Rabbit Beclin 1 Polyclonal Antibody | anti-BECN1 antibody
Beclin 1 Antibody
Phosphate buffered saline, pH 7.4, 150mM NaCl, 0.02% sodium azide and 50% glycerol.
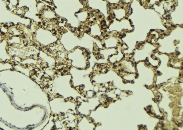
IHC (Immunohiostchemistry)
(AAA321813 at 1/100 staining Mouse lung tissue by IHC-P. The sample was formaldehyde fixed and a heat mediated antigen retrieval step in citrate buffer was performed. The sample was then blocked and incubated with the antibody for 1.5 hours at 22 degree C. An HRP conjugated goat anti-rabbit antibody was used as the secondary.)
WB (Western Blot)
(Western blot analysis of Beclin 1 expression in 293 cell lysate, The lane on the left is treated with the antigen-specific peptide.)
Subunit Structure: A homodimeric form is proposed to exist; this metastable form readily transits to ATG14-or UVRAG-containing complexes with BECN1:UVRAG being more stable than BECN1:ATG14 (By similarity). Component of the PI3K (PI3KC3/PI3K-III/class III phosphatidylinositol 3-kinase) complex the core of which is composed of the catalytic subunit PIK3C3, the regulatory subunit PIK3R4 and BECN1 associating with additional regulatory/auxilliary subunits to form alternative complex forms. Alternative complex forms containing a forth regulatory subunit in a mutually exclusive manner are PI3K complex I (PI3KC3-C1) containing ATG14, and PI3K complex II (PI3KC3-C2) containing UVRAG. PI3KC3-C1 displays a V-shaped architecture with PIK3R4 serving as a bridge between PIK3C3 and the ATG14:BECN1 subcomplex (PubMed:18843052, PubMed:19050071, PubMed:19270696, PubMed:23878393, PubMed:25490155). Both, PI3KC3-C1 and PI3KC3-C2, can associate with further regulatory subunits, such as RUBCN, SH3GLB1/Bif-1 and AMBRA1 (PubMed:20643123, PubMed:19270696). PI3KC3-C1 probably associates with PIK3CB (By similarity). Interacts with AMBRA1, GOPC, GRID2 (By similarity). Interacts with BCL2 and BCL2L1 isoform Bcl-X(L); the interaction inhibits BECN1 function in promoting autophagy by interfering with the formation of the PI3K complex (PubMed:9765397, PubMed:16179260, PubMed:17446862, PubMed:17337444, PubMed:17659302). Interacts with cytosolic HMGB1; inhibits the interaction of BECN1 and BCL2 leading to promotion of autophagy (PubMed:20819940). Interacts with USP10, USP13, VMP1, DAPK1, RAB39A (PubMed:19180116, PubMed:17724469, PubMed:17337444, PubMed:21962518, PubMed:24349490). Interacts with the poly-Gln domain of ATXN3; the interaction causes deubiquitination at Lys-402 and stabilizes BECN1 (PubMed:28445460). Interacts with SLAMF1 (PubMed:22493499). Interacts with TRIM5; the interaction causes activation of BECN1 by causing its dissociation from its inhibitors BCL2 and TAB2 (PubMed:25127057). Interacts with active ULK1 (phosphorylated on 'Ser-317') and MEFV simultaneously (PubMed:26347139). Interacts with human cytomegalovirus/HHV-5 protein TRS1 (PubMed:22205736). Interacts with murine gammaherpesvirus 68 M11 (PubMed:18797192, PubMed:24443581). Interacts with WDR81 and WDR91; negatively regulates the PI3 kinase/PI3K activity associated with endosomal membranes (PubMed:26783301). Interacts with LAPTM4B; competes with EGFR for LAPTM4B binding; regulates EGFR activity (PubMed:28479384).
Post-translational Modifications: Phosphorylation at Thr-119 by DAPK1 reduces its interaction with BCL2 and BCL2L1 and promotes induction of autophagy (PubMed:19180116). In response to autophagic stimuli, phosphorylated at serine residues by AMPK in an ATG14-dependent manner, and this phosphorylation is critical for maximally efficient autophagy (PubMed:23878393). Polyubiquitinated by NEDD4, both with 'Lys-11'-and 'Lys-63'-linkages (PubMed:21936852). 'Lys-11'-linked poyubiquitination leads to degradation and is enhanced when the stabilizing interaction partner VPS34 is depleted (PubMed:21936852). Deubiquitinated by USP10 and USP13, leading to stabilize the PIK3C3/VPS34-containing complexes (PubMed:21962518). Polyubiquitinated at Lys-402 with 'Lys-48'-linkages (PubMed:28445460). 'Lys-48'-linked poyubiquitination of Lys-402 leads to degradation (PubMed:28445460). Deubiquitinated by ATXN3, leading to stabilization (PubMed:28445460). Proteolytically processed by caspases including CASP8 and CASP3; the C-terminal fragments lack autophagy-inducing capacity and are proposed to induce apoptosis. Thus the cleavage is proposed to be an determinant to switch from autophagy to apoptosis pathways affecting cellular homeostasis including viral infections and survival of tumor cells.
Similarity: The coiled coil domain can form antiparallel homodimers and mediates dimerization with the coiled coil domains of ATG14 or UVRAG involved in the formation of PI3K complexes.The C-terminal evolutionary conserved domain (ECD) contains poly-Gln-binding domains such as the ATXN3 poly-Gln motif, consistent with structural docking models revealing two highly scored poly-Gln-binding pockets in the ECD (PubMed:28445460). As some binding is observed with BECN1 lacking the ECD, other domains of BECN1 may also interact with ATXN3 (PubMed:28445460). Belongs to the beclin family.
NCBI and Uniprot Product Information
Predicted: 52 kDa
Customer Reviews
Loading reviews...
Share Your Experience
Similar Products
Product Notes
The BECN1 becn1 (Catalog #AAA321813) is an Antibody produced from Rabbit and is intended for research purposes only. The product is available for immediate purchase. The Beclin 1 Antibody reacts with Human, Mouse, Rat and may cross-react with other species as described in the data sheet. AAA Biotech's Beclin 1 can be used in a range of immunoassay formats including, but not limited to, ELISA, IHC (Immunohistochemistry), WB (Western Blot). Researchers should empirically determine the suitability of the BECN1 becn1 for an application not listed in the data sheet. Researchers commonly develop new applications and it is an integral, important part of the investigative research process. It is sometimes possible for the material contained within the vial of "Beclin 1, Polyclonal Antibody" to become dispersed throughout the inside of the vial, particularly around the seal of said vial, during shipment and storage. We always suggest centrifuging these vials to consolidate all of the liquid away from the lid and to the bottom of the vial prior to opening. Please be advised that certain products may require dry ice for shipping and that, if this is the case, an additional dry ice fee may also be required.Precautions
All products in the AAA Biotech catalog are strictly for research-use only, and are absolutely not suitable for use in any sort of medical, therapeutic, prophylactic, in-vivo, or diagnostic capacity. By purchasing a product from AAA Biotech, you are explicitly certifying that said products will be properly tested and used in line with industry standard. AAA Biotech and its authorized distribution partners reserve the right to refuse to fulfill any order if we have any indication that a purchaser may be intending to use a product outside of our accepted criteria.Disclaimer
Though we do strive to guarantee the information represented in this datasheet, AAA Biotech cannot be held responsible for any oversights or imprecisions. AAA Biotech reserves the right to adjust any aspect of this datasheet at any time and without notice. It is the responsibility of the customer to inform AAA Biotech of any product performance issues observed or experienced within 30 days of receipt of said product. To see additional details on this or any of our other policies, please see our Terms & Conditions page.Item has been added to Shopping Cart
If you are ready to order, navigate to Shopping Cart and get ready to checkout.
