Host
Rabbit
Reactivity
Human
Clonality
Polyclonal
Specificity
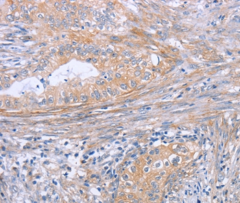
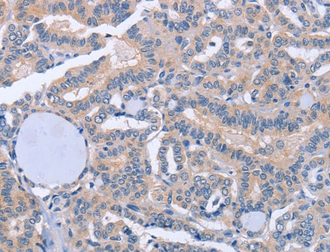
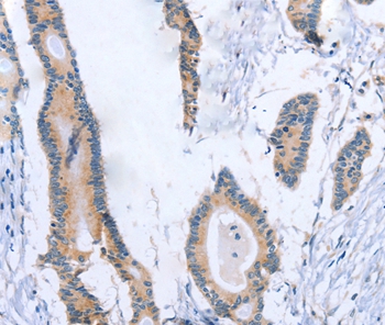
The antibody detects endogenous levels of total BOD1 protein.
Purity/Purification
Antigen affinity purification.
Form/Format
Rabbit IgG in pH7.3 PBS, 0.05% NaN3, 50% Glycerol.
Concentration
1.6 mg/ml (varies by lot)
Sequence Length
129
Applicable Applications for anti-BOD1 antibody
IHC (Immunohistochemistry)
Immunogen Type
Peptide
Immunogen Description
Synthetic peptide corresponding to residues near the C terminal of human biorientation of chromosomes in cell division 1
Target Name
BOD1
Preparation and Storage
Store at -20 degree C
Related Product Information for anti-BOD1 antibody
Bod1, a protein conserved throughout metazoans that associates with a large macromolecular complex and localizes with kinetochores and spindle poles during mitosis. Bod1-depleted cells form syntelic attachments that can oscillate and generate enough force to separate sister kinetochores, suggesting that microtubule-kinetochore interactions were intact. Releasing Bod1-depleted cells from a monastrol block increases the frequency of syntelic attachments and the number of cells displaying biorientation defects.
Product Categories/Family for anti-BOD1 antibody
NCBI and Uniprot Product Information
NCBI GI #
NCBI GeneID
NCBI Accession #
NCBI GenBank Nucleotide #
Molecular Weight
13,280 Da
NCBI Official Full Name
biorientation of chromosomes in cell division protein 1 isoform b
NCBI Official Synonym Full Names
biorientation of chromosomes in cell division 1
NCBI Official Symbol
BOD1
NCBI Official Synonym Symbols
FAM44B
NCBI Protein Information
biorientation of chromosomes in cell division protein 1
UniProt Protein Name
Biorientation of chromosomes in cell division protein 1
UniProt Gene Name
BOD1
UniProt Synonym Gene Names
FAM44B
UniProt Entry Name
BOD1_HUMAN
Customer Reviews
Loading reviews...
Share Your Experience
Similar Products
Product Notes
The BOD1 bod1 (Catalog #AAA307039) is an Antibody produced from Rabbit and is intended for research purposes only. The product is available for immediate purchase. The BOD1 Antibody reacts with Human and may cross-react with other species as described in the data sheet. AAA Biotech's BOD1 can be used in a range of immunoassay formats including, but not limited to, IHC (Immunohistochemistry). Researchers should empirically determine the suitability of the BOD1 bod1 for an application not listed in the data sheet. Researchers commonly develop new applications and it is an integral, important part of the investigative research process. It is sometimes possible for the material contained within the vial of "BOD1, Polyclonal Antibody" to become dispersed throughout the inside of the vial, particularly around the seal of said vial, during shipment and storage. We always suggest centrifuging these vials to consolidate all of the liquid away from the lid and to the bottom of the vial prior to opening. Please be advised that certain products may require dry ice for shipping and that, if this is the case, an additional dry ice fee may also be required.Precautions
All products in the AAA Biotech catalog are strictly for research-use only, and are absolutely not suitable for use in any sort of medical, therapeutic, prophylactic, in-vivo, or diagnostic capacity. By purchasing a product from AAA Biotech, you are explicitly certifying that said products will be properly tested and used in line with industry standard. AAA Biotech and its authorized distribution partners reserve the right to refuse to fulfill any order if we have any indication that a purchaser may be intending to use a product outside of our accepted criteria.Disclaimer
Though we do strive to guarantee the information represented in this datasheet, AAA Biotech cannot be held responsible for any oversights or imprecisions. AAA Biotech reserves the right to adjust any aspect of this datasheet at any time and without notice. It is the responsibility of the customer to inform AAA Biotech of any product performance issues observed or experienced within 30 days of receipt of said product. To see additional details on this or any of our other policies, please see our Terms & Conditions page.Item has been added to Shopping Cart
If you are ready to order, navigate to Shopping Cart and get ready to checkout.
