Rabbit ATP7B Polyclonal Antibody | anti-ATP7B antibody
ATP7B Antibody
Phosphate buffered saline, pH 7.4, 150mM NaCl, 0.02% sodium azide and 50% glycerol.
IHC (Immunohiostchemistry)
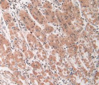
(AAA327151 at 1/100 staining Human brain cancer tissue by IHC-P. The sample was formaldehyde fixed and a heat mediated antigen retrieval step in citrate buffer was performed. The sample was then blocked and incubated with the antibody for 1.5 hours at 22 degree C. An HRP conjugated goat anti-rabbit antibody was used as the secondary.)
WB (Western Blot)
(Western blot analysis of Hepg2 whole cell lysates, using ATP7B Antibody. The lane on the left is treated with the antigen-specific peptide.)
Function: Copper ion transmembrane transporter involved in the export of copper out of the cells, such as the efflux of hepatic copper into the bile.
Subunit Structure: Monomer. Interacts with COMMD1/MURR1 (PubMed:12968035, PubMed:17919502). Interacts with DCTN4, in a copper-dependent manner (PubMed:16554302). Interacts with ATOX1 (PubMed:18558714). Interacts (via C-terminus) with ZBTB16/PLZF (PubMed:16676348).
Post-translational Modifications: Isoform 1 may be proteolytically cleaved at the N-terminus to produce the WND/140 kDa form.
Similarity: Each HMA domain can bind a copper ion, they are tightly packed and closely interact with each other. Wild-type ATP7B can usually be loaded with an average 5.5 copper atoms per molecule. Belongs to the cation transport ATPase (P-type) (TC 3.A.3) family. Type IB subfamily.
NCBI and Uniprot Product Information
Predicted: 158 kDa
Customer Reviews
Loading reviews...
Share Your Experience
Similar Products
Product Notes
The ATP7B atp7b (Catalog #AAA327151) is an Antibody produced from Rabbit and is intended for research purposes only. The product is available for immediate purchase. The ATP7B Antibody reacts with Human, Mouse, Rat and may cross-react with other species as described in the data sheet. AAA Biotech's ATP7B can be used in a range of immunoassay formats including, but not limited to, ELISA, IHC (Immunohistochemistry), WB (Western Blot). Researchers should empirically determine the suitability of the ATP7B atp7b for an application not listed in the data sheet. Researchers commonly develop new applications and it is an integral, important part of the investigative research process. It is sometimes possible for the material contained within the vial of "ATP7B, Polyclonal Antibody" to become dispersed throughout the inside of the vial, particularly around the seal of said vial, during shipment and storage. We always suggest centrifuging these vials to consolidate all of the liquid away from the lid and to the bottom of the vial prior to opening. Please be advised that certain products may require dry ice for shipping and that, if this is the case, an additional dry ice fee may also be required.Precautions
All products in the AAA Biotech catalog are strictly for research-use only, and are absolutely not suitable for use in any sort of medical, therapeutic, prophylactic, in-vivo, or diagnostic capacity. By purchasing a product from AAA Biotech, you are explicitly certifying that said products will be properly tested and used in line with industry standard. AAA Biotech and its authorized distribution partners reserve the right to refuse to fulfill any order if we have any indication that a purchaser may be intending to use a product outside of our accepted criteria.Disclaimer
Though we do strive to guarantee the information represented in this datasheet, AAA Biotech cannot be held responsible for any oversights or imprecisions. AAA Biotech reserves the right to adjust any aspect of this datasheet at any time and without notice. It is the responsibility of the customer to inform AAA Biotech of any product performance issues observed or experienced within 30 days of receipt of said product. To see additional details on this or any of our other policies, please see our Terms & Conditions page.Item has been added to Shopping Cart
If you are ready to order, navigate to Shopping Cart and get ready to checkout.
