Rabbit anti-Human ARL8A Polyclonal Antibody | anti-ARL8A antibody
ARL8A Antibody
Gene Names
ARL8A; GIE2; ARL10B
Reactivity
Human
Applications
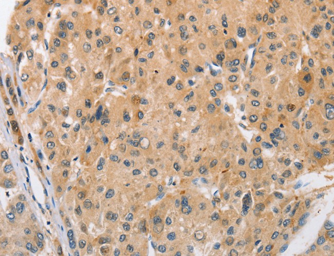
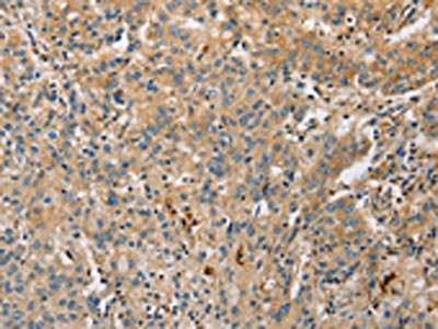
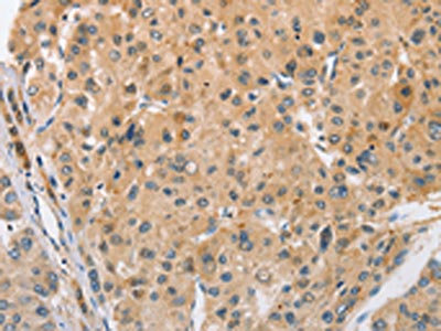
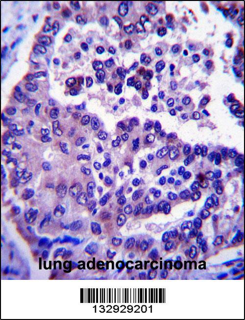
Immunohistochemistry
Purity
Antigen affinity purification.
Synonyms
ARL8A, Antibody; ARL8A Antibody; GIE2; ARL10B; anti-ARL8A antibody
Host
Rabbit
Reactivity
Human
Clonality
Polyclonal
Specificity
The antibody detects endogenous levels of total ARL8A protein.
Purity/Purification
Antigen affinity purification.
Form/Format
Rabbit IgG in pH7.3 PBS, 0.05% NaN3, 50% Glycerol.
Concentration
0.9 mg/ml (varies by lot)
Sequence Length
147
Applicable Applications for anti-ARL8A antibody
IHC (Immunohistochemistry)
Immunogen Type
Recombinant Protein
Immunogen Description
Full length fusion protein
Target Name
ARL8A
Preparation and Storage
Store at -20 degree C
Related Product Information for anti-ARL8A antibody
ARL8A (ADP-ribosylation factor-like protein 8A), also known as ARL10B or GIE2, is a 186 amino acid protein that localizes to the membrane of late endosomes. Expressed ubiquitously, ARL8A is thought to play a role in lysosomal motility and may also be involved in chromosomal segregation events. The gene encoding ARL8A maps to human chromosome 1, which spans 260 million base pairs, houses over 3,000 genes and comprises nearly 8% of the human genome.
Product Categories/Family for anti-ARL8A antibody
NCBI and Uniprot Product Information
NCBI GI #
NCBI GeneID
NCBI Accession #
NCBI GenBank Nucleotide #
Molecular Weight
21,416 Da
NCBI Official Full Name
ADP-ribosylation factor-like protein 8A isoform 2
NCBI Official Synonym Full Names
ADP-ribosylation factor-like 8A
NCBI Official Symbol
ARL8A
NCBI Official Synonym Symbols
GIE2; ARL10B
NCBI Protein Information
ADP-ribosylation factor-like protein 8A
UniProt Protein Name
ADP-ribosylation factor-like protein 8A
UniProt Gene Name
ARL8A
UniProt Synonym Gene Names
ARL10B; GIE2
UniProt Entry Name
ARL8A_HUMAN
Customer Reviews
Loading reviews...
Share Your Experience
Similar Products
Product Notes
The ARL8A arl8a (Catalog #AAA304751) is an Antibody produced from Rabbit and is intended for research purposes only. The product is available for immediate purchase. The ARL8A Antibody reacts with Human and may cross-react with other species as described in the data sheet. AAA Biotech's ARL8A can be used in a range of immunoassay formats including, but not limited to, IHC (Immunohistochemistry). Researchers should empirically determine the suitability of the ARL8A arl8a for an application not listed in the data sheet. Researchers commonly develop new applications and it is an integral, important part of the investigative research process. It is sometimes possible for the material contained within the vial of "ARL8A, Polyclonal Antibody" to become dispersed throughout the inside of the vial, particularly around the seal of said vial, during shipment and storage. We always suggest centrifuging these vials to consolidate all of the liquid away from the lid and to the bottom of the vial prior to opening. Please be advised that certain products may require dry ice for shipping and that, if this is the case, an additional dry ice fee may also be required.Precautions
All products in the AAA Biotech catalog are strictly for research-use only, and are absolutely not suitable for use in any sort of medical, therapeutic, prophylactic, in-vivo, or diagnostic capacity. By purchasing a product from AAA Biotech, you are explicitly certifying that said products will be properly tested and used in line with industry standard. AAA Biotech and its authorized distribution partners reserve the right to refuse to fulfill any order if we have any indication that a purchaser may be intending to use a product outside of our accepted criteria.Disclaimer
Though we do strive to guarantee the information represented in this datasheet, AAA Biotech cannot be held responsible for any oversights or imprecisions. AAA Biotech reserves the right to adjust any aspect of this datasheet at any time and without notice. It is the responsibility of the customer to inform AAA Biotech of any product performance issues observed or experienced within 30 days of receipt of said product. To see additional details on this or any of our other policies, please see our Terms & Conditions page.Item has been added to Shopping Cart
If you are ready to order, navigate to Shopping Cart and get ready to checkout.
