Rabbit B2M Polyclonal Antibody | anti-B2M antibody
B2M Antibody
Phosphate buffered saline, pH 7.4, 150mM NaCl, 0.02% sodium azide and 50% glycerol.
WB (Western Blot)
(Western blot analysis of Hela whole cell lysates, using B2M Antibody. The lane on the left is treated with the antigen-specific peptide.)
WB (Western Blot)
(Western blot analysis of extracts from 293, using B2M Antibody. Lane 1 was treated with the antigen-specific peptide.)
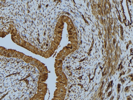
IHC (Immunohistochemistry)
(AAA326226 at 1/100 staining Human uterus tissue by IHC-P. The sample was formaldehyde fixed and a heat mediated antigen retrieval step in citrate buffer was performed. The sample was then blocked and incubated with the antibody for 1.5 hours at 22 degree C. An HRP conjugated goat anti-rabbit antibody was used as the secondary.)
Function: Component of the class I major histocompatibility complex (MHC). Involved in the presentation of peptide antigens to the immune system. Exogenously applied M.tuberculosis EsxA or EsxA-EsxB (or EsxA expressed in host) binds B2M and decreases its export to the cell surface (total protein levels do not change), probably leading to defects in class I antigen presentation (PubMed:25356553).
Subunit Structure: Heterodimer of an alpha chain and a beta chain. Beta-2-microglobulin is the beta-chain of major histocompatibility complex class I molecules. Polymers of beta 2-microglobulin can be found in tissues from patients on long-term hemodialysis. B2M alone (not in complex with HLA-I) interacts with M.tuberculosis EsxA (ESAT-6) and an EsxA-EsxB (CFP-10) complex; the tripartite complex can be detected in the host endoplasmic reticulum (PubMed:25356553). The B2M-EsxA complex can be detected in patients with pleural tuberculosis and is stable from pH 4.0 to 8.0 and in the presence of 2M NaCl (PubMed:25356553).
Post-translational Modifications: Glycation of Ile-21 is observed in long-term hemodialysis patients.
Similarity: Belongs to the beta-2-microglobulin family.
NCBI and Uniprot Product Information
Predicted: 14 kDa
Customer Reviews
Loading reviews...
Share Your Experience
Similar Products
Product Notes
The B2M b2m (Catalog #AAA326226) is an Antibody produced from Rabbit and is intended for research purposes only. The product is available for immediate purchase. The B2M Antibody reacts with Human, Mouse, Rat and may cross-react with other species as described in the data sheet. AAA Biotech's B2M can be used in a range of immunoassay formats including, but not limited to, ELISA, IHC (Immunohistochemistry), WB (Western Blot). Researchers should empirically determine the suitability of the B2M b2m for an application not listed in the data sheet. Researchers commonly develop new applications and it is an integral, important part of the investigative research process. It is sometimes possible for the material contained within the vial of "B2M, Polyclonal Antibody" to become dispersed throughout the inside of the vial, particularly around the seal of said vial, during shipment and storage. We always suggest centrifuging these vials to consolidate all of the liquid away from the lid and to the bottom of the vial prior to opening. Please be advised that certain products may require dry ice for shipping and that, if this is the case, an additional dry ice fee may also be required.Precautions
All products in the AAA Biotech catalog are strictly for research-use only, and are absolutely not suitable for use in any sort of medical, therapeutic, prophylactic, in-vivo, or diagnostic capacity. By purchasing a product from AAA Biotech, you are explicitly certifying that said products will be properly tested and used in line with industry standard. AAA Biotech and its authorized distribution partners reserve the right to refuse to fulfill any order if we have any indication that a purchaser may be intending to use a product outside of our accepted criteria.Disclaimer
Though we do strive to guarantee the information represented in this datasheet, AAA Biotech cannot be held responsible for any oversights or imprecisions. AAA Biotech reserves the right to adjust any aspect of this datasheet at any time and without notice. It is the responsibility of the customer to inform AAA Biotech of any product performance issues observed or experienced within 30 days of receipt of said product. To see additional details on this or any of our other policies, please see our Terms & Conditions page.Item has been added to Shopping Cart
If you are ready to order, navigate to Shopping Cart and get ready to checkout.
