Rabbit Beclin-1 Polyclonal Antibody | anti-BECN1 antibody
Beclin-1 Antibody
Gene Names
BECN1; ATG6; VPS30; beclin1
Reactivity
Human, Mouse, Rat
Applications
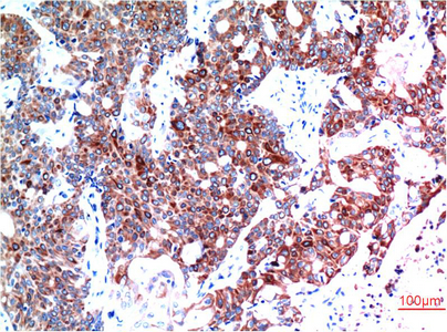
Immunohistochemistry, Western Blot, ELISA
Purity
Affinity chromatography purified via peptide column
Synonyms
Beclin-1, Antibody; Beclin-1 Antibody; Beclin-1, Coiled-coil myosin-like Bcl-2-interacting protein; anti-BECN1 antibody
Host
Rabbit
Reactivity
Human, Mouse, Rat
Clonality
Polyclonal
Purity/Purification
Affinity chromatography purified via peptide column
Form/Format
Supplied in PBS containing 0.02% sodium azide.
Sequence Length
450
Applicable Applications for anti-BECN1 antibody
IHC (Immunohistochemistry), WB (Western Blot), ELISA
Immunogen Type
Peptide
Immunogen Description
Raised against a 17 amino acid peptide from near the amino terminus of human Beclin-1.
Target Name
Beclin-1
Preparation and Storage
Can be stored at -20 degree C, stable for one year. As with all antibodies care should be taken to avoid repeated freeze thaw cycles. Antibodies should not be exposed to prolonged high temperatures.
Related Product Information for anti-BECN1 antibody
Autophagy, the process of bulk degradation of cellular proteins through an autophagosomic-lysosomal pathway is important for normal growth control and may be defective in tumor cells. Beclin-1, a coiled-coil Bcl-2-interacting protein homologous to the yeast autophagy gene apg6, is a mammalian autophagy gene that can inhibit tumorigenesis and is expressed at reduced levels in human breast carcinoma, suggesting that defects in autophagy proteins may contribute to the development or progression of tumors. Bcl-2 can bind to Beclin-1 and inhibit Beclin-1-dependent autophagy in yeast and mammalian cells, suggesting that Bcl-2 functions as an anti-autophagy protein as well as an anti-apoptotic protein, which helps maintain autophagy at levels that are more compatible with cell survival rather than cell death.
Product Categories/Family for anti-BECN1 antibody
NCBI and Uniprot Product Information
NCBI GI #
NCBI GeneID
Molecular Weight
51,896 Da
NCBI Official Full Name
Beclin 1, autophagy related
NCBI Official Synonym Full Names
beclin 1, autophagy related
NCBI Official Symbol
BECN1
NCBI Official Synonym Symbols
ATG6; VPS30; beclin1
NCBI Protein Information
beclin-1
UniProt Protein Name
Beclin-1
UniProt Gene Name
BECN1
UniProt Synonym Gene Names
GT197
UniProt Entry Name
BECN1_HUMAN
Customer Reviews
Loading reviews...
Share Your Experience
Similar Products
Product Notes
The BECN1 becn1 (Catalog #AAA302658) is an Antibody produced from Rabbit and is intended for research purposes only. The product is available for immediate purchase. The Beclin-1 Antibody reacts with Human, Mouse, Rat and may cross-react with other species as described in the data sheet. AAA Biotech's Beclin-1 can be used in a range of immunoassay formats including, but not limited to, IHC (Immunohistochemistry), WB (Western Blot), ELISA. Researchers should empirically determine the suitability of the BECN1 becn1 for an application not listed in the data sheet. Researchers commonly develop new applications and it is an integral, important part of the investigative research process. It is sometimes possible for the material contained within the vial of "Beclin-1, Polyclonal Antibody" to become dispersed throughout the inside of the vial, particularly around the seal of said vial, during shipment and storage. We always suggest centrifuging these vials to consolidate all of the liquid away from the lid and to the bottom of the vial prior to opening. Please be advised that certain products may require dry ice for shipping and that, if this is the case, an additional dry ice fee may also be required.Precautions
All products in the AAA Biotech catalog are strictly for research-use only, and are absolutely not suitable for use in any sort of medical, therapeutic, prophylactic, in-vivo, or diagnostic capacity. By purchasing a product from AAA Biotech, you are explicitly certifying that said products will be properly tested and used in line with industry standard. AAA Biotech and its authorized distribution partners reserve the right to refuse to fulfill any order if we have any indication that a purchaser may be intending to use a product outside of our accepted criteria.Disclaimer
Though we do strive to guarantee the information represented in this datasheet, AAA Biotech cannot be held responsible for any oversights or imprecisions. AAA Biotech reserves the right to adjust any aspect of this datasheet at any time and without notice. It is the responsibility of the customer to inform AAA Biotech of any product performance issues observed or experienced within 30 days of receipt of said product. To see additional details on this or any of our other policies, please see our Terms & Conditions page.Item has been added to Shopping Cart
If you are ready to order, navigate to Shopping Cart and get ready to checkout.
