Rabbit anti-Human ASCC1 Polyclonal Antibody | anti-ASCC1 antibody
ASCC1 Antibody
Gene Names
ASCC1; p50; CGI-18; ASC1p50
Reactivity
Human
Applications
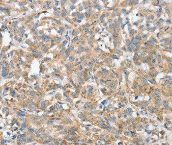
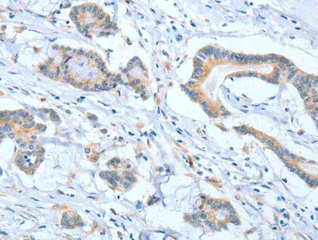
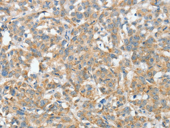
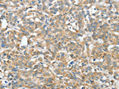
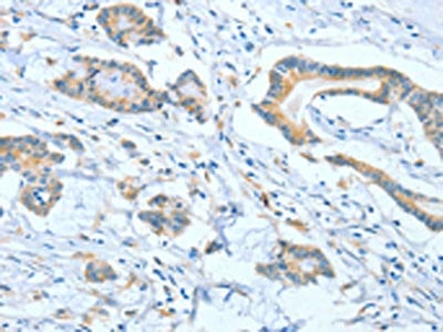
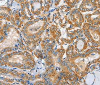
Immunohistochemistry
Purity
Antigen affinity purification.
Synonyms
ASCC1, Antibody; ASCC1 Antibody; p50; CGI-18; ASC1p50; anti-ASCC1 antibody
Host
Rabbit
Reactivity
Human
Clonality
Polyclonal
Specificity
The antibody detects endogenous levels of total ASCC1 protein.
Purity/Purification
Antigen affinity purification.
Form/Format
Rabbit IgG in pH7.3 PBS, 0.05% NaN3, 50% Glycerol.
Concentration
1.2 mg/ml (varies by lot)
Sequence Length
357
Applicable Applications for anti-ASCC1 antibody
IHC (Immunohistochemistry)
Immunogen Type
Recombinant Protein
Immunogen Description
Fusion protein corresponding to residues near the C terminal of human activating signal cointegrator 1 complex subunit 1
Target Name
ASCC1
Preparation and Storage
Store at -20 degree C
Related Product Information for anti-ASCC1 antibody
This gene encodes a subunit of the activating signal cointegrator 1 (ASC-1) complex. The ASC-1 complex is a transcriptional coactivator that plays an important role in gene transactivation by multiple transcription factors including activating protein 1 (AP-1), nuclear factor kappa-B (NF-kB) and serum response factor (SRF). The encoded protein contains an N-terminal KH-type RNA-binding motif which is required for AP-1 transactivation by the ASC-1 complex. Mutations in this gene are associated with Barrett esophagus and esophageal adenocarcinoma. Alternatively spliced transcripts encoding multiple isoforms have been observed for this gene.
Product Categories/Family for anti-ASCC1 antibody
NCBI and Uniprot Product Information
NCBI GI #
NCBI GeneID
NCBI Accession #
NCBI GenBank Nucleotide #
Molecular Weight
41,228 Da
NCBI Official Full Name
activating signal cointegrator 1 complex subunit 1 isoform b
NCBI Official Synonym Full Names
activating signal cointegrator 1 complex subunit 1
NCBI Official Symbol
ASCC1
NCBI Official Synonym Symbols
p50; CGI-18; ASC1p50
NCBI Protein Information
activating signal cointegrator 1 complex subunit 1
UniProt Protein Name
Activating signal cointegrator 1 complex subunit 1
UniProt Gene Name
ASCC1
UniProt Entry Name
ASCC1_HUMAN
Customer Reviews
Loading reviews...
Share Your Experience
Similar Products
Product Notes
The ASCC1 ascc1 (Catalog #AAA302952) is an Antibody produced from Rabbit and is intended for research purposes only. The product is available for immediate purchase. The ASCC1 Antibody reacts with Human and may cross-react with other species as described in the data sheet. AAA Biotech's ASCC1 can be used in a range of immunoassay formats including, but not limited to, IHC (Immunohistochemistry). Researchers should empirically determine the suitability of the ASCC1 ascc1 for an application not listed in the data sheet. Researchers commonly develop new applications and it is an integral, important part of the investigative research process. It is sometimes possible for the material contained within the vial of "ASCC1, Polyclonal Antibody" to become dispersed throughout the inside of the vial, particularly around the seal of said vial, during shipment and storage. We always suggest centrifuging these vials to consolidate all of the liquid away from the lid and to the bottom of the vial prior to opening. Please be advised that certain products may require dry ice for shipping and that, if this is the case, an additional dry ice fee may also be required.Precautions
All products in the AAA Biotech catalog are strictly for research-use only, and are absolutely not suitable for use in any sort of medical, therapeutic, prophylactic, in-vivo, or diagnostic capacity. By purchasing a product from AAA Biotech, you are explicitly certifying that said products will be properly tested and used in line with industry standard. AAA Biotech and its authorized distribution partners reserve the right to refuse to fulfill any order if we have any indication that a purchaser may be intending to use a product outside of our accepted criteria.Disclaimer
Though we do strive to guarantee the information represented in this datasheet, AAA Biotech cannot be held responsible for any oversights or imprecisions. AAA Biotech reserves the right to adjust any aspect of this datasheet at any time and without notice. It is the responsibility of the customer to inform AAA Biotech of any product performance issues observed or experienced within 30 days of receipt of said product. To see additional details on this or any of our other policies, please see our Terms & Conditions page.Item has been added to Shopping Cart
If you are ready to order, navigate to Shopping Cart and get ready to checkout.
