Rabbit anti-Human Autophagy-related protein 9B Polyclonal Antibody | anti-ATG9B antibody
Rabbit anti-human Autophagy-related protein 9B polyclonal Antibody(ATG9B)
Gene Names
ATG9B; SONE; APG9L2; NOS3AS
Reactivity
Human
Applications
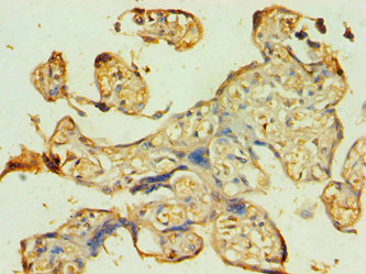
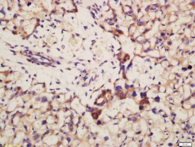
Immunohistochemistry, ELISA
Purity
Antigen Affinity Purified
Synonyms
Autophagy-related protein 9B, Antibody; Rabbit anti-human Autophagy-related protein 9B polyclonal Antibody(ATG9B); APG9-like 2; Nitric oxide synthase 3-overlapping antisense gene protein; Protein sONE; ATG9B; APG9L2; NOS3AS; anti-ATG9B antibody
Host
Rabbit
Reactivity
Human
Clonality
Polyclonal
Isotype
IgG
Purity/Purification
Antigen Affinity Purified
Sequence Length
340
Applicable Applications for anti-ATG9B antibody
IHC (Immunohistochemistry), ELISA
Storage Buffer
PBS with 0.02% sodium azide, 50% glycerol, pH7.3.
Conjugate
Non-conjugated
Immunogen
Recombinant human Autophagy-related protein 9B protein (715-924aa)
Santa Cruz Alternative
Potential replacement for Santa Cruz Biotechnology antibody catalog# sc-163710
Preparation and Storage
Shipped at 4 degree C. Upon delivery aliquot and store at -20 degree C or -80 degree C. Avoid repeated freeze.
Related Product Information for anti-ATG9B antibody
Involved in autophagy and cytoplasm to vacuole transport (Cvt) vesicle formation. Plays a key role in the organization of the preautophagosomal structure/phagophore assembly site (PAS), the nucleating site for formation of the sequestering vesicle (By similarity).
NCBI and Uniprot Product Information
NCBI GI #
NCBI GeneID
NCBI Accession #
NCBI GenBank Nucleotide #
Molecular Weight
36,989 Da
NCBI Official Synonym Full Names
autophagy related 9B
NCBI Official Symbol
ATG9B
NCBI Official Synonym Symbols
SONE; APG9L2; NOS3AS
NCBI Protein Information
autophagy-related protein 9B
UniProt Protein Name
Autophagy-related protein 9B
UniProt Gene Name
ATG9B
UniProt Synonym Gene Names
APG9L2; NOS3AS; Protein sONE
UniProt Entry Name
ATG9B_HUMAN
Customer Reviews
Loading reviews...
Share Your Experience
Similar Products
Product Notes
The ATG9B atg9b (Catalog #AAA119631) is an Antibody produced from Rabbit and is intended for research purposes only. The product is available for immediate purchase. The Rabbit anti-human Autophagy-related protein 9B polyclonal Antibody(ATG9B) reacts with Human and may cross-react with other species as described in the data sheet. AAA Biotech's Autophagy-related protein 9B can be used in a range of immunoassay formats including, but not limited to, IHC (Immunohistochemistry), ELISA. Researchers should empirically determine the suitability of the ATG9B atg9b for an application not listed in the data sheet. Researchers commonly develop new applications and it is an integral, important part of the investigative research process. It is sometimes possible for the material contained within the vial of "Autophagy-related protein 9B, Polyclonal Antibody" to become dispersed throughout the inside of the vial, particularly around the seal of said vial, during shipment and storage. We always suggest centrifuging these vials to consolidate all of the liquid away from the lid and to the bottom of the vial prior to opening. Please be advised that certain products may require dry ice for shipping and that, if this is the case, an additional dry ice fee may also be required.Precautions
All products in the AAA Biotech catalog are strictly for research-use only, and are absolutely not suitable for use in any sort of medical, therapeutic, prophylactic, in-vivo, or diagnostic capacity. By purchasing a product from AAA Biotech, you are explicitly certifying that said products will be properly tested and used in line with industry standard. AAA Biotech and its authorized distribution partners reserve the right to refuse to fulfill any order if we have any indication that a purchaser may be intending to use a product outside of our accepted criteria.Disclaimer
Though we do strive to guarantee the information represented in this datasheet, AAA Biotech cannot be held responsible for any oversights or imprecisions. AAA Biotech reserves the right to adjust any aspect of this datasheet at any time and without notice. It is the responsibility of the customer to inform AAA Biotech of any product performance issues observed or experienced within 30 days of receipt of said product. To see additional details on this or any of our other policies, please see our Terms & Conditions page.Item has been added to Shopping Cart
If you are ready to order, navigate to Shopping Cart and get ready to checkout.
