Rabbit anti-Human AVP Polyclonal Antibody | anti-AVP antibody
AVP Antibody (Center)
IF (Immunofluorescence)
(Confocal immunofluorescent analysis of AVP Antibody (Center) with ZR-75-1 cell followed by Alexa Fluor 488-conjugated goat anti-rabbit lgG (green).Actin filaments have been labeled with Alexa Fluor 555 phalloidin (red).DAPI was used to stain the cell nuclear (blue).)
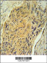
IHC (Immunohiostchemistry)
(AVP Antibody (Center) immunohistochemistry analysis in formalin fixed and paraffin embedded human lung carcinoma followed by peroxidase conjugation of the secondary antibody and DAB staining. This data demonstrates the use of the AVP Antibody (Center) for immunohistochemistry. Clinical relevance has not been evaluated.)
WB (Western Blot)
(Anti-AVP Antibody (Center) at 1:1000 dilution+ ZR-75-1 whole cell lysate Lysates/proteins at 20 ug per lane. Secondary Goat Anti-RabbitIgG, (H+L), Peroxidase conjugated at 1/10000 dilution. Predicted band size : 17 kDa Blocking/Dilution buffer: 5% NFDM/TBST.)
arginine vasopressin and two associated proteins, neurophysin 2 and
a glycopeptide, copeptin. Arginine vasopressin is a posterior
pituitary hormone which is synthesized in the supraoptic nucleus
and paraventricular nucleus of the hypothalamus. Along with its
carrier protein, neurophysin 2, it is packaged into neurosecretory
vesicles and transported axonally to the nerve endings in the
neurohypophysis where it is either stored or secreted into the
bloodstream. The precursor is thought to be activated while it is
being transported along the axon to the posterior pituitary.
Arginine vasopressin acts as a growth factor by enhancing pH
regulation through acid-base transport systems. It has a direct
antidiuretic action on the kidney, and also causes vasoconstriction
of the peripheral vessels. This hormone can contract smooth muscle
during parturition and lactation. It is also involved in cognition,
tolerance, adaptation and complex sexual and maternal behaviour, as
well as in the regulation of water excretion and cardiovascular
functions.
Cirillo, M. Kidney Int. 77(1):5-6(2010)
Meijer, E., et al. Kidney Int. 77(1):29-36(2010)
Birk, J., et al. J. Cell. Sci. 122 (PT 21), 3994-4002 (2009)
NCBI and Uniprot Product Information
Customer Reviews
Loading reviews...
Share Your Experience
Similar Products
Product Notes
The AVP avp (Catalog #AAA285660) is an Antibody produced from Rabbit and is intended for research purposes only. The product is available for immediate purchase. The immunogen sequence is 102-129. The AVP Antibody (Center) reacts with Human and may cross-react with other species as described in the data sheet. AAA Biotech's AVP can be used in a range of immunoassay formats including, but not limited to, IF (Immunofluorescence), IHC (Immunohistochemistry), ELISA, WB (Western Blot). Researchers should empirically determine the suitability of the AVP avp for an application not listed in the data sheet. Researchers commonly develop new applications and it is an integral, important part of the investigative research process. It is sometimes possible for the material contained within the vial of "AVP, Polyclonal Antibody" to become dispersed throughout the inside of the vial, particularly around the seal of said vial, during shipment and storage. We always suggest centrifuging these vials to consolidate all of the liquid away from the lid and to the bottom of the vial prior to opening. Please be advised that certain products may require dry ice for shipping and that, if this is the case, an additional dry ice fee may also be required.Precautions
All products in the AAA Biotech catalog are strictly for research-use only, and are absolutely not suitable for use in any sort of medical, therapeutic, prophylactic, in-vivo, or diagnostic capacity. By purchasing a product from AAA Biotech, you are explicitly certifying that said products will be properly tested and used in line with industry standard. AAA Biotech and its authorized distribution partners reserve the right to refuse to fulfill any order if we have any indication that a purchaser may be intending to use a product outside of our accepted criteria.Disclaimer
Though we do strive to guarantee the information represented in this datasheet, AAA Biotech cannot be held responsible for any oversights or imprecisions. AAA Biotech reserves the right to adjust any aspect of this datasheet at any time and without notice. It is the responsibility of the customer to inform AAA Biotech of any product performance issues observed or experienced within 30 days of receipt of said product. To see additional details on this or any of our other policies, please see our Terms & Conditions page.Item has been added to Shopping Cart
If you are ready to order, navigate to Shopping Cart and get ready to checkout.
