Rabbit ATF2 Polyclonal Antibody | anti-ATF2 antibody
ATF2 Antibody
Gene Names
ATF2; HB16; CREB2; TREB7; CREB-2; CRE-BP1
Applications
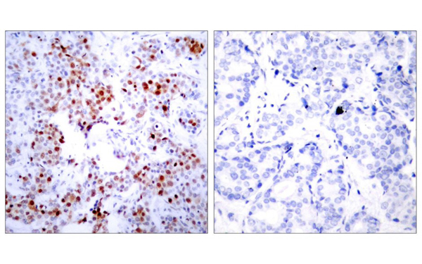
Immunohistochemistry, Western Blot
Purity
Affinity Chromatography
Synonyms
ATF2, Antibody; ATF2 Antibody; Rabbit Polyclonal ATF2 Antibody; Polyclonal ATF2 antibody; Anti-ATF2 antibody; CRE-BP1 antibody; CREB-2 antibody; CREB2 antibody; CREBP1 antibody; Cyclic AMP-dependent transcription factor ATF-2 antibody; Cyclic AMP-responsive element-binding protein 2 antibody; HB16 antibody; MGC111558 antibody; TREB7 antibody; Activating transcription factor 2 antibody; activating transcription factor 2 splice variant ATF2-var2 antibody; ATF2 antibody; cAMP response element-binding protein CRE-BP1 antibody; cAMP responsive element binding protein 2 formerly antibody; cAMP-dependent transcription factor ATF-2 antibody; cAMP-responsive element-binding protein 2 antibody; anti-ATF2 antibody
Host
Rabbit
Clonality
Polyclonal
Isotype
IgG
Specificity
ATF2 antibody detects endogenous levels of total ATF2 protein
Purity/Purification
Affinity Chromatography
Form/Format
Supplied in PBS buffer (without Mg2+ and Ca2+), pH 7.4, 150mM NaCl, 0.02% Sodium Azide and 50% Glycerol
Concentration
1 mg/ml (varies by lot)
Sequence Length
447
Applicable Applications for anti-ATF2 antibody
IHC (Immunohistochemistry), WB (Western Blot)
Immunogen
ATF2 antibody was raised in Rabbit using a synthesized non-phosphopeptide derived from human ATF2 around the phosphorylation site of threonine 69 or 51 (D-Q-TP-P-T) as the immunogen.
Cross-Reactivity
Mouse, Rat
Preparation and Storage
Store at -20 degree C in small aliquots. Avoid repeat freeze/thaw cycles.
Related Product Information for anti-ATF2 antibody
ATF2 is a histone acetyltransferase (HAT) that specifically acetylates histones H2B and H4 in vitro and it may represent a class of sequence-specific factors that activate transcription by direct effects on chromatin components.
Product Categories/Family for anti-ATF2 antibody
NCBI and Uniprot Product Information
NCBI GI #
NCBI GeneID
NCBI Official Full Name
ATF2 protein
NCBI Official Synonym Full Names
activating transcription factor 2
NCBI Official Symbol
ATF2
NCBI Official Synonym Symbols
HB16; CREB2; TREB7; CREB-2; CRE-BP1
NCBI Protein Information
cyclic AMP-dependent transcription factor ATF-2
Customer Reviews
Loading reviews...
Share Your Experience
Similar Products
Product Notes
The ATF2 (Catalog #AAA226158) is an Antibody produced from Rabbit and is intended for research purposes only. The product is available for immediate purchase. AAA Biotech's ATF2 can be used in a range of immunoassay formats including, but not limited to, IHC (Immunohistochemistry), WB (Western Blot). Researchers should empirically determine the suitability of the ATF2 for an application not listed in the data sheet. Researchers commonly develop new applications and it is an integral, important part of the investigative research process. It is sometimes possible for the material contained within the vial of "ATF2, Polyclonal Antibody" to become dispersed throughout the inside of the vial, particularly around the seal of said vial, during shipment and storage. We always suggest centrifuging these vials to consolidate all of the liquid away from the lid and to the bottom of the vial prior to opening. Please be advised that certain products may require dry ice for shipping and that, if this is the case, an additional dry ice fee may also be required.Precautions
All products in the AAA Biotech catalog are strictly for research-use only, and are absolutely not suitable for use in any sort of medical, therapeutic, prophylactic, in-vivo, or diagnostic capacity. By purchasing a product from AAA Biotech, you are explicitly certifying that said products will be properly tested and used in line with industry standard. AAA Biotech and its authorized distribution partners reserve the right to refuse to fulfill any order if we have any indication that a purchaser may be intending to use a product outside of our accepted criteria.Disclaimer
Though we do strive to guarantee the information represented in this datasheet, AAA Biotech cannot be held responsible for any oversights or imprecisions. AAA Biotech reserves the right to adjust any aspect of this datasheet at any time and without notice. It is the responsibility of the customer to inform AAA Biotech of any product performance issues observed or experienced within 30 days of receipt of said product. To see additional details on this or any of our other policies, please see our Terms & Conditions page.Item has been added to Shopping Cart
If you are ready to order, navigate to Shopping Cart and get ready to checkout.
