Rabbit anti-Human ARMCX1 Polyclonal Antibody | anti-ARMCX1 antibody
ARMCX1 Antibody
Gene Names
ARMCX1; ALEX1; GASP7
Reactivity
Human
Applications
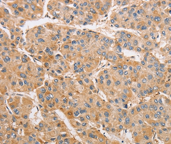
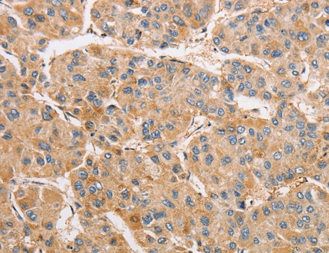
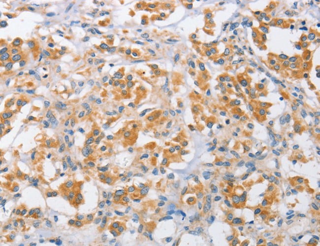
Immunohistochemistry
Purity
Antigen affinity purification.
Synonyms
ARMCX1, Antibody; ARMCX1 Antibody; ALEX1; anti-ARMCX1 antibody
Host
Rabbit
Reactivity
Human
Clonality
Polyclonal
Specificity
The antibody detects endogenous levels of total ARMCX1 protein.
Purity/Purification
Antigen affinity purification.
Form/Format
Rabbit IgG in pH7.3 PBS, 0.05% NaN3, 50% Glycerol.
Concentration
1.6 mg/ml (varies by lot)
Sequence Length
453
Applicable Applications for anti-ARMCX1 antibody
IHC (Immunohistochemistry)
Immunogen Type
Recombinant Protein
Immunogen Description
Fusion protein corresponding to residues near the C terminal of human armadillo repeat containing, X-linked 1
Target Name
ARMCX1
Preparation and Storage
Store at -20 degree C
Related Product Information for anti-ARMCX1 antibody
This gene encodes a member of the ALEX family of proteins and may play a role in tumor suppression. The encoded protein contains a potential N-terminal transmembrane domain and two Armadillo (arm) repeats. Other proteins containing the arm repeat are involved in development, maintenance of tissue integrity, and tumorigenesis. This gene is closely localized with other family members, including ALEX2 and ALEX3, on the X chromosome.
Product Categories/Family for anti-ARMCX1 antibody
NCBI and Uniprot Product Information
NCBI GI #
NCBI GeneID
NCBI Accession #
NCBI GenBank Nucleotide #
Molecular Weight
49,180 Da
NCBI Official Full Name
armadillo repeat-containing X-linked protein 1
NCBI Official Synonym Full Names
armadillo repeat containing, X-linked 1
NCBI Official Symbol
ARMCX1
NCBI Official Synonym Symbols
ALEX1; GASP7
NCBI Protein Information
armadillo repeat-containing X-linked protein 1
UniProt Protein Name
Armadillo repeat-containing X-linked protein 1
UniProt Gene Name
ARMCX1
UniProt Synonym Gene Names
ALEX1; Protein ALEX1
UniProt Entry Name
ARMX1_HUMAN
Customer Reviews
Loading reviews...
Share Your Experience
Similar Products
Product Notes
The ARMCX1 armcx1 (Catalog #AAA302343) is an Antibody produced from Rabbit and is intended for research purposes only. The product is available for immediate purchase. The ARMCX1 Antibody reacts with Human and may cross-react with other species as described in the data sheet. AAA Biotech's ARMCX1 can be used in a range of immunoassay formats including, but not limited to, IHC (Immunohistochemistry). Researchers should empirically determine the suitability of the ARMCX1 armcx1 for an application not listed in the data sheet. Researchers commonly develop new applications and it is an integral, important part of the investigative research process. It is sometimes possible for the material contained within the vial of "ARMCX1, Polyclonal Antibody" to become dispersed throughout the inside of the vial, particularly around the seal of said vial, during shipment and storage. We always suggest centrifuging these vials to consolidate all of the liquid away from the lid and to the bottom of the vial prior to opening. Please be advised that certain products may require dry ice for shipping and that, if this is the case, an additional dry ice fee may also be required.Precautions
All products in the AAA Biotech catalog are strictly for research-use only, and are absolutely not suitable for use in any sort of medical, therapeutic, prophylactic, in-vivo, or diagnostic capacity. By purchasing a product from AAA Biotech, you are explicitly certifying that said products will be properly tested and used in line with industry standard. AAA Biotech and its authorized distribution partners reserve the right to refuse to fulfill any order if we have any indication that a purchaser may be intending to use a product outside of our accepted criteria.Disclaimer
Though we do strive to guarantee the information represented in this datasheet, AAA Biotech cannot be held responsible for any oversights or imprecisions. AAA Biotech reserves the right to adjust any aspect of this datasheet at any time and without notice. It is the responsibility of the customer to inform AAA Biotech of any product performance issues observed or experienced within 30 days of receipt of said product. To see additional details on this or any of our other policies, please see our Terms & Conditions page.Item has been added to Shopping Cart
If you are ready to order, navigate to Shopping Cart and get ready to checkout.
