anti-Human B3GNT8 Polyclonal Antibody | anti-B3GNT8 antibody
Anti-B3GNT8 Antibody
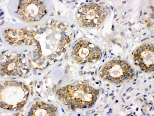
IHC (Immunohiostchemistry)
(Anti- B3GNT8 Picoband antibody, AAA46357,IHC(P)IHC(P): Human Mammary Cancer Tissue)
WB (Western Blot)
(Anti- B3GNT8 Picoband antibody, AAA46357, Western blottingAll lanes: Anti B3GNT8 (AAA46357) at 0.5ug/mlWB: HELA Whole Cell Lysate at 40ugPredicted bind size: 43KDObserved bind size: 43KD)
Background: B3GNT8 is a galactosyltransferase involved in the synthesis of poly-N-acetyllactosamine (polyLacNAc), a linear chain of repeating LacNAc units made up of galactose (Gal) and N-acetylglucosamine (GlcNAc) with the structure (Gal-beta-1-4-GlcNAc-beta-1-3)n. By genomic sequence analysis, the B3GNT8 gene is mapped to chromosome 19q13.2. It was showed that a soluble form of B3GNT8 overexpressed by transfected HEK293 cells selectively transferred GlcNAc from UDP-GlcNAc to the nonreducing terminus of Gal-beta-1-4-GlcNAc-alpha-p-nitrophenyl phosphate and to lactoside-alpha-benzoyl. It did not utilize keratan sulfates or polylactosamine oligosaccharide as substrate. B3GNT8 activity required Mn(2+) and showed less efficiency with Co(2+). The pH optimum was between 7 and 7.5. B3GNT8 also transferred GlcNAc onto alpha-1-acid glycoprotein and ovomucoid, which possess tetraantennary complex type and pentaantennary complex type N-glycans. With a tetraantennary N-glycan substrate, B3GNT8 appeared to prefer the beta-1-2 branch over the beta-1-6 branch. When overexpressed in HCT15 human colon cancer cells, B3GNT8 increased cell surface expression of both polyLacNAc and beta-1-6-branched N-glycans.
NCBI and Uniprot Product Information
Customer Reviews
Loading reviews...
Share Your Experience
Similar Products
Product Notes
The B3GNT8 b3gnt8 (Catalog #AAA46357) is an Antibody and is intended for research purposes only. The product is available for immediate purchase. The Anti-B3GNT8 Antibody reacts with Human and may cross-react with other species as described in the data sheet. AAA Biotech's B3GNT8 can be used in a range of immunoassay formats including, but not limited to, IHC (Immunohistochemistry), WB (Western Blot). Researchers should empirically determine the suitability of the B3GNT8 b3gnt8 for an application not listed in the data sheet. Researchers commonly develop new applications and it is an integral, important part of the investigative research process. It is sometimes possible for the material contained within the vial of "B3GNT8, Polyclonal Antibody" to become dispersed throughout the inside of the vial, particularly around the seal of said vial, during shipment and storage. We always suggest centrifuging these vials to consolidate all of the liquid away from the lid and to the bottom of the vial prior to opening. Please be advised that certain products may require dry ice for shipping and that, if this is the case, an additional dry ice fee may also be required.Precautions
All products in the AAA Biotech catalog are strictly for research-use only, and are absolutely not suitable for use in any sort of medical, therapeutic, prophylactic, in-vivo, or diagnostic capacity. By purchasing a product from AAA Biotech, you are explicitly certifying that said products will be properly tested and used in line with industry standard. AAA Biotech and its authorized distribution partners reserve the right to refuse to fulfill any order if we have any indication that a purchaser may be intending to use a product outside of our accepted criteria.Disclaimer
Though we do strive to guarantee the information represented in this datasheet, AAA Biotech cannot be held responsible for any oversights or imprecisions. AAA Biotech reserves the right to adjust any aspect of this datasheet at any time and without notice. It is the responsibility of the customer to inform AAA Biotech of any product performance issues observed or experienced within 30 days of receipt of said product. To see additional details on this or any of our other policies, please see our Terms & Conditions page.Item has been added to Shopping Cart
If you are ready to order, navigate to Shopping Cart and get ready to checkout.
