Rabbit Asparagine synthetase (ASNS) Polyclonal Antibody | anti-ASNS antibody
Asparagine synthetase (ASNS) Antibody
Gene Names
ASNS; TS11; ASNSD
Reactivity
Human, Mouse, Rat
Applications
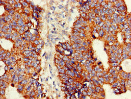
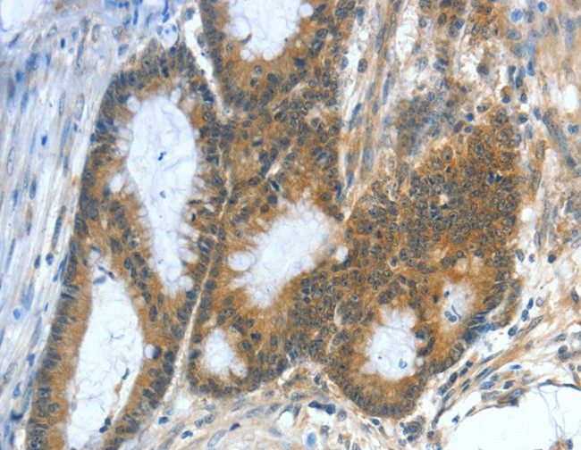
Immunohistochemistry, Western Blot, ELISA
Synonyms
Asparagine synthetase (ASNS), Antibody; Asparagine synthetase (ASNS) Antibody; anti-ASNS antibody
Host
Rabbit
Reactivity
Human, Mouse, Rat
Clonality
Polyclonal
Form/Format
Purified by peptide affinity column containing 1% BSA and 0.02% NaN3
Sequence Length
540
Applicable Applications for anti-ASNS antibody
IHC (Immunohistochemistry), WB (Western Blot), ELISA (Peptide ELISA)
Preparation and Storage
Already reconstituted in 200ul sterile H2O. The antibody is stable for at least one year when stored at-20 degree C.
Related Product Information for anti-ASNS antibody
Rabbit polyclonal ASNS(1) antibody was raised against a 15 amino acid peptide from near the N terminal residues of human ASNS protein.
Product Categories/Family for anti-ASNS antibody
References
(1) Gerhard, D.S., Wagner, L., Feingold, E.A., et al. The status, quality, and expansion of the NIH full-length cDNA project: the Mammalian Gene Collection (MGC). Genome Res. 14 (10B), 2121-2127 (2004).
NCBI and Uniprot Product Information
NCBI GI #
NCBI GeneID
NCBI Accession #
NCBI GenBank Nucleotide #
UniProt Accession #
Molecular Weight
54,818 Da
NCBI Official Full Name
asparagine synthetase
NCBI Official Synonym Full Names
asparagine synthetase (glutamine-hydrolyzing)
NCBI Official Symbol
ASNS
NCBI Official Synonym Symbols
TS11; ASNSD
NCBI Protein Information
asparagine synthetase [glutamine-hydrolyzing]
UniProt Protein Name
Asparagine synthetase [glutamine-hydrolyzing]
UniProt Gene Name
ASNS
UniProt Synonym Gene Names
TS11
Customer Reviews
Loading reviews...
Share Your Experience
Similar Products
Product Notes
The ASNS asns (Catalog #AAA110820) is an Antibody produced from Rabbit and is intended for research purposes only. The product is available for immediate purchase. The Asparagine synthetase (ASNS) Antibody reacts with Human, Mouse, Rat and may cross-react with other species as described in the data sheet. AAA Biotech's Asparagine synthetase (ASNS) can be used in a range of immunoassay formats including, but not limited to, IHC (Immunohistochemistry), WB (Western Blot), ELISA (Peptide ELISA). Researchers should empirically determine the suitability of the ASNS asns for an application not listed in the data sheet. Researchers commonly develop new applications and it is an integral, important part of the investigative research process. It is sometimes possible for the material contained within the vial of "Asparagine synthetase (ASNS), Polyclonal Antibody" to become dispersed throughout the inside of the vial, particularly around the seal of said vial, during shipment and storage. We always suggest centrifuging these vials to consolidate all of the liquid away from the lid and to the bottom of the vial prior to opening. Please be advised that certain products may require dry ice for shipping and that, if this is the case, an additional dry ice fee may also be required.Precautions
All products in the AAA Biotech catalog are strictly for research-use only, and are absolutely not suitable for use in any sort of medical, therapeutic, prophylactic, in-vivo, or diagnostic capacity. By purchasing a product from AAA Biotech, you are explicitly certifying that said products will be properly tested and used in line with industry standard. AAA Biotech and its authorized distribution partners reserve the right to refuse to fulfill any order if we have any indication that a purchaser may be intending to use a product outside of our accepted criteria.Disclaimer
Though we do strive to guarantee the information represented in this datasheet, AAA Biotech cannot be held responsible for any oversights or imprecisions. AAA Biotech reserves the right to adjust any aspect of this datasheet at any time and without notice. It is the responsibility of the customer to inform AAA Biotech of any product performance issues observed or experienced within 30 days of receipt of said product. To see additional details on this or any of our other policies, please see our Terms & Conditions page.Item has been added to Shopping Cart
If you are ready to order, navigate to Shopping Cart and get ready to checkout.
