Rabbit BMPER Polyclonal Antibody | anti-BMPER antibody
BMPER antibody - C-terminal region
Gene Names
BMPER; CV2; CV-2; CRIM3
Reactivity
Cow, Dog, Guinea Pig, Horse, Human, Mouse, Pig, Rabbit, Rat, Yeast, Zebrafish
Applications
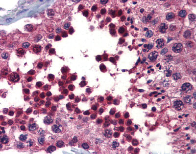
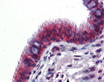
Western Blot, Immunohistochemistry
Purity
Affinity Purified
Synonyms
BMPER, Antibody; BMPER antibody - C-terminal region; anti-BMPER antibody
Host
Rabbit
Reactivity
Cow, Dog, Guinea Pig, Horse, Human, Mouse, Pig, Rabbit, Rat, Yeast, Zebrafish
Clonality
Polyclonal
Purity/Purification
Affinity Purified
Form/Format
Liquid. Purified antibody supplied in 1x PBS buffer with 0.09% (w/v) sodium azide and 2% sucrose.
Sequence
Synthetic peptide located within the following region: NGHKRDDLIGGDGNFKFDVDDFAESWRVESNEFCNRPQRKPVPELCQGTV
Sequence Length
685
Applicable Applications for anti-BMPER antibody
WB (Western Blot), IHC (Immunohistochemistry)
Homology
Cow: 93%; Dog: 100%; Guinea Pig: 93%; Horse: 100%; Human: 100%; Mouse: 100%; Pig: 100%; Rabbit: 100%; Rat: 100%; Yeast: 85%; Zebrafish: 79%
Immunogen
The immunogen is a synthetic peptide directed towards the C terminal region of human BMPER
Preparation and Storage
For short term use, store at 2-8 degree C up to 1 week. For long term storage, store at -20 degree C in small aliquots to prevent freeze-thaw cycles.
Related Product Information for anti-BMPER antibody
This is a rabbit polyclonal antibody against BMPER. It was validated on Western Blot using a cell lysate as a positive control.
Target Description: BMPER contains 1 TIL (trypsin inhibitory-like) domain, 5 VWFC domains and 1 VWFD domain.BMPER is the inhibitor of bone morphogenetic protein (BMP) functions. It may regulate BMP responsiveness of osteoblasts and chondrocytes.
Target Description: BMPER contains 1 TIL (trypsin inhibitory-like) domain, 5 VWFC domains and 1 VWFD domain.BMPER is the inhibitor of bone morphogenetic protein (BMP) functions. It may regulate BMP responsiveness of osteoblasts and chondrocytes.
Product Categories/Family for anti-BMPER antibody
NCBI and Uniprot Product Information
NCBI GI #
NCBI GeneID
NCBI Accession #
NCBI GenBank Nucleotide #
UniProt Accession #
Molecular Weight
76kDa
NCBI Official Full Name
BMP-binding endothelial regulator protein
NCBI Official Synonym Full Names
BMP binding endothelial regulator
NCBI Official Symbol
BMPER
NCBI Official Synonym Symbols
CV2; CV-2; CRIM3
NCBI Protein Information
BMP-binding endothelial regulator protein
UniProt Protein Name
BMP-binding endothelial regulator protein
UniProt Gene Name
BMPER
UniProt Synonym Gene Names
KIAA1965; hCV2
Customer Reviews
Loading reviews...
Share Your Experience
Similar Products
Product Notes
The BMPER bmper (Catalog #AAA200256) is an Antibody produced from Rabbit and is intended for research purposes only. The product is available for immediate purchase. The BMPER antibody - C-terminal region reacts with Cow, Dog, Guinea Pig, Horse, Human, Mouse, Pig, Rabbit, Rat, Yeast, Zebrafish and may cross-react with other species as described in the data sheet. AAA Biotech's BMPER can be used in a range of immunoassay formats including, but not limited to, WB (Western Blot), IHC (Immunohistochemistry). Researchers should empirically determine the suitability of the BMPER bmper for an application not listed in the data sheet. Researchers commonly develop new applications and it is an integral, important part of the investigative research process. The amino acid sequence is listed below: Synthetic peptide located within the following region: NGHKRDDLIG GDGNFKFDVD DFAESWRVES NEFCNRPQRK PVPELCQGTV. It is sometimes possible for the material contained within the vial of "BMPER, Polyclonal Antibody" to become dispersed throughout the inside of the vial, particularly around the seal of said vial, during shipment and storage. We always suggest centrifuging these vials to consolidate all of the liquid away from the lid and to the bottom of the vial prior to opening. Please be advised that certain products may require dry ice for shipping and that, if this is the case, an additional dry ice fee may also be required.Precautions
All products in the AAA Biotech catalog are strictly for research-use only, and are absolutely not suitable for use in any sort of medical, therapeutic, prophylactic, in-vivo, or diagnostic capacity. By purchasing a product from AAA Biotech, you are explicitly certifying that said products will be properly tested and used in line with industry standard. AAA Biotech and its authorized distribution partners reserve the right to refuse to fulfill any order if we have any indication that a purchaser may be intending to use a product outside of our accepted criteria.Disclaimer
Though we do strive to guarantee the information represented in this datasheet, AAA Biotech cannot be held responsible for any oversights or imprecisions. AAA Biotech reserves the right to adjust any aspect of this datasheet at any time and without notice. It is the responsibility of the customer to inform AAA Biotech of any product performance issues observed or experienced within 30 days of receipt of said product. To see additional details on this or any of our other policies, please see our Terms & Conditions page.Item has been added to Shopping Cart
If you are ready to order, navigate to Shopping Cart and get ready to checkout.
