Rabbit BCKDHA Polyclonal Antibody | anti-BCKDHA antibody
BCKDHA antibody - N-terminal region
Predicted Species Reactivity: Human, Mouse, Rat, Cow, Dog, Guinea Pig, Horse, Rabbit, Sheep, Zebrafish
Predicted Species Reactivity: Human, Mouse, Rat, Cow, Dog, Guinea Pig, Horse, Rabbit, Sheep, Zebrafish
WB (Western Blot)
(WB Suggested Anti-BCKDHA Antibody Titration: 0.2-1 ug/mlELISA Titer: 1:312500Positive Control: MCF7 cell lysateBCKDHA is supported by BioGPS gene expression data to be expressed in MCF7)
WB (Western Blot)
(Host: RabbitTarget Name: SERPINA3Sample Type: Human Adult PlacentaAntibody Dilution: 1.0ug/ml)
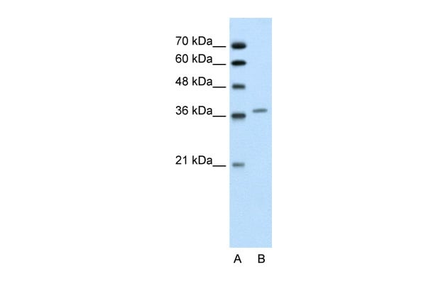
WB (Western Blot)
(Host: RabbitTarget Name: BCKDHASample Tissue: Human Jurkat Whole CellAntibody Dilution: 1ug/ml)
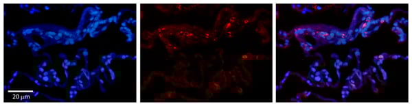
IHC (Immunohistochemistry)
(Rabbit Anti-BCKDHA AntibodyFormalin Fixed Paraffin Embedded Tissue: Human Lung TissueObserved Staining: Cytoplasmic in alveolar type I & II cellsPrimary Antibody Concentration: 1:100Secondary Antibody: Donkey anti-Rabbit-Cy3Secondary Antibody Concentration: 1:200Magnification: 20XExposure Time: 0.5 - 2.0 sec)
Target Description: The branched-chain alpha-keto dehydrogenase complex catalyzes the overall conversion of alpha-keto acids to acyl-CoA and CO2. It contains multiple copies of three enzymatic components: branched-chain alpha-keto acid decarboxylase (E1), lipoamide acyltransferase (E2) and lipoamide dehydrogenase (E3).The BCKDHA gene encodes the E1-alpha subunit of the branched-chain alpha-keto acid (BCAA) dehydrogenase complex (BCKD; EC 1.2.4.4), an inner-mitochondrial enzyme complex that catalyzes the oxidative decarboxylation of the branched-chain alpha-ketoacids derived from isoleucine, leucine, and valine. This reaction is the second major step in the catabolism of the branched-chain amino acids (Wynn et al., 1998 [PubMed 9582350]). The BCKD complex consists of 3 catalytic components: a heterotetrameric (alpha2-beta2) branched-chain alpha-keto acid decarboxylase (E1), a homo-24-meric dihydrolipoyl transacylase (E2; MIM 248610), and a homodimeric dihydrolipoamide dehydrogenase (E3; MIM 238331). E1 is a thiamine pyrophosphate (TPP)-dependent enzyme. The reaction is irreversible and constitutes the first committed step in BCAA oxidation. The BCKDHB gene (MIM 248611) encodes the beta subunit of E1. The complex also contains 2 regulatory enzymes, a kinase and a phosphorylase.[supplied by OMIM]. Publication Note: This RefSeq record includes a subset of the publications that are available for this gene. Please see the Entrez Gene record to access additional publications. PRIMARYREFSEQ_SPAN PRIMARY_IDENTIFIER PRIMARY_SPAN COMP 1-675 BI910860.1 12-686 676-1196 BG742673.1 80-600 1197-1731 BM702667.1 48-582 1732-1763 BE223026.1 1-32 c 1764-1781 BQ018849.1 1-18 c
NCBI and Uniprot Product Information
Customer Reviews
Loading reviews...
Share Your Experience
Similar Products
Product Notes
The BCKDHA bckdha (Catalog #AAA200547) is an Antibody produced from Rabbit and is intended for research purposes only. The product is available for immediate purchase. The BCKDHA antibody - N-terminal region reacts with Tested Species Reactivity: Human Predicted Species Reactivity: Human, Mouse, Rat, Cow, Dog, Guinea Pig, Horse, Rabbit, Sheep, Zebrafish and may cross-react with other species as described in the data sheet. AAA Biotech's BCKDHA can be used in a range of immunoassay formats including, but not limited to, WB (Western Blot), IHC (Immunohistochemistry). Researchers should empirically determine the suitability of the BCKDHA bckdha for an application not listed in the data sheet. Researchers commonly develop new applications and it is an integral, important part of the investigative research process. The amino acid sequence is listed below: Synthetic peptide located within the following region: NVISGIPIYR VMDRQGQIIN PSEDPHLPKE KVLKLYKSMT LLNTMDRILY. It is sometimes possible for the material contained within the vial of "BCKDHA, Polyclonal Antibody" to become dispersed throughout the inside of the vial, particularly around the seal of said vial, during shipment and storage. We always suggest centrifuging these vials to consolidate all of the liquid away from the lid and to the bottom of the vial prior to opening. Please be advised that certain products may require dry ice for shipping and that, if this is the case, an additional dry ice fee may also be required.Precautions
All products in the AAA Biotech catalog are strictly for research-use only, and are absolutely not suitable for use in any sort of medical, therapeutic, prophylactic, in-vivo, or diagnostic capacity. By purchasing a product from AAA Biotech, you are explicitly certifying that said products will be properly tested and used in line with industry standard. AAA Biotech and its authorized distribution partners reserve the right to refuse to fulfill any order if we have any indication that a purchaser may be intending to use a product outside of our accepted criteria.Disclaimer
Though we do strive to guarantee the information represented in this datasheet, AAA Biotech cannot be held responsible for any oversights or imprecisions. AAA Biotech reserves the right to adjust any aspect of this datasheet at any time and without notice. It is the responsibility of the customer to inform AAA Biotech of any product performance issues observed or experienced within 30 days of receipt of said product. To see additional details on this or any of our other policies, please see our Terms & Conditions page.Item has been added to Shopping Cart
If you are ready to order, navigate to Shopping Cart and get ready to checkout.
