Rabbit B MyB Polyclonal Antibody | anti-MYBL2 antibody
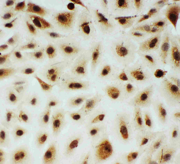
Anti-B MyB antibody
WB (Western Blot)
(Anti-B MyB antibody, AAA45422, Western blottingLane 1: Rat Spleen Tissue LysateLane 2: Rat Thymus Tissue LysateLane 3: Rat Brain Tissue LysateLane 4: HELA Cell LysateLane 5: COLO320 Cell LysateLane 6: MCF-7 Cell Lysate)
WB (Western Blot)
(Anti-B MyB antibody, AAA45422, Western blottingRecombinant Protein Detection Source: E.coli derived -recombinant Human MYBL2, 46.8KD(162aa tag+ M1-L245)Lane 1: Recombinant Human MYBL2 Protein 10ngLane 2: Recombinant Human MYBL2 Protein 5ngLane 3: Recombinant Human MYBL2 Protein 2.5ng)
Background: MYBL2(V-MYB avian myeloblastosis viral oncogene homolog-like 2), also called MYB-RELATED GENE BMYB, is a protein that in humans is encoded by the MYBL2 gene. The protein encoded by this gene, a member of the MYB family of transcription factor genes, is a nuclear protein involved in cell cycle progression. Barletta et al.(1991) assigned the MYBL2 gene to chromosome Xq13. However, Noben-Trauth et al.(1996) demonstrated that this assignment was an error. Using mouse Mybl2 cDNA clones as probes, they assigned Mybl2 in an interspecific backcross panel to distal mouse chromosome 2. Using human cDNA probes in combination with fluorescence in situ hybridization analysis, they localized MYBL2 to chromosome 20q13.1, a region that is commonly deleted in myeloid disorders and shows high homology of synteny to mouse chromosome 2. It has been shown to activate the cell division cycle 2, cyclin D1, and insulin-like growth factor-binding protein 5 genes. Transcript variants may exist for this gene, but their full-length natures have not been determined.
NCBI and Uniprot Product Information
Customer Reviews
Loading reviews...
Share Your Experience
Similar Products
B-Myb Antibody
B-Myb Antibody
Product Notes
The MYBL2 mybl2 (Catalog #AAA45422) is an Antibody produced from Rabbit and is intended for research purposes only. The product is available for immediate purchase. The Anti-B MyB antibody reacts with Human, Mouse, Rat and may cross-react with other species as described in the data sheet. AAA Biotech's B MyB can be used in a range of immunoassay formats including, but not limited to, ICC (Immunocytochemistry), IHC (Immunohistochemistry), WB (Western Blot). Researchers should empirically determine the suitability of the MYBL2 mybl2 for an application not listed in the data sheet. Researchers commonly develop new applications and it is an integral, important part of the investigative research process. It is sometimes possible for the material contained within the vial of "B MyB, Polyclonal Antibody" to become dispersed throughout the inside of the vial, particularly around the seal of said vial, during shipment and storage. We always suggest centrifuging these vials to consolidate all of the liquid away from the lid and to the bottom of the vial prior to opening. Please be advised that certain products may require dry ice for shipping and that, if this is the case, an additional dry ice fee may also be required.Precautions
All products in the AAA Biotech catalog are strictly for research-use only, and are absolutely not suitable for use in any sort of medical, therapeutic, prophylactic, in-vivo, or diagnostic capacity. By purchasing a product from AAA Biotech, you are explicitly certifying that said products will be properly tested and used in line with industry standard. AAA Biotech and its authorized distribution partners reserve the right to refuse to fulfill any order if we have any indication that a purchaser may be intending to use a product outside of our accepted criteria.Disclaimer
Though we do strive to guarantee the information represented in this datasheet, AAA Biotech cannot be held responsible for any oversights or imprecisions. AAA Biotech reserves the right to adjust any aspect of this datasheet at any time and without notice. It is the responsibility of the customer to inform AAA Biotech of any product performance issues observed or experienced within 30 days of receipt of said product. To see additional details on this or any of our other policies, please see our Terms & Conditions page.Item has been added to Shopping Cart
If you are ready to order, navigate to Shopping Cart and get ready to checkout.
