Rabbit BGN Polyclonal Antibody | anti-BGN antibody
BGN Polyclonal Antibody
Gene Names
BGN; PGI; DSPG1; PG-S1; SLRR1A
Reactivity
Human, Mouse, Rat
Applications
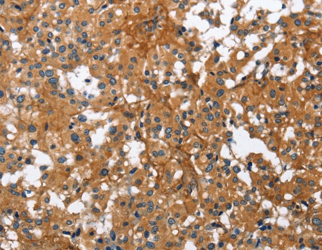
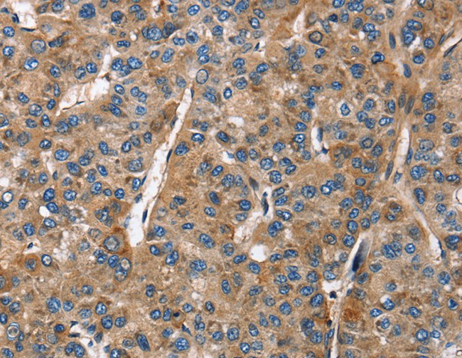
Immunohistochemistry, ELISA
Purity
Antigen affinity purification
Synonyms
BGN, Antibody; BGN Polyclonal Antibody; PGI; DSPG1; PG-S1; SLRR1A; anti-BGN antibody
Host
Rabbit
Reactivity
Human, Mouse, Rat
Clonality
Polyclonal
Isotype
IgG
Purity/Purification
Antigen affinity purification
Concentration
2.3mg/mL (varies by lot)
Sequence Length
368
Applicable Applications for anti-BGN antibody
IHC (Immunohistochemistry), ELISA
Immunogen
Recombinant protein of human BGN
Buffer
PBS with 0.05% sodium azide, 50% glycerol, pH7.3
Preparation and Storage
Store at -20 degree C (regular) and -80 degree C (long term). Avoid freeze / thaw cycles.
Related Product Information for anti-BGN antibody
The protein encoded by this gene is a small cellular or pericellular matrix proteoglycan that is closely related in structure to two other small proteoglycans, decorin and fibromodulin. The encoded protein and decorin are thought to be the result of a gene duplication. Decorin contains one attached glycosaminoglycan chain, while this protein probably contains two chains. For this reason, this protein is called biglycan. This protein plays a role in assembly of collagen fibrils and muscle regeneration. It interacts with several proteins involved in muscular dystrophy, including alpha-dystroglycan, alpha- and gamma-sarcoglycan and collagen VI, and it is critical for the assembly of the dystrophin-associated protein complex.
Product Categories/Family for anti-BGN antibody
NCBI and Uniprot Product Information
NCBI GI #
NCBI GeneID
NCBI Accession #
NCBI GenBank Nucleotide #
Molecular Weight
41,654 Da
NCBI Official Full Name
biglycan preproprotein
NCBI Official Synonym Full Names
biglycan
NCBI Official Symbol
BGN
NCBI Official Synonym Symbols
PGI; DSPG1; PG-S1; SLRR1A
NCBI Protein Information
biglycan; biglycan proteoglycan; bone/cartilage proteoglycan I; bone/cartilage proteoglycan-I; dermatan sulphate proteoglycan I; small leucine-rich protein 1A
UniProt Protein Name
Biglycan
UniProt Gene Name
BGN
UniProt Synonym Gene Names
SLRR1A
UniProt Entry Name
PGS1_HUMAN
Similar Products
Product Notes
The BGN bgn (Catalog #AAA169589) is an Antibody produced from Rabbit and is intended for research purposes only. The product is available for immediate purchase. The BGN Polyclonal Antibody reacts with Human, Mouse, Rat and may cross-react with other species as described in the data sheet. AAA Biotech's BGN can be used in a range of immunoassay formats including, but not limited to, IHC (Immunohistochemistry), ELISA. Researchers should empirically determine the suitability of the BGN bgn for an application not listed in the data sheet. Researchers commonly develop new applications and it is an integral, important part of the investigative research process. It is sometimes possible for the material contained within the vial of "BGN, Polyclonal Antibody" to become dispersed throughout the inside of the vial, particularly around the seal of said vial, during shipment and storage. We always suggest centrifuging these vials to consolidate all of the liquid away from the lid and to the bottom of the vial prior to opening. Please be advised that certain products may require dry ice for shipping and that, if this is the case, an additional dry ice fee may also be required.Precautions
All products in the AAA Biotech catalog are strictly for research-use only, and are absolutely not suitable for use in any sort of medical, therapeutic, prophylactic, in-vivo, or diagnostic capacity. By purchasing a product from AAA Biotech, you are explicitly certifying that said products will be properly tested and used in line with industry standard. AAA Biotech and its authorized distribution partners reserve the right to refuse to fulfill any order if we have any indication that a purchaser may be intending to use a product outside of our accepted criteria.Disclaimer
Though we do strive to guarantee the information represented in this datasheet, AAA Biotech cannot be held responsible for any oversights or imprecisions. AAA Biotech reserves the right to adjust any aspect of this datasheet at any time and without notice. It is the responsibility of the customer to inform AAA Biotech of any product performance issues observed or experienced within 30 days of receipt of said product. To see additional details on this or any of our other policies, please see our Terms & Conditions page.Item has been added to Shopping Cart
If you are ready to order, navigate to Shopping Cart and get ready to checkout.
