Rabbit anti-Human BFAR Polyclonal Antibody | anti-BFAR antibody
BFAR Antibody
Gene Names
BFAR; BAR; RNF47
Reactivity
Human
Applications
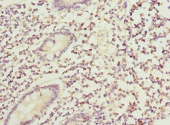
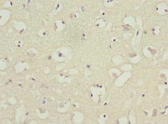
Immunohistochemistry, ELISA
Purity
Antigen Affinity Purified
Synonyms
BFAR, Antibody; BFAR Antibody; Bifunctional apoptosis regulator; RING finger protein 47; BFAR; BAR; RNF47; anti-BFAR antibody
Host
Rabbit
Reactivity
Human
Clonality
Polyclonal
Isotype
IgG
Purity/Purification
Antigen Affinity Purified
Form/Format
Liquid
Sequence Length
450
Applicable Applications for anti-BFAR antibody
IHC (Immunohistochemistry), ELISA
Species
Human
Immunogen
Recombinant human Bifunctional apoptosis regulator protein (N-140AA)
Conjugate
Non-conjugated
Buffer
PBS with 0.02% sodium azide, 50% glycerol, pH7.3.
Santa Cruz Alternative
Potential replacement for Santa Cruz Biotechnology antibody catalog# sc-11124 / sc-11126 / sc-292624
Preparation and Storage
Shipped at 4 degree C. Upon delivery aliquot and store at -20 degree C or -80 degree C. Avoid repeated freeze.
Related Product Information for anti-BFAR antibody
Apoptosis regulator. Has anti-apoptotic activity, both for apoptosis triggered via death-receptors and via mitochondrial factors.
NCBI and Uniprot Product Information
NCBI GI #
NCBI GeneID
NCBI Accession #
NCBI GenBank Nucleotide #
Molecular Weight
38,652 Da
NCBI Official Full Name
bifunctional apoptosis regulator isoform 1
NCBI Official Synonym Full Names
bifunctional apoptosis regulator
NCBI Official Symbol
BFAR
NCBI Official Synonym Symbols
BAR; RNF47
NCBI Protein Information
bifunctional apoptosis regulator
UniProt Protein Name
Bifunctional apoptosis regulator
UniProt Gene Name
BFAR
UniProt Synonym Gene Names
BAR; RNF47
UniProt Entry Name
BFAR_HUMAN
Customer Reviews
Loading reviews...
Share Your Experience
Similar Products
Product Notes
The BFAR bfar (Catalog #AAA231511) is an Antibody produced from Rabbit and is intended for research purposes only. The product is available for immediate purchase. The BFAR Antibody reacts with Human and may cross-react with other species as described in the data sheet. AAA Biotech's BFAR can be used in a range of immunoassay formats including, but not limited to, IHC (Immunohistochemistry), ELISA. Researchers should empirically determine the suitability of the BFAR bfar for an application not listed in the data sheet. Researchers commonly develop new applications and it is an integral, important part of the investigative research process. It is sometimes possible for the material contained within the vial of "BFAR, Polyclonal Antibody" to become dispersed throughout the inside of the vial, particularly around the seal of said vial, during shipment and storage. We always suggest centrifuging these vials to consolidate all of the liquid away from the lid and to the bottom of the vial prior to opening. Please be advised that certain products may require dry ice for shipping and that, if this is the case, an additional dry ice fee may also be required.Precautions
All products in the AAA Biotech catalog are strictly for research-use only, and are absolutely not suitable for use in any sort of medical, therapeutic, prophylactic, in-vivo, or diagnostic capacity. By purchasing a product from AAA Biotech, you are explicitly certifying that said products will be properly tested and used in line with industry standard. AAA Biotech and its authorized distribution partners reserve the right to refuse to fulfill any order if we have any indication that a purchaser may be intending to use a product outside of our accepted criteria.Disclaimer
Though we do strive to guarantee the information represented in this datasheet, AAA Biotech cannot be held responsible for any oversights or imprecisions. AAA Biotech reserves the right to adjust any aspect of this datasheet at any time and without notice. It is the responsibility of the customer to inform AAA Biotech of any product performance issues observed or experienced within 30 days of receipt of said product. To see additional details on this or any of our other policies, please see our Terms & Conditions page.Item has been added to Shopping Cart
If you are ready to order, navigate to Shopping Cart and get ready to checkout.
