Rabbit anti-Human, Mouse BMPR-IB Polyclonal Antibody | anti-BMPR-IB antibody
BMPR-IB Polyclonal Antibody
Gene Names
BMPR1B; ALK6; ALK-6; CDw293
Reactivity
Human, Mouse
Applications
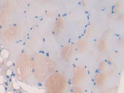
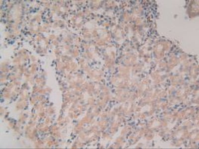
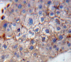
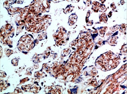
Immunohistochemistry
Synonyms
BMPR-IB, Antibody; BMPR-IB Polyclonal Antibody; Bone morphogenetic protein receptor type-1B (BMP type-1B receptor)(BMPR-1B)(EC 2.7.11.30)(CD antigen CDw293); anti-BMPR-IB antibody
Host
Rabbit
Reactivity
Human, Mouse
Clonality
Polyclonal
Applicable Applications for anti-BMPR-IB antibody
IHC (Immunohistochemistry)
Preparation and Storage
Maintain refrigerated at 2-8 degree C for up to 2 weeks. For long term storage store at -20 degree C in small aliquots to prevent freeze-thaw cycles.
Related Product Information for anti-BMPR-IB antibody
On ligand binding, forms a receptor complex consisting of two type II and two type I transmembrane serine/threonine kinases. Type II receptors phosphorylate and activate type I receptors which autophosphorylate, then bind and activate SMAD transcriptional regulators. Receptor for BMP7/OP-1 and GDF5. Positively regulates chondrocyte differentiation through GDF5 interaction.
NCBI and Uniprot Product Information
NCBI GI #
NCBI GeneID
NCBI Accession #
NCBI GenBank Nucleotide #
Molecular Weight
56,930 Da
NCBI Official Full Name
bone morphogenetic protein receptor type-1B isoform b
NCBI Official Synonym Full Names
bone morphogenetic protein receptor, type IB
NCBI Official Symbol
BMPR1B
NCBI Official Synonym Symbols
ALK6; ALK-6; CDw293
NCBI Protein Information
bone morphogenetic protein receptor type-1B; BMPR-1B; BMP type-1B receptor; activin receptor-like kinase 6; serine/threonine receptor kinase
UniProt Protein Name
Bone morphogenetic protein receptor type-1B
UniProt Gene Name
BMPR1B
UniProt Synonym Gene Names
BMP type-1B receptor; BMPR-1B
UniProt Entry Name
BMR1B_HUMAN
Customer Reviews
Loading reviews...
Share Your Experience
Similar Products
Product Notes
The BMPR-IB bmpr1b (Catalog #AAA296634) is an Antibody produced from Rabbit and is intended for research purposes only. The product is available for immediate purchase. The BMPR-IB Polyclonal Antibody reacts with Human, Mouse and may cross-react with other species as described in the data sheet. AAA Biotech's BMPR-IB can be used in a range of immunoassay formats including, but not limited to, IHC (Immunohistochemistry). Researchers should empirically determine the suitability of the BMPR-IB bmpr1b for an application not listed in the data sheet. Researchers commonly develop new applications and it is an integral, important part of the investigative research process. It is sometimes possible for the material contained within the vial of "BMPR-IB, Polyclonal Antibody" to become dispersed throughout the inside of the vial, particularly around the seal of said vial, during shipment and storage. We always suggest centrifuging these vials to consolidate all of the liquid away from the lid and to the bottom of the vial prior to opening. Please be advised that certain products may require dry ice for shipping and that, if this is the case, an additional dry ice fee may also be required.Precautions
All products in the AAA Biotech catalog are strictly for research-use only, and are absolutely not suitable for use in any sort of medical, therapeutic, prophylactic, in-vivo, or diagnostic capacity. By purchasing a product from AAA Biotech, you are explicitly certifying that said products will be properly tested and used in line with industry standard. AAA Biotech and its authorized distribution partners reserve the right to refuse to fulfill any order if we have any indication that a purchaser may be intending to use a product outside of our accepted criteria.Disclaimer
Though we do strive to guarantee the information represented in this datasheet, AAA Biotech cannot be held responsible for any oversights or imprecisions. AAA Biotech reserves the right to adjust any aspect of this datasheet at any time and without notice. It is the responsibility of the customer to inform AAA Biotech of any product performance issues observed or experienced within 30 days of receipt of said product. To see additional details on this or any of our other policies, please see our Terms & Conditions page.Item has been added to Shopping Cart
If you are ready to order, navigate to Shopping Cart and get ready to checkout.
