Rabbit AXL Polyclonal Antibody | anti-AXL antibody
AXL Antibody
Gene Names
AXL; ARK; UFO; JTK11; Tyro7
Reactivity
Human, Mouse, RatPredicted: Pig, Zebrafish, Bovine, Horse, Sheep, Rabbit, Dog, Xenopus
Applications
ELISA, Immunohistochemistry, Western Blot
Purity
The antiserum was purified by peptide affinity chromatography using SulfoLink Coupling Resin (Thermo Fisher Scientific).
Synonyms
AXL, Antibody; AXL Antibody; Adhesion related kinase; AI323647; Ark; Axl; AXL oncogene; AXL receptor tyrosine kinase; AXL transforming gene; AXL transforming sequence/gene; EC 2.7.10.1; JTK11; Oncogene AXL; Tyro7; Tyrosine protein kinase receptor UFO; Tyrosine-protein kinase receptor UFO; UFO; UFO_HUMAN; anti-AXL antibody
Host
Rabbit
Reactivity
Human, Mouse, Rat
Predicted: Pig, Zebrafish, Bovine, Horse, Sheep, Rabbit, Dog, Xenopus
Predicted: Pig, Zebrafish, Bovine, Horse, Sheep, Rabbit, Dog, Xenopus
Clonality
Polyclonal
Isotype
IgG
Specificity
AXL Antibody detects endogenous levels of AXL.
Purity/Purification
The antiserum was purified by peptide affinity chromatography using SulfoLink Coupling Resin (Thermo Fisher Scientific).
Form/Format
Liquid; Phosphate buffered saline, pH 7.4, 150mM NaCl, 0.02% sodium azide and 50% glycerol.
Concentration
1mg/ml (varies by lot)
Sequence Length
885
Applicable Applications for anti-AXL antibody
ELISA (Peptide ELISA), IHC (Immunohistochemistry), WB (Western Blot)
Immunogen
A synthesized peptide derived from human AXL.
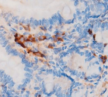
Tissue Specificity
Highly expressed in metastatic colon tumors. Expressed in primary colon tumors. Weakly expressed in normal colon tissue.
Subcellular Location
Plasma Membrane
Preparation and Storage
Store at -20 degree C. Stable for 12 months from date of receipt.
Related Product Information for anti-AXL antibody
Description: Receptor tyrosine kinase that transduces signals from the extracellular matrix into the cytoplasm by binding growth factor GAS6 and which is thus regulating many physiological processes including cell survival, cell proliferation, migration and differentiation. Ligand binding at the cell surface induces dimerization and autophosphorylation of AXL. Following activation by ligand, ALX binds and induces tyrosine phosphorylation of PI3-kinase subunits PIK3R1, PIK3R2 and PIK3R3; but also GRB2, PLCG1, LCK and PTPN11. Other downstream substrate candidates for AXL are CBL, NCK2, SOCS1 and TNS2. Recruitment of GRB2 and phosphatidylinositol 3 kinase regulatory subunits by AXL leads to the downstream activation of the AKT kinase. GAS6/AXL signaling plays a role in various processes such as endothelial cell survival during acidification by preventing apoptosis, optimal cytokine signaling during human natural killer cell development, hepatic regeneration, gonadotropin-releasing hormone neuron survival and migration, platelet activation, or regulation of thrombotic responses. Plays also an important role in inhibition of Toll-like receptors (TLRs)-mediated innate immune response.
Post Translational Modifications: Monoubiquitinated upon GAS6-binding. A very small proportion of the receptor could be subjected to polyubiquitination in a very transient fashion. Phosphorylated at tyrosine residues by autocatalysis, which activates kinase activity.
Subunit Structure: Heterodimer and heterotetramer with ligand GAS6. Interacts with CBL, GRB2, LCK, NCK2, PIK3R1, PIK3R2, PIK3R3, PLCG1, SOCS1 and TNS2. Part of a complex including AXL, TNK2 and GRB2, in which GRB2 promotes AXL recruitment by TNK2.
Similarity: Belongs to the protein kinase superfamily. Tyr protein kinase family. AXL/UFO subfamily.
Post Translational Modifications: Monoubiquitinated upon GAS6-binding. A very small proportion of the receptor could be subjected to polyubiquitination in a very transient fashion. Phosphorylated at tyrosine residues by autocatalysis, which activates kinase activity.
Subunit Structure: Heterodimer and heterotetramer with ligand GAS6. Interacts with CBL, GRB2, LCK, NCK2, PIK3R1, PIK3R2, PIK3R3, PLCG1, SOCS1 and TNS2. Part of a complex including AXL, TNK2 and GRB2, in which GRB2 promotes AXL recruitment by TNK2.
Similarity: Belongs to the protein kinase superfamily. Tyr protein kinase family. AXL/UFO subfamily.
NCBI and Uniprot Product Information
NCBI GI #
NCBI GeneID
NCBI Accession #
NCBI GenBank Nucleotide #
UniProt Accession #
Molecular Weight
Observed: 97.4 kDa
Predicted: 99 kDa
Predicted: 99 kDa
NCBI Official Full Name
tyrosine-protein kinase receptor UFO isoform 2
NCBI Official Synonym Full Names
AXL receptor tyrosine kinase
NCBI Official Symbol
AXL
NCBI Official Synonym Symbols
ARK; UFO; JTK11; Tyro7
NCBI Protein Information
tyrosine-protein kinase receptor UFO
UniProt Protein Name
Tyrosine-protein kinase receptor UFO
UniProt Gene Name
AXL
UniProt Synonym Gene Names
UFO
UniProt Entry Name
UFO_HUMAN
Customer Reviews
Loading reviews...
Share Your Experience
Similar Products
Product Notes
The AXL axl (Catalog #AAA328603) is an Antibody produced from Rabbit and is intended for research purposes only. The product is available for immediate purchase. The AXL Antibody reacts with Human, Mouse, Rat Predicted: Pig, Zebrafish, Bovine, Horse, Sheep, Rabbit, Dog, Xenopus and may cross-react with other species as described in the data sheet. AAA Biotech's AXL can be used in a range of immunoassay formats including, but not limited to, ELISA (Peptide ELISA), IHC (Immunohistochemistry), WB (Western Blot). Researchers should empirically determine the suitability of the AXL axl for an application not listed in the data sheet. Researchers commonly develop new applications and it is an integral, important part of the investigative research process. It is sometimes possible for the material contained within the vial of "AXL, Polyclonal Antibody" to become dispersed throughout the inside of the vial, particularly around the seal of said vial, during shipment and storage. We always suggest centrifuging these vials to consolidate all of the liquid away from the lid and to the bottom of the vial prior to opening. Please be advised that certain products may require dry ice for shipping and that, if this is the case, an additional dry ice fee may also be required.Precautions
All products in the AAA Biotech catalog are strictly for research-use only, and are absolutely not suitable for use in any sort of medical, therapeutic, prophylactic, in-vivo, or diagnostic capacity. By purchasing a product from AAA Biotech, you are explicitly certifying that said products will be properly tested and used in line with industry standard. AAA Biotech and its authorized distribution partners reserve the right to refuse to fulfill any order if we have any indication that a purchaser may be intending to use a product outside of our accepted criteria.Disclaimer
Though we do strive to guarantee the information represented in this datasheet, AAA Biotech cannot be held responsible for any oversights or imprecisions. AAA Biotech reserves the right to adjust any aspect of this datasheet at any time and without notice. It is the responsibility of the customer to inform AAA Biotech of any product performance issues observed or experienced within 30 days of receipt of said product. To see additional details on this or any of our other policies, please see our Terms & Conditions page.Item has been added to Shopping Cart
If you are ready to order, navigate to Shopping Cart and get ready to checkout.
