expression and the limited localization suggested that AQP2 is the vasopressin-regulated water channel. Using rat kidney slices and porcine kidney cells stably expressing rat Aqp2, AQP2 trafficking can be stimulated by cAMP-independent pathways that utilize nitric oxide (NO). The NO donors sodium nitroprusside (SNP) and NONOate and the NO synthase substrate L-arginine mimicked the effect of vasopressin (VP), stimulating relocation of Aqp2 from cytoplasmic vesicles to the apical plasma membrane. SNP increased intracellular cGMP rather than cAMP, and exogenous cGMP stimulated AQP2 membrane insertion. Atrial natriuretic factor, which signals via cGMP, also stimulated AQP2 translocation. AQP2 expression in kidney connecting tubules is sufficient for survival and that AQP2 expression in collecting ducts is required to regulate body water balance. The S256L substitution in the cytoplasmic tail of the Aqp2 protein prevented phosphorylation at S256 and the subsequent accumulation of Aqp2 on the apical membrane of the collecting duct principal cells.
NCBI and Uniprot Product Information
Customer Reviews
Loading reviews...
Share Your Experience
Similar Products
Product Notes
The AQP2 aqp2 (Catalog #AAA46421) is an Antibody and is intended for research purposes only. The product is available for immediate purchase. The Anti-Aquaporin 2 Antibody reacts with Human, Mouse, Rat and may cross-react with other species as described in the data sheet. AAA Biotech's Aquaporin 2 can be used in a range of immunoassay formats including, but not limited to, IHC (Immunohistochemistry), WB (Western Blot). Researchers should empirically determine the suitability of the AQP2 aqp2 for an application not listed in the data sheet. Researchers commonly develop new applications and it is an integral, important part of the investigative research process. It is sometimes possible for the material contained within the vial of "Aquaporin 2, Polyclonal Antibody" to become dispersed throughout the inside of the vial, particularly around the seal of said vial, during shipment and storage. We always suggest centrifuging these vials to consolidate all of the liquid away from the lid and to the bottom of the vial prior to opening. Please be advised that certain products may require dry ice for shipping and that, if this is the case, an additional dry ice fee may also be required.Precautions
All products in the AAA Biotech catalog are strictly for research-use only, and are absolutely not suitable for use in any sort of medical, therapeutic, prophylactic, in-vivo, or diagnostic capacity. By purchasing a product from AAA Biotech, you are explicitly certifying that said products will be properly tested and used in line with industry standard. AAA Biotech and its authorized distribution partners reserve the right to refuse to fulfill any order if we have any indication that a purchaser may be intending to use a product outside of our accepted criteria.Disclaimer
Though we do strive to guarantee the information represented in this datasheet, AAA Biotech cannot be held responsible for any oversights or imprecisions. AAA Biotech reserves the right to adjust any aspect of this datasheet at any time and without notice. It is the responsibility of the customer to inform AAA Biotech of any product performance issues observed or experienced within 30 days of receipt of said product. To see additional details on this or any of our other policies, please see our Terms & Conditions page.Item has been added to Shopping Cart
If you are ready to order, navigate to Shopping Cart and get ready to checkout.
