Rabbit BIRC6 Polyclonal Antibody | anti-BIRC6 antibody
BIRC6 Antibody
Predicted Reactivity: Pig(100%), Zebrafish(100%), Bovine(100%), Sheep(100%), Rabbit(100%), Chicken(100%), Xenopus(100%)
Predicted Reactivity: Pig(100%), Zebrafish(100%), Bovine(100%), Sheep(100%), Rabbit(100%), Chicken(100%), Xenopus(100%)
IHC (Immunohistochemistry)
(AAA329042 at 1/100 staining Human ovarian cancer by IHC-P. The sample was formaldehyde fixed and a heat mediated antigen retrieval step in citrate buffer was performed. The sample was then blocked and incubated with the primary antibody at 4°C overnight. An HRP conjugated anti-Rabbit antibody was used as the secondary antibody.)
IHC (Immunohistochemistry)
(AAA329042 at 1/100 staining Mouse testis tissue by IHC-P. The sample was formaldehyde fixed and a heat mediated antigen retrieval step in citrate buffer was performed. The sample was then blocked and incubated with the primary antibody at 4°C overnight. An HRP conjugated anti-Rabbit antibody was used as the secondary antibody.)
IHC (Immunohistochemisry)
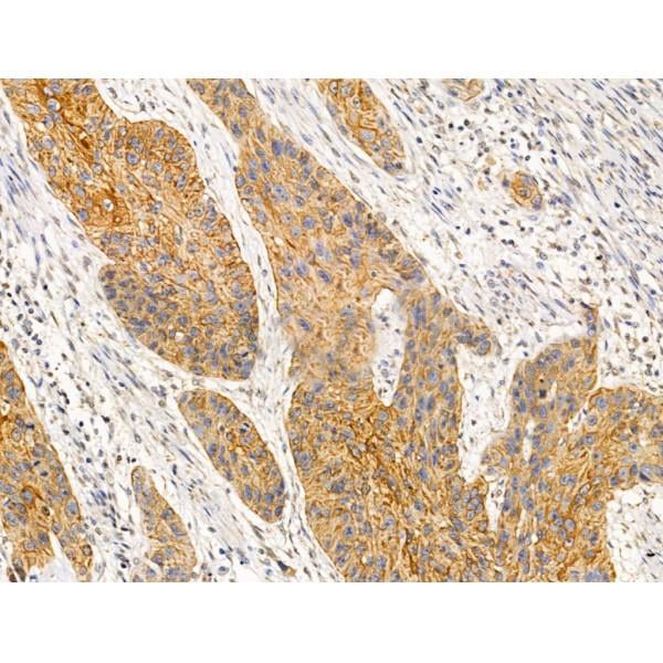
(AAA329042 at 1/100 staining Human esophageal cancer by IHC-P. The sample was formaldehyde fixed and a heat mediated antigen retrieval step in citrate buffer was performed. The sample was then blocked and incubated with the primary antibody at 4°C overnight. An HRP conjugated anti-Rabbit antibody was used as the secondary antibody.)
IHC (Immunohiostchemistry)
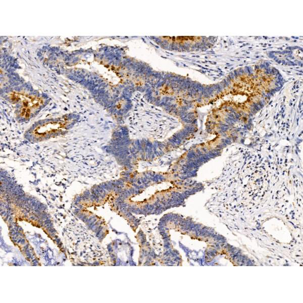
(AAA329042 at 1/100 staining Human colorectal cancer by IHC-P. The sample was formaldehyde fixed and a heat mediated antigen retrieval step in citrate buffer was performed. The sample was then blocked and incubated with the primary antibody at 4°C overnight. An HRP conjugated anti-Rabbit antibody was used as the secondary antibody.)
WB (Western Blot)
(Western blot analysis of extracts from Hela cells , using BIRC6 Antibody. The lane on the left was treated with blocking peptide.)
Post Translational Modifications: Ubiquitinated. Ubiquitination is mediated by the RNF41 E3 ligase and leads to proteasomal degradation, impairing inhibition of apoptosis. Deubiquitinated by USP8/UBPY.
Subcellular Location: Golgi apparatus>trans-Golgi network membrane. Endosome. Cytoplasm>Cytoskeleton>Spindle pole. Cytoplasm>Cytoskeleton>Microtubule organizing center>Centrosome. Midbody>Midbody ring. Note: Exhibits cell cycle-dependent localization. Concentrates in a pericentriolar compartment in interphase, moves partially to spindle poles in metaphase, and finally localizes to the spindle midzone and the midbody in telophase and during cytokinesis. On the midbody, localizes to the midbody ring, also called Flemming body (PubMed:18329369). In interphase cells, localizes to the trans-Golgi network membrane and endosomes. During cytokinesis, a fraction moves to the midzone where it specifically arrives at the midbody ring. After abscission completion, travels with the midbody remnant into one daughter cell, and remains bound to it until a new midbody ring is formed during the next cell division (PubMed:18329369).
Tissue Specificity: Expressed in brain cancer cells.
Subunit Structure: Homodimer. Binds the activated, processed forms of CASP3, CASP6, CASP7 and CASP9. Interacts with RNF41, DIABLO/SMAC, HTRA2, KIF23/MKLP1, USP8/UBPY, BIRC5/survivin, MAP2K1/MEK1, RAB8A/RAB8, RAB11A/RAB11, PLK1, EXOC3/SEC6 and EXOC4/SEC8.
Similarity: The BIR domain is essential for its antiapoptotic function and is important for binding to DIABLO/SMAC and CASP9.In the C-terminal section; belongs to the ubiquitin-conjugating enzyme family.
NCBI and Uniprot Product Information
Predicted Molecular Weight: (Calculated)530kDa.
Customer Reviews
Loading reviews...
Share Your Experience
Similar Products
Product Notes
The BIRC6 birc6 (Catalog #AAA329042) is an Antibody produced from Rabbit and is intended for research purposes only. The product is available for immediate purchase. The BIRC6 Antibody reacts with Human, Mouse Predicted Reactivity: Pig(100%), Zebrafish(100%), Bovine(100%), Sheep(100%), Rabbit(100%), Chicken(100%), Xenopus(100%) and may cross-react with other species as described in the data sheet. AAA Biotech's BIRC6 can be used in a range of immunoassay formats including, but not limited to, ELISA. Researchers should empirically determine the suitability of the BIRC6 birc6 for an application not listed in the data sheet. Researchers commonly develop new applications and it is an integral, important part of the investigative research process. It is sometimes possible for the material contained within the vial of "BIRC6, Polyclonal Antibody" to become dispersed throughout the inside of the vial, particularly around the seal of said vial, during shipment and storage. We always suggest centrifuging these vials to consolidate all of the liquid away from the lid and to the bottom of the vial prior to opening. Please be advised that certain products may require dry ice for shipping and that, if this is the case, an additional dry ice fee may also be required.Precautions
All products in the AAA Biotech catalog are strictly for research-use only, and are absolutely not suitable for use in any sort of medical, therapeutic, prophylactic, in-vivo, or diagnostic capacity. By purchasing a product from AAA Biotech, you are explicitly certifying that said products will be properly tested and used in line with industry standard. AAA Biotech and its authorized distribution partners reserve the right to refuse to fulfill any order if we have any indication that a purchaser may be intending to use a product outside of our accepted criteria.Disclaimer
Though we do strive to guarantee the information represented in this datasheet, AAA Biotech cannot be held responsible for any oversights or imprecisions. AAA Biotech reserves the right to adjust any aspect of this datasheet at any time and without notice. It is the responsibility of the customer to inform AAA Biotech of any product performance issues observed or experienced within 30 days of receipt of said product. To see additional details on this or any of our other policies, please see our Terms & Conditions page.Item has been added to Shopping Cart
If you are ready to order, navigate to Shopping Cart and get ready to checkout.
