Rabbit Bim Polyclonal Antibody | anti-Bim antibody
Phospho-Bim (Ser118) Antibody
Predicted: Pig, Bovine, Horse, Sheep, Rabbit, Dog, Xenopus
Predicted: Pig, Bovine, Horse, Sheep, Rabbit, Dog, Xenopus
WB (Western Blot)
(Western blot analysis of Phospho-Bim (Ser118) in lysates of K562?, using Phospho-Bim (Ser118) Antibody.)
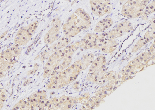
IHC (Immunohistochemisry)
(At 1/100 staining mouse liver tissue sections by IHC-P. The tissue was formaldehyde fixed and a heat mediated antigen retrieval step in citrate buffer was performed. The tissue was then blocked and incubated with the antibody for 1.5 hours at 22 degree C. An HRP conjugated goat anti-rabbit antibody was used as the secondary)
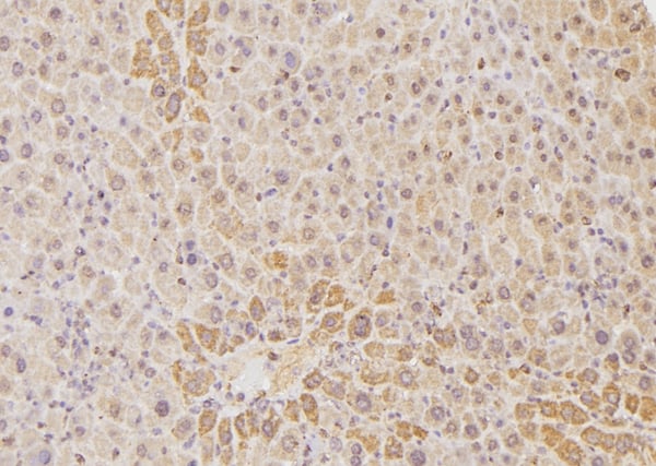
IHC (Immunohiostchemistry)
(At 1/100 staining rat liver tissue sections by IHC-P. The tissue was formaldehyde fixed and a heat mediated antigen retrieval step in citrate buffer was performed. The tissue was then blocked and incubated with the antibody for 1.5 hours at 22 degree C. An HRP conjugated goat anti-rabbit antibody was used as the secondary)
IHC (Immunohistochemistry)
(At 1/100 staining human kidney tissue sections by IHC-P. The tissue was formaldehyde fixed and a heat mediated antigen retrieval step in citrate buffer was performed. The tissue was then blocked and incubated with the antibody for 1.5 hours at 22 degree C. An HRP conjugated goat anti-rabbit antibody was used as the secondary)
Post Translational Modifications: Phosphorylation at Ser-69 by MAPK1/MAPK3 leads to interaction with TRIM2 and polyubiquitination, followed by proteasomal degradation (PubMed:15486195, PubMed:21478148). Deubiquitination catalyzed by USP27X stabilizes the protein (By similarity). Ubiquitination by TRIM2 following phosphorylation by MAPK1/MAPK3 leads to proteasomal degradation. Conversely, deubiquitination catalyzed by USP27X stabilizes the protein.
Subunit Structure: Forms heterodimers with a number of antiapoptotic Bcl-2 proteins, including MCL1, BCL2, BCL2L1 isoform Bcl-X(L), BCL2A1/BFL-1, BHRF1, and BCL2L2/BCLW (PubMed:11997495, PubMed:27013495, PubMed:18812174). Isoform BimS and isoform Bim-alpha3 interact with BAX; this interaction may lead to BAX activation through conformational change (PubMed:11997495). Does not heterodimerize with proapoptotic proteins such as BAD, BOK or BAK. Identified in a complex containing BCL2L11, DYNLL1 and BCL2L1 isoform Bcl-X(L); BH3 integrity is required for BCL2L1-binding. Interacts with YWHAZ. When phosphorylated, interacts with TRIM2; this interaction is associated with ubiquitination and degradation (PubMed:21478148). Interacts with MCL1; may sequester BCL2L11 to prevent its pro-apoptotic activity (PubMed:27013495, PubMed:17389404). When phosphorylated, isoform BimEL interacts with USP27X; this interaction leads to BCL2L11 deubiquitination and stabilization (PubMed:27013495).
Similarity: The BH3 motif is required for interaction with Bcl-2 proteins and cytotoxicity. Belongs to the Bcl-2 family.
NCBI and Uniprot Product Information
Predicted: 23 kDa
Customer Reviews
Loading reviews...
Share Your Experience
Similar Products
Product Notes
The Bim bcl2l11 (Catalog #AAA328299) is an Antibody produced from Rabbit and is intended for research purposes only. The product is available for immediate purchase. The Phospho-Bim (Ser118) Antibody reacts with Human, Mouse, Rat Predicted: Pig, Bovine, Horse, Sheep, Rabbit, Dog, Xenopus and may cross-react with other species as described in the data sheet. AAA Biotech's Bim can be used in a range of immunoassay formats including, but not limited to, ELISA (Peptide ELISA), IHC (Immunohistochemistry), WB (Western Blot). Researchers should empirically determine the suitability of the Bim bcl2l11 for an application not listed in the data sheet. Researchers commonly develop new applications and it is an integral, important part of the investigative research process. It is sometimes possible for the material contained within the vial of "Bim, Polyclonal Antibody" to become dispersed throughout the inside of the vial, particularly around the seal of said vial, during shipment and storage. We always suggest centrifuging these vials to consolidate all of the liquid away from the lid and to the bottom of the vial prior to opening. Please be advised that certain products may require dry ice for shipping and that, if this is the case, an additional dry ice fee may also be required.Precautions
All products in the AAA Biotech catalog are strictly for research-use only, and are absolutely not suitable for use in any sort of medical, therapeutic, prophylactic, in-vivo, or diagnostic capacity. By purchasing a product from AAA Biotech, you are explicitly certifying that said products will be properly tested and used in line with industry standard. AAA Biotech and its authorized distribution partners reserve the right to refuse to fulfill any order if we have any indication that a purchaser may be intending to use a product outside of our accepted criteria.Disclaimer
Though we do strive to guarantee the information represented in this datasheet, AAA Biotech cannot be held responsible for any oversights or imprecisions. AAA Biotech reserves the right to adjust any aspect of this datasheet at any time and without notice. It is the responsibility of the customer to inform AAA Biotech of any product performance issues observed or experienced within 30 days of receipt of said product. To see additional details on this or any of our other policies, please see our Terms & Conditions page.Item has been added to Shopping Cart
If you are ready to order, navigate to Shopping Cart and get ready to checkout.
