Rabbit BLMH Polyclonal Antibody | anti-BLMH antibody
BLMH Antibody
Gene Names
BLMH; BH; BMH
Reactivity
Human, Mouse, Rat, MonkeyPredicted: Zebrafish, Bovine, Horse, Sheep, Dog, Chicken, Xenopus
Applications
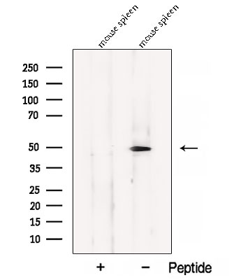
Western Blot
Purity
The antiserum was purified by peptide affinity chromatography using SulfoLink Coupling Resin (Thermo Fisher Scientific).
Synonyms
BLMH, Antibody; BLMH Antibody; BH; Bleomycin hydrolase; BLM hydrolase; BLMH; BLMH_HUMAN; BMH; EC 3.4.22.40; anti-BLMH antibody
Host
Rabbit
Reactivity
Human, Mouse, Rat, Monkey
Predicted: Zebrafish, Bovine, Horse, Sheep, Dog, Chicken, Xenopus
Predicted: Zebrafish, Bovine, Horse, Sheep, Dog, Chicken, Xenopus
Clonality
Polyclonal
Isotype
IgG
Specificity
BLMH Antibody detects endogenous levels of BLMH.
Purity/Purification
The antiserum was purified by peptide affinity chromatography using SulfoLink Coupling Resin (Thermo Fisher Scientific).
Form/Format
Liquid; Phosphate buffered saline, pH 7.4, 150mM NaCl, 0.02% sodium azide and 50% glycerol.
Concentration
1mg/ml (varies by lot)
Sequence Length
455
Applicable Applications for anti-BLMH antibody
WB (Western Blot)
Immunogen
A synthesized peptide derived from human BLMH.
Fragment
Fab Fragment
Conjugate
Unconjugated
Preparation and Storage
Store at -20 degree C. Stable for 12 months from date of receipt.
Related Product Information for anti-BLMH antibody
Description: The normal physiological role of BLM hydrolase is unknown, but it catalyzes the inactivation of the antitumor drug BLM (a glycopeptide) by hydrolyzing the carboxamide bond of its B-aminoalaninamide moiety thus protecting normal and malignant cells from BLM toxicity.
Subunit Structure: Homohexamer.
Similarity: Belongs to the peptidase C1 family.
Subunit Structure: Homohexamer.
Similarity: Belongs to the peptidase C1 family.
NCBI and Uniprot Product Information
NCBI GI #
NCBI GeneID
NCBI Accession #
NCBI GenBank Nucleotide #
UniProt Accession #
Molecular Weight
Observed: 50 kDa
Predicted: 53 kDa
Predicted: 53 kDa
NCBI Official Full Name
bleomycin hydrolase
NCBI Official Synonym Full Names
bleomycin hydrolase
NCBI Official Symbol
BLMH
NCBI Official Synonym Symbols
BH; BMH
NCBI Protein Information
bleomycin hydrolase
UniProt Protein Name
Bleomycin hydrolase
UniProt Gene Name
BLMH
UniProt Synonym Gene Names
BH; BLM hydrolase; BMH
UniProt Entry Name
BLMH_HUMAN
Customer Reviews
Loading reviews...
Share Your Experience
Similar Products
Product Notes
The BLMH blmh (Catalog #AAA328789) is an Antibody produced from Rabbit and is intended for research purposes only. The product is available for immediate purchase. The BLMH Antibody reacts with Human, Mouse, Rat, Monkey Predicted: Zebrafish, Bovine, Horse, Sheep, Dog, Chicken, Xenopus and may cross-react with other species as described in the data sheet. AAA Biotech's BLMH can be used in a range of immunoassay formats including, but not limited to, WB (Western Blot). Researchers should empirically determine the suitability of the BLMH blmh for an application not listed in the data sheet. Researchers commonly develop new applications and it is an integral, important part of the investigative research process. It is sometimes possible for the material contained within the vial of "BLMH, Polyclonal Antibody" to become dispersed throughout the inside of the vial, particularly around the seal of said vial, during shipment and storage. We always suggest centrifuging these vials to consolidate all of the liquid away from the lid and to the bottom of the vial prior to opening. Please be advised that certain products may require dry ice for shipping and that, if this is the case, an additional dry ice fee may also be required.Precautions
All products in the AAA Biotech catalog are strictly for research-use only, and are absolutely not suitable for use in any sort of medical, therapeutic, prophylactic, in-vivo, or diagnostic capacity. By purchasing a product from AAA Biotech, you are explicitly certifying that said products will be properly tested and used in line with industry standard. AAA Biotech and its authorized distribution partners reserve the right to refuse to fulfill any order if we have any indication that a purchaser may be intending to use a product outside of our accepted criteria.Disclaimer
Though we do strive to guarantee the information represented in this datasheet, AAA Biotech cannot be held responsible for any oversights or imprecisions. AAA Biotech reserves the right to adjust any aspect of this datasheet at any time and without notice. It is the responsibility of the customer to inform AAA Biotech of any product performance issues observed or experienced within 30 days of receipt of said product. To see additional details on this or any of our other policies, please see our Terms & Conditions page.Item has been added to Shopping Cart
If you are ready to order, navigate to Shopping Cart and get ready to checkout.
