Rabbit ASAH1 Polyclonal Antibody | anti-ASAH1 antibody
Anti-ASAH1 Antibody
Gene Names
ASAH1; AC; PHP; ASAH; PHP32; ACDase; SMAPME
Reactivity
Human, Mouse, Rat
Applications
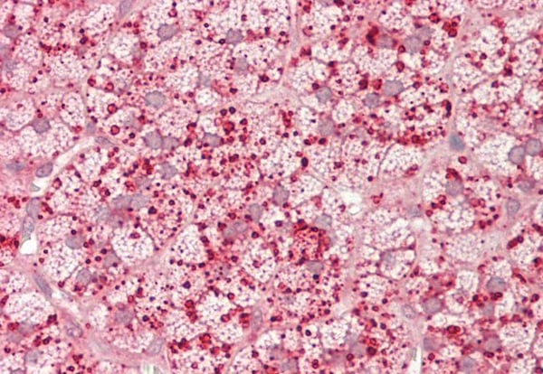
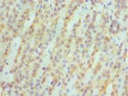
Western Blot, Immunohistochemistry, Immunocytochemistry, Immunofluorescence, ELISA
Purity
Immunogen affinity purified.
Synonyms
ASAH1, Antibody; Anti-ASAH1 Antibody; Acid ceramidase; AC; ACDase; Acid Cdase; Acylsphingosine deacylase; N-acylethanolamine hydrolase ASAH1; N-acylsphingosine amidohydrolase; Putative 32 kDa heart protein; PHP32; Acid ceramidase subunit alpha; Acid ceramidase subunit beta; ASAH1; ASAH; HSD-33; HSD33; anti-ASAH1 antibody
Host
Rabbit
Reactivity
Human, Mouse, Rat
Clonality
Polyclonal
Isotype
IgG
Specificity
No cross reactivity with other proteins.
Purity/Purification
Immunogen affinity purified.
Form/Format
Lyophilized
Each vial contains 4mg Trehalose, 0.9mg NaCl, 0.2mg Na2HPO4, 0.05mg NaN3.
Each vial contains 4mg Trehalose, 0.9mg NaCl, 0.2mg Na2HPO4, 0.05mg NaN3.
Sequence Length
395
Applicable Applications for anti-ASAH1 antibody
WB (Western Blot), IHC (Immunohistochemistry), ICC (Immunocytochemistry), IF (Immunofluorescence), ELISA (Direct ELISA)
Application Notes
WB: 0.25-0.5ug/ml (Human, Mouse, Rat)
IHC-P (Embedded Section): 0.5-1ug/ml (Human, Mouse)
ICC: 2ug/ml (Human)
IF: 2ug/ml (Human)
Direct ELISA: 0.1-0.5ug/ml (Human)
Tested Species: In-house tested species with positive results.
IHC-P (Embedded Section): 0.5-1ug/ml (Human, Mouse)
ICC: 2ug/ml (Human)
IF: 2ug/ml (Human)
Direct ELISA: 0.1-0.5ug/ml (Human)
Tested Species: In-house tested species with positive results.
Immunogen
E Coli-derived human ASAH1 recombinant protein (Position: H63-I393).
Reconstitution
Add 0.2ml of distilled water will yield a concentration of 500ug/ml.
Preparation and Storage
Store at -20 degree C for one year. After reconstitution, at 4 degree C for one month. It can also be aliquotted and stored frozen store at -20 degree C for a longer time. Avoid repeated freezing and thawing.
Related Product Information for anti-ASAH1 antibody
Description: Rabbit IgG polyclonal antibody for ASAH1 detection. Tested with WB, IHC-P, ICC/IF, Direct ELISA in Human; Mouse; Rat.
Background: The ASAH1 gene encodes in humans the acid ceramidase enzyme. It is mapped to 8p22. This gene encodes a member of the acid ceramidase family of proteins. Alternative splicing results in multiple transcript variants, at least one of which encodes a preproprotein that is proteolytically processed. Processing of this preproprotein generates alpha and beta subunits that heterodimerize to form the mature lysosomal enzyme, which catalyzes the degradation of ceramide into sphingosine and free fatty acid. This enzyme is overexpressed in multiple human cancers and may play a role in cancer progression. Mutations in this gene are associated with the lysosomal storage disorder, Farber lipogranulomatosis, and a neuromuscular disorder, spinal muscular atrophy with progressive myoclonic epilepsy.
Background: The ASAH1 gene encodes in humans the acid ceramidase enzyme. It is mapped to 8p22. This gene encodes a member of the acid ceramidase family of proteins. Alternative splicing results in multiple transcript variants, at least one of which encodes a preproprotein that is proteolytically processed. Processing of this preproprotein generates alpha and beta subunits that heterodimerize to form the mature lysosomal enzyme, which catalyzes the degradation of ceramide into sphingosine and free fatty acid. This enzyme is overexpressed in multiple human cancers and may play a role in cancer progression. Mutations in this gene are associated with the lysosomal storage disorder, Farber lipogranulomatosis, and a neuromuscular disorder, spinal muscular atrophy with progressive myoclonic epilepsy.
References
1. Alves, M. Q., Le Trionnaire, E., Ribeiro, I., Carpentier, S., Harzer, K., Levade, T., Ribeiro, M. G. Molecular basis of acid ceramidase deficiency in a neonatal form of Farber disease: identification of the first large deletion in ASAH1 gene. Molec. Genet. Metab. 109: 276-281, 2013.
2. Souillet, G., Guibaud, P., Fensom, A. H., Maire, I., Zabot, M. T. Outcome of displacement bone marrow transplantation in Farber's disease: a report of a case.In: Hobbs, J. R. (ed.) : Correction of Certain Genetic Diseases by Transplantation. London: COGENT 1989. Pp. 137-141.
3. Zhou, J., Tawk, M., Tiziano, F. D., Veillet, J., Bayes, M., Nolent, F., Garcia, V., Servidei, S., Bertini, E., Castro-Giner, F., Renda, Y., Carpentier, S., Andrieu-Abadie, N., Gut, I., Levade, T., Topaloglu, H., Melki, J. Spinal muscular atrophy associated with progressive myoclonic epilepsy is caused by mutations in ASAH1. Am. J. Hum. Genet. 91: 5-14, 2012.
2. Souillet, G., Guibaud, P., Fensom, A. H., Maire, I., Zabot, M. T. Outcome of displacement bone marrow transplantation in Farber's disease: a report of a case.In: Hobbs, J. R. (ed.) : Correction of Certain Genetic Diseases by Transplantation. London: COGENT 1989. Pp. 137-141.
3. Zhou, J., Tawk, M., Tiziano, F. D., Veillet, J., Bayes, M., Nolent, F., Garcia, V., Servidei, S., Bertini, E., Castro-Giner, F., Renda, Y., Carpentier, S., Andrieu-Abadie, N., Gut, I., Levade, T., Topaloglu, H., Melki, J. Spinal muscular atrophy associated with progressive myoclonic epilepsy is caused by mutations in ASAH1. Am. J. Hum. Genet. 91: 5-14, 2012.
NCBI and Uniprot Product Information
NCBI GI #
NCBI GeneID
UniProt Accession #
NCBI Official Full Name
Acid ceramidase
NCBI Official Synonym Full Names
N-acylsphingosine amidohydrolase 1
NCBI Official Symbol
ASAH1
NCBI Official Synonym Symbols
AC; PHP; ASAH; PHP32; ACDase; SMAPME
NCBI Protein Information
acid ceramidase
UniProt Protein Name
Acid ceramidase
UniProt Gene Name
ASAH1
UniProt Synonym Gene Names
ASAH; AC; ACDase; Acid CDase; PHP32
UniProt Entry Name
ASAH1_HUMAN
Customer Reviews
Loading reviews...
Share Your Experience
Similar Products
Product Notes
The ASAH1 asah1 (Catalog #AAA19197) is an Antibody produced from Rabbit and is intended for research purposes only. The product is available for immediate purchase. The Anti-ASAH1 Antibody reacts with Human, Mouse, Rat and may cross-react with other species as described in the data sheet. AAA Biotech's ASAH1 can be used in a range of immunoassay formats including, but not limited to, WB (Western Blot), IHC (Immunohistochemistry), ICC (Immunocytochemistry), IF (Immunofluorescence), ELISA (Direct ELISA). WB: 0.25-0.5ug/ml (Human, Mouse, Rat) IHC-P (Embedded Section): 0.5-1ug/ml (Human, Mouse) ICC: 2ug/ml (Human) IF: 2ug/ml (Human) Direct ELISA: 0.1-0.5ug/ml (Human) Tested Species: In-house tested species with positive results. Researchers should empirically determine the suitability of the ASAH1 asah1 for an application not listed in the data sheet. Researchers commonly develop new applications and it is an integral, important part of the investigative research process. It is sometimes possible for the material contained within the vial of "ASAH1, Polyclonal Antibody" to become dispersed throughout the inside of the vial, particularly around the seal of said vial, during shipment and storage. We always suggest centrifuging these vials to consolidate all of the liquid away from the lid and to the bottom of the vial prior to opening. Please be advised that certain products may require dry ice for shipping and that, if this is the case, an additional dry ice fee may also be required.Precautions
All products in the AAA Biotech catalog are strictly for research-use only, and are absolutely not suitable for use in any sort of medical, therapeutic, prophylactic, in-vivo, or diagnostic capacity. By purchasing a product from AAA Biotech, you are explicitly certifying that said products will be properly tested and used in line with industry standard. AAA Biotech and its authorized distribution partners reserve the right to refuse to fulfill any order if we have any indication that a purchaser may be intending to use a product outside of our accepted criteria.Disclaimer
Though we do strive to guarantee the information represented in this datasheet, AAA Biotech cannot be held responsible for any oversights or imprecisions. AAA Biotech reserves the right to adjust any aspect of this datasheet at any time and without notice. It is the responsibility of the customer to inform AAA Biotech of any product performance issues observed or experienced within 30 days of receipt of said product. To see additional details on this or any of our other policies, please see our Terms & Conditions page.Item has been added to Shopping Cart
If you are ready to order, navigate to Shopping Cart and get ready to checkout.
