Rabbit ATG13 Polyclonal Antibody | anti-ATG13 antibody
ATG13 Antibody
Phosphate buffered saline, pH 7.4, 150mM NaCl, 0.02% sodium azide and 50% glycerol.
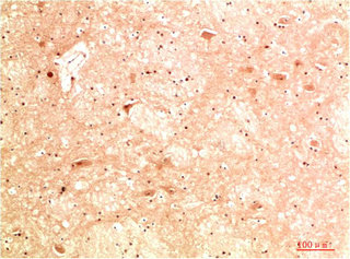
IHC (Immunohiostchemistry)
(AAA325913 at 1/100 staining Human prostate tissue by IHC-P. The sample was formaldehyde fixed and a heat mediated antigen retrieval step in citrate buffer was performed. The sample was then blocked and incubated with the antibody for 1.5 hours at 22 degree C. An HRP conjugated goat anti-rabbit antibody was used as the secondary.)
WB (Western Blot)
(Western blot analysis of Mouse heart lysate, using ATG13 Antibody. The lane on the left is treated with the antigen-specific peptide.)
Function: Autophagy factor required for autophagosome formation and mitophagy. Target of the TOR kinase signaling pathway that regulates autophagy through the control of the phosphorylation status of ATG13 and ULK1, and the regulation of the ATG13-ULK1-RB1CC1 complex. Through its regulation of ULK1 activity, plays a role in the regulation of the kinase activity of mTORC1 and cell proliferation.
Subunit Structure: Part of a complex consisting of ATG13, ULK1 and RB1CC1 (PubMed:19597335, PubMed:19211835, PubMed:19225151, PubMed:24290141). Interacts with ATG101 (PubMed:19597335, PubMed:19287211, PubMed:26299944). Interacts with ULK1 (via C-terminus) (PubMed:19287211, PubMed:21855797, PubMed:18936157). Interacts with ULK2 (via C-terminus) (PubMed:19225151, PubMed:18936157). Interacts (via the LIR motif) with GABARAP, GABARAPL, GABARAPL2 (PubMed:23043107). Interacts (via the LIR motif) with MAP1LC3A, MAP1LC3B and MAP1LC3C (PubMed:24290141). Interacts with TAB2 and TAB3 (PubMed:21976705). Interacts with C9orf72 (PubMed:27334615).
Post-translational Modifications: Phosphorylated by ULK1, ULK2 and mTOR. Phosphorylation status depends on nutrient-rich conditions; dephosphorylated during starvation or following treatment with rapamycin. ULK1-mediated phosphorylation of ATG13 at Ser-355 is required for efficient clearance of depolarized mitochondria.
Similarity: The LIR motif (LC3-interacting region) is required for the interaction with the ATG8 family proteins GABARAP, GABARAPL, GABARAPL2, and MAP1LC3A. Belongs to the ATG13 family. Metazoan subfamily.
NCBI and Uniprot Product Information
Predicted: 57 kDa
Customer Reviews
Loading reviews...
Share Your Experience
Similar Products
Product Notes
The ATG13 atg13 (Catalog #AAA325913) is an Antibody produced from Rabbit and is intended for research purposes only. The product is available for immediate purchase. The ATG13 Antibody reacts with Human, Mouse, Rat and may cross-react with other species as described in the data sheet. AAA Biotech's ATG13 can be used in a range of immunoassay formats including, but not limited to, ELISA, IHC (Immunohistochemistry), WB (Western Blot). Researchers should empirically determine the suitability of the ATG13 atg13 for an application not listed in the data sheet. Researchers commonly develop new applications and it is an integral, important part of the investigative research process. It is sometimes possible for the material contained within the vial of "ATG13, Polyclonal Antibody" to become dispersed throughout the inside of the vial, particularly around the seal of said vial, during shipment and storage. We always suggest centrifuging these vials to consolidate all of the liquid away from the lid and to the bottom of the vial prior to opening. Please be advised that certain products may require dry ice for shipping and that, if this is the case, an additional dry ice fee may also be required.Precautions
All products in the AAA Biotech catalog are strictly for research-use only, and are absolutely not suitable for use in any sort of medical, therapeutic, prophylactic, in-vivo, or diagnostic capacity. By purchasing a product from AAA Biotech, you are explicitly certifying that said products will be properly tested and used in line with industry standard. AAA Biotech and its authorized distribution partners reserve the right to refuse to fulfill any order if we have any indication that a purchaser may be intending to use a product outside of our accepted criteria.Disclaimer
Though we do strive to guarantee the information represented in this datasheet, AAA Biotech cannot be held responsible for any oversights or imprecisions. AAA Biotech reserves the right to adjust any aspect of this datasheet at any time and without notice. It is the responsibility of the customer to inform AAA Biotech of any product performance issues observed or experienced within 30 days of receipt of said product. To see additional details on this or any of our other policies, please see our Terms & Conditions page.Item has been added to Shopping Cart
If you are ready to order, navigate to Shopping Cart and get ready to checkout.
