Rabbit ARHGEF2 Polyclonal Antibody | anti-ARHGEF2 antibody
ARHGEF2 Antibody
Phosphate buffered saline, pH 7.4, 150mM NaCl, 0.02% sodium azide and 50% glycerol.
WB (Western Blot)
(Western blot analysis of Hela whole cell lysates, using ARHGEF2 Antibody. The lane on the left is treated with the antigen-specific peptide.)
IF (Immunofluorescence)
(AAA326745 staining HeLa cells by IF/ICC. The sample were fixed with PFA and permeabilized in 0.1% Triton X-100, then blocked in 10% serum for 45 minutes at 25 degree C. The primary antibody was diluted at 1/200 and incubated with the sample for 1 hour at 37 degree C. An Alexa Fluor 594 conjugated goat anti-rabbit IgG (H+L) antibody, diluted at 1/600, was used as secondary antibody.)
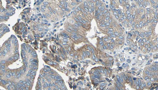
IHC (Immunohistochemistry)
(AAA326745 at 1/100 staining Human cervical cancer tissue by IHC-P. The sample was formaldehyde fixed and a heat mediated antigen retrieval step in citrate buffer was performed. The sample was then blocked and incubated with the antibody for 1.5 hours at 22 degree C. An HRP conjugated goat anti-rabbit antibody was used as the secondary.)
Function: Activates Rho-GTPases by promoting the exchange of GDP for GTP. May be involved in epithelial barrier permeability, cell motility and polarization, dendritic spine morphology, antigen presentation, leukemic cell differentiation, cell cycle regulation, innate immune response, and cancer. Binds Rac-GTPases, but does not seem to promote nucleotide exchange activity toward Rac-GTPases, which was uniquely reported in PubMed:9857026. May stimulate instead the cortical activity of Rac. Inactive toward CDC42, TC10, or Ras-GTPases. Forms an intracellular sensing system along with NOD1 for the detection of microbial effectors during cell invasion by pathogens. Required for RHOA and RIP2 dependent NF-kappaB signaling pathways activation upon S.flexneri cell invasion. Involved not only in sensing peptidoglycan (PGN)-derived muropeptides through NOD1 that is independent of its GEF activity, but also in the activation of NF-kappaB by Shigella effector proteins (IpgB2 and OspB) which requires its GEF activity and the activation of RhoA. Involved in innate immune signaling transduction pathway promoting cytokine IL6/interleukin-6 and TNF-alpha secretion in macrophage upon stimulation by bacterial peptidoglycans; acts as a signaling intermediate between NOD2 receptor and RIPK2 kinase. Contributes to the tyrosine phosphorylation of RIPK2 through Src tyrosine kinase leading to NF-kappaB activation by NOD2. Overexpression activates Rho-, but not Rac-GTPases, and increases paracellular permeability (By similarity). Involved in neuronal progenitor cell division and differentiation (PubMed:28453519). Involved in the migration of precerebellar neurons (By similarity).
Subunit Structure: Found in a complex composed at least of ARHGEF2, NOD2 and RIPK2. Interacts with RIPK2; the interaction mediates tyrosine phosphorylation of RIPK2 by Src kinase CSK. Interacts with RIPK1 and RIPK3. Interacts with YWHAZ/14-3-3 zeta; when phosphorylated at Ser-886. Interacts with the kinases PAK4, AURKA and MAPK1. Interacts with RHOA and RAC1. Interacts with NOD1. Interacts (via the N-terminal zinc finger) with CAPN6 (via domain II). Interacts with DYNLT1 (By similarity).
Post-translational Modifications: Phosphorylation of Ser-886 by PAK1 induces binding to protein YWHAZ, promoting its relocation to microtubules and the inhibition of its activity. Phosphorylated by AURKA and CDK1 during mitosis, which negatively regulates its activity. Phosphorylation by MAPK1 or MAPK3 increases nucleotide exchange activity. Phosphorylation by PAK4 releases GEF-H1 from the microtubules. Phosphorylated on serine, threonine and tyrosine residues in a RIPK2-dependent manner.
Similarity: The DH (DBL-homology) domain interacts with and promotes loading of GTP on RhoA. Promotes tyrosine phosphorylation of RIPK2.The PH domain has no affinity for phosphoinositides suggesting that it does not interact directly with membranes.The phorbol-ester/DAG-type zinc-finger and the C-terminal coiled-coil domains (606-986) are both important for association with microtubules.
NCBI and Uniprot Product Information
Predicted: 112 kDa
Customer Reviews
Loading reviews...
Share Your Experience
Similar Products
Product Notes
The ARHGEF2 arhgef2 (Catalog #AAA326745) is an Antibody produced from Rabbit and is intended for research purposes only. The product is available for immediate purchase. The ARHGEF2 Antibody reacts with Human, Mouse, Rat and may cross-react with other species as described in the data sheet. AAA Biotech's ARHGEF2 can be used in a range of immunoassay formats including, but not limited to, ELISA, ICC (Immunocytochemistry), IF (Immunofluorescence), IHC (Immunohistochemistry), WB (Western Blot). Researchers should empirically determine the suitability of the ARHGEF2 arhgef2 for an application not listed in the data sheet. Researchers commonly develop new applications and it is an integral, important part of the investigative research process. It is sometimes possible for the material contained within the vial of "ARHGEF2, Polyclonal Antibody" to become dispersed throughout the inside of the vial, particularly around the seal of said vial, during shipment and storage. We always suggest centrifuging these vials to consolidate all of the liquid away from the lid and to the bottom of the vial prior to opening. Please be advised that certain products may require dry ice for shipping and that, if this is the case, an additional dry ice fee may also be required.Precautions
All products in the AAA Biotech catalog are strictly for research-use only, and are absolutely not suitable for use in any sort of medical, therapeutic, prophylactic, in-vivo, or diagnostic capacity. By purchasing a product from AAA Biotech, you are explicitly certifying that said products will be properly tested and used in line with industry standard. AAA Biotech and its authorized distribution partners reserve the right to refuse to fulfill any order if we have any indication that a purchaser may be intending to use a product outside of our accepted criteria.Disclaimer
Though we do strive to guarantee the information represented in this datasheet, AAA Biotech cannot be held responsible for any oversights or imprecisions. AAA Biotech reserves the right to adjust any aspect of this datasheet at any time and without notice. It is the responsibility of the customer to inform AAA Biotech of any product performance issues observed or experienced within 30 days of receipt of said product. To see additional details on this or any of our other policies, please see our Terms & Conditions page.Item has been added to Shopping Cart
If you are ready to order, navigate to Shopping Cart and get ready to checkout.
